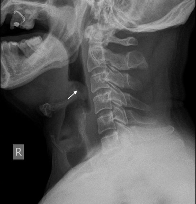
_____ sign on the x-ray is suggestive of acute epiglottitis.

extended FAST incorporates _____ and right thoracic views to assess for pneumothorax and haemothorax.
In FAST, Longitudinal view of the right upper quadrant: assess for _____ injuries, right kidney injury, and Morison pouch
Loss of Psoas outline is one of the signs of _____ rupture on plain X-ray
In FAST, Longitudinal view of the left upper quadrant: assess for _____ injuries and left kidney injury
What is the method of choice for staging a patient with hemodynamically stable renal trauma presenting at the emergency room?_____
What is the best modality to identify cocaine packets in a body packer?_____
In FAST, Longitudinal and transverse view of the suprapubic region: assess for _____ injuries and pouch of douglas
e-FAST is not reliable in detecting less than _____ mL of free blood.
FAST is least useful for diagnosing _____ hematomas as the sensitivity for detection is very poor
Trauma Imaging Protocols
Flashcards
Head Trauma Imaging
Flashcards
Spine Trauma Imaging
Flashcards
Chest Trauma Imaging
Flashcards
Abdominal Trauma Imaging
Flashcards
Musculoskeletal Trauma Imaging
Flashcards
Non-traumatic Neurological Emergencies
Flashcards
Non-traumatic Thoracic Emergencies
Flashcards
Non-traumatic Abdominal Emergencies
Flashcards
Vascular Emergencies
Flashcards
Pediatric Emergency Imaging
Flashcards
Imaging of Non-accidental Trauma
Flashcards
These Emergency Radiology flashcards are designed for NEET-PG Radiology preparation, using active recall to help you retain high-yield concepts, clinical correlations, and commonly tested facts. Each card prompts you to retrieve information from memory rather than passively reviewing notes, which research shows leads to significantly better exam performance.
The 14 cards in this deck cover the most important topics in Emergency Radiology, including key mechanisms, diagnostic criteria, treatment protocols, and clinical pearls that frequently appear in NEET-PG examinations. Cards are organised by chapter so you can focus on specific areas or work through the entire topic systematically.
For personalised spaced repetition scheduling that adapts to your performance, unlimited flashcards, and detailed progress analytics, download the Oncourse app.
Get full access to all flashcards, spaced repetition, and progress tracking.
Start For Free