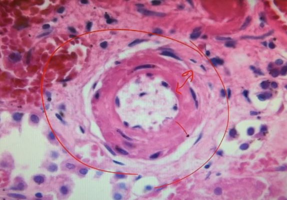
What type of arteriolosclerosis is demonstrated in the image below? _____

What type of arteriolosclerosis is demonstrated in the image below? _____

The image shows yellow spots on the inner surface of the aorta, which represent _____

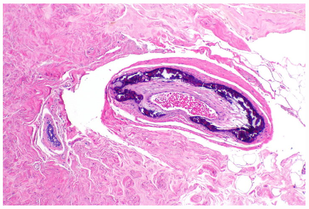
The given biopsy specimen of radial artery is suggestive of _____ sclerosis.

One source of von Willebrand factor (vWF) is from the _____ of endothelial cells
The _____ type (Type IV) of Ehlers-Danlos Syndrome that is caused by a deficiency of type III collagen can lead to:- the formation and rupture of aneurysms - rupture of organs (ex. in women the uterus during birth)
_____ syndrome leads to aneurysm formation due to defective elastin.
Buerger disease (thromboangiitis obliterans) is a form of segmenting _____-vessel vasculitis that extends into contiguous veins and nerves
_____ transplant rejection is dominated by arteriosclerosis
Patients with cryoglobulinemic vasculitis have deposition of immune complexes in the _____, peripheral nervous system, and the kidney
Atherosclerosis
Flashcards
Hypertensive Vascular Disease
Flashcards
Aneurysms and Dissection
Flashcards
Vasculitis
Flashcards
Venous Disease and Thrombosis
Flashcards
Vascular Tumors
Flashcards
Varicose Veins and Lymphatics
Flashcards
Pathology of Vascular Interventions
Flashcards
Vascular Diseases in Specific Organs
Flashcards
Congenital Vascular Anomalies
Flashcards
These Vascular Pathology flashcards are designed for NEET-PG Pathology preparation, using active recall to help you retain high-yield concepts, clinical correlations, and commonly tested facts. Each card prompts you to retrieve information from memory rather than passively reviewing notes, which research shows leads to significantly better exam performance.
The 73 cards in this deck cover the most important topics in Vascular Pathology, including key mechanisms, diagnostic criteria, treatment protocols, and clinical pearls that frequently appear in NEET-PG examinations. Cards are organised by chapter so you can focus on specific areas or work through the entire topic systematically.
For personalised spaced repetition scheduling that adapts to your performance, unlimited flashcards, and detailed progress analytics, download the Oncourse app.
Get full access to all flashcards, spaced repetition, and progress tracking.
Start For Free