The _____ sign is seen in spinal metastases.

The following sign is also known as _____ sign

Hole within a hole appearance of skull is seen in _____, apart from langerhans cell histiocytosis

X-ray showing compression on one side of the radius causing the other side to bend/ buckle suggests a _____ fracture.

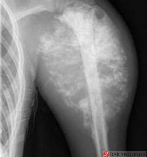
The X-ray showing periosteal lifting and _____ appearance is suggestive of osteosarcoma

X-ray showing _____ hip are suggestive of tuberculosis (TB) of the hip\

Osteoclastoma/GCT shows _____ appearence on X-Ray.

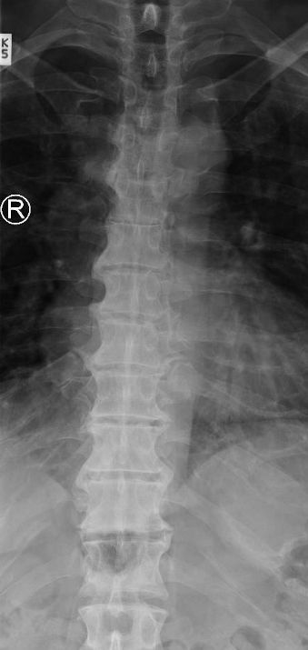
The given x ray depicts _____

Calcification of anterior and posterior longitudinal ligaments in DISH will lead to appearance of _____ on radiography

Sickle cell anemia is characterized by expansion of hematopoiesis into the _____, leading to a 'crewcut'' appearance on X-ray
Radiographic Anatomy of Bones and Joints
Flashcards
Imaging of Fractures and Dislocations
Flashcards
Arthritides: Inflammatory and Degenerative
Flashcards
Metabolic Bone Diseases
Flashcards
Bone and Soft Tissue Tumors
Flashcards
Congenital Skeletal Anomalies
Flashcards
Spine Imaging
Flashcards
Skeletal Infections
Flashcards
Sports Medicine Imaging
Flashcards
Imaging of Prostheses and Implants
Flashcards
Musculoskeletal Ultrasound
Flashcards
MSK Interventional Procedures
Flashcards
These Musculoskeletal Radiology flashcards are designed for NEET-PG Radiology preparation, using active recall to help you retain high-yield concepts, clinical correlations, and commonly tested facts. Each card prompts you to retrieve information from memory rather than passively reviewing notes, which research shows leads to significantly better exam performance.
The 74 cards in this deck cover the most important topics in Musculoskeletal Radiology, including key mechanisms, diagnostic criteria, treatment protocols, and clinical pearls that frequently appear in NEET-PG examinations. Cards are organised by chapter so you can focus on specific areas or work through the entire topic systematically.
For personalised spaced repetition scheduling that adapts to your performance, unlimited flashcards, and detailed progress analytics, download the Oncourse app.
Get full access to all flashcards, spaced repetition, and progress tracking.
Start For Free