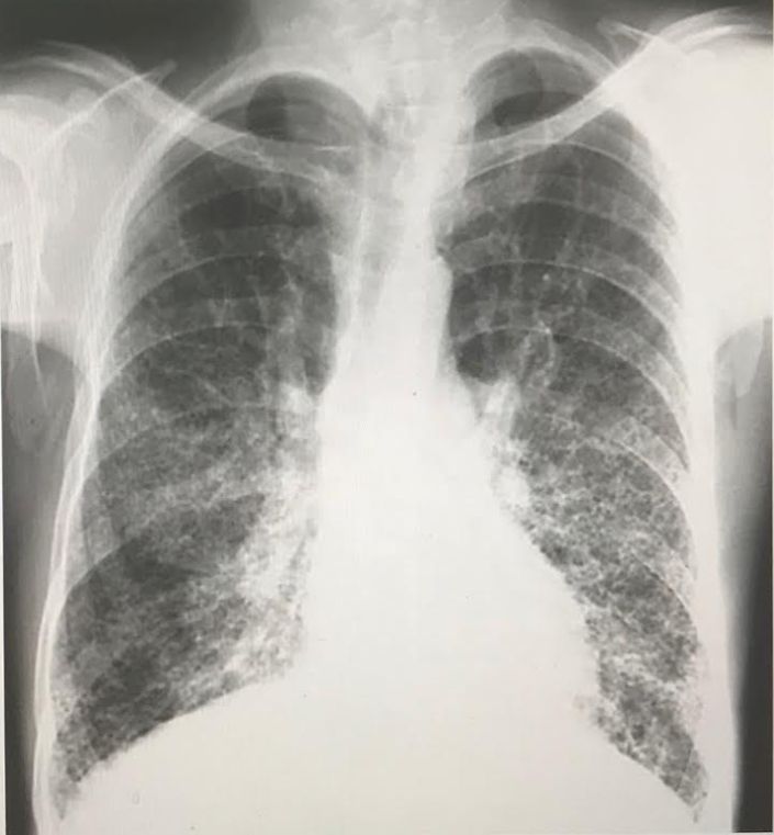
The following CXR is highly suggestive of what restrictive pulmonary pathology in a ~ 50 year old man? _____

X-ray shows holly leaf appearence in _____.

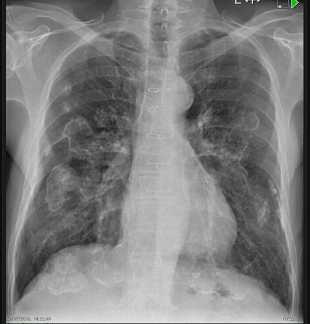
The following CXR is highly suggestive of what pulmonary pathology? _____

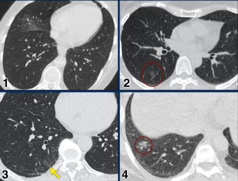
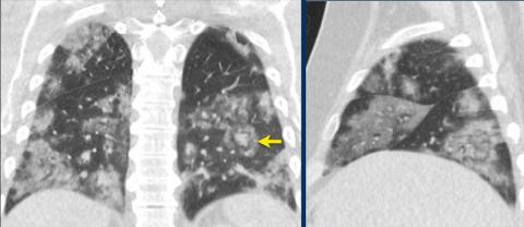
CO-RADS _____ (Equivocal - Features compatible with COVID-19, but also other diseases)

CO-RADS _____ (High - Suspicious for COVID-19)

_____ sign is a radiographical appearance seen in the right upper lobe collapse in bronchogenic carcinoma.

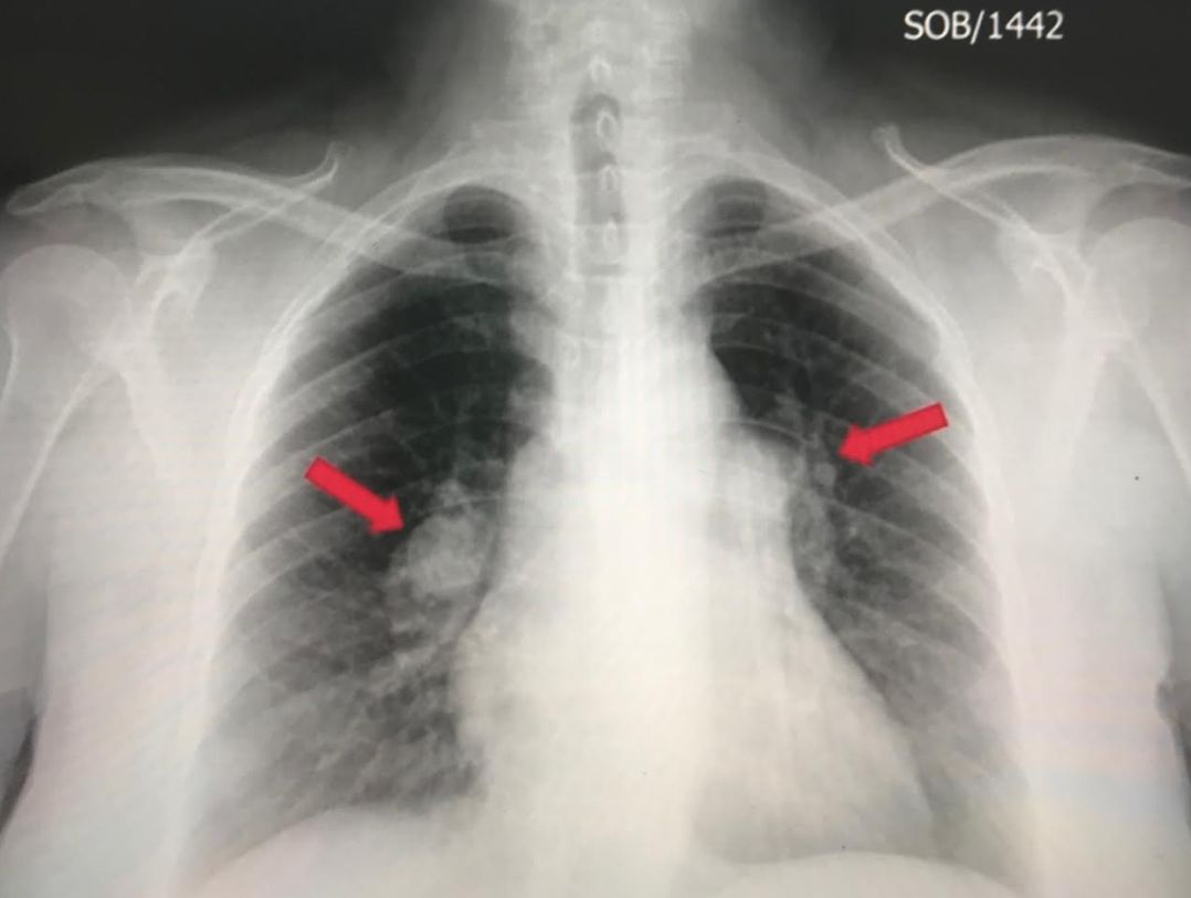
The following sign is also known as _____ sign

CO-RADS _____ (RTPCR confirmed)

CO-RADS _____ (Low - Typical for other infections but not COVID-19)

CO-RADS _____ (very high level of suspicion for pulmonary involvement by COVID-19 based on typical CT findings)

Normal Chest Radiographic Anatomy
Flashcards
Radiographic Signs in Chest Imaging
Flashcards
Pulmonary Infections
Flashcards
Chronic Obstructive Pulmonary Disease
Flashcards
Interstitial Lung Diseases
Flashcards
Pulmonary Neoplasms
Flashcards
Pleural Diseases
Flashcards
Mediastinal Pathology
Flashcards
Congenital and Developmental Chest Anomalies
Flashcards
Pulmonary Vascular Diseases
Flashcards
Chest Trauma Imaging
Flashcards
Post-Surgical Chest Imaging
Flashcards
These Chest Radiology flashcards are designed for NEET-PG Radiology preparation, using active recall to help you retain high-yield concepts, clinical correlations, and commonly tested facts. Each card prompts you to retrieve information from memory rather than passively reviewing notes, which research shows leads to significantly better exam performance.
The 96 cards in this deck cover the most important topics in Chest Radiology, including key mechanisms, diagnostic criteria, treatment protocols, and clinical pearls that frequently appear in NEET-PG examinations. Cards are organised by chapter so you can focus on specific areas or work through the entire topic systematically.
For personalised spaced repetition scheduling that adapts to your performance, unlimited flashcards, and detailed progress analytics, download the Oncourse app.
Get full access to all flashcards, spaced repetition, and progress tracking.
Start For Free