What is the classification of the following type of jejunoileal atresia? _____

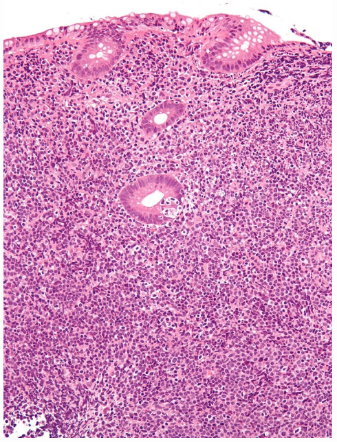
The given slide showing lymphoepithelial lesions with a positive history of H pylori infection suggest a diagnosis of gastric _____.

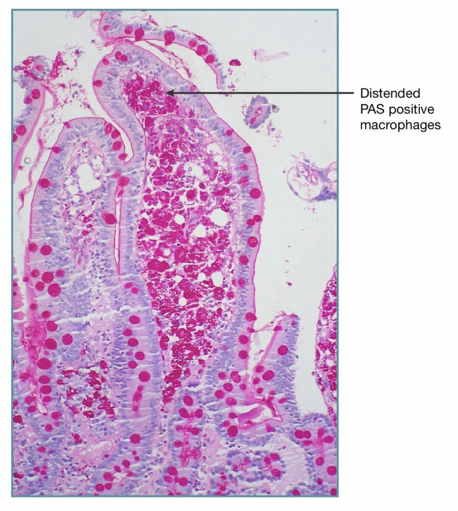
PAS-positive macrophages containing bacilli is diagnostic of _____ disease,

Histological pattern of neutrophils emanating from a crypt, reminiscent of a volcanic eruption is pathognomonic for _____

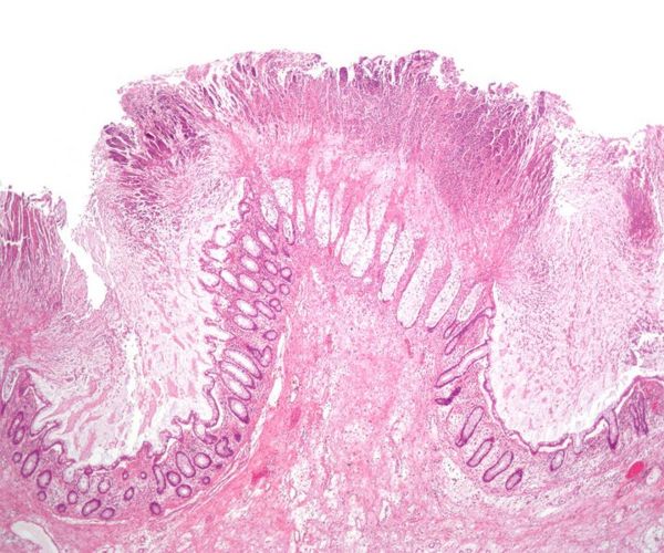
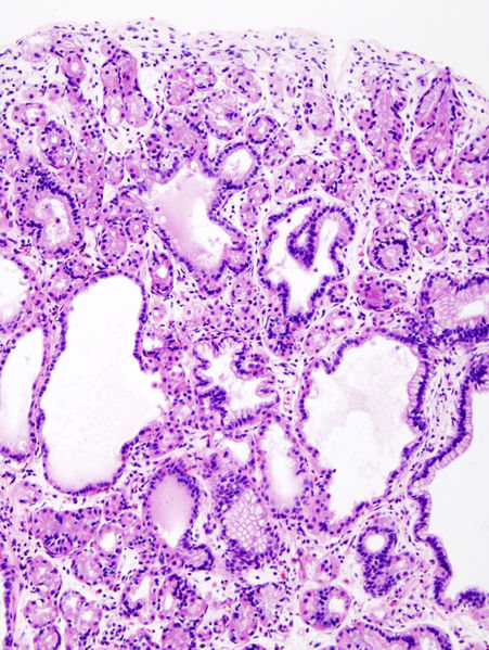
Fundic gland polyps of the stomach are associated with _____
Hint: cancer syndrome
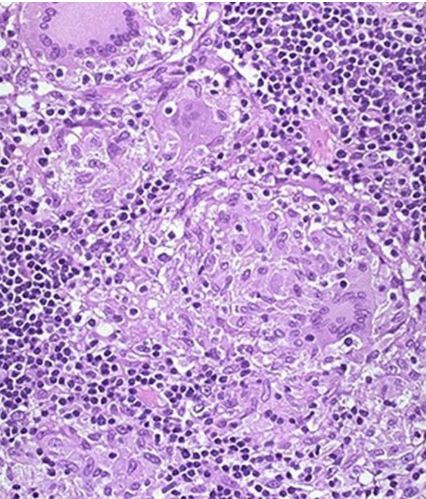
The given slide shows a non-caseating granuloma suggestive of _____:

_____ esophagitis is likely to show yellowish-white adherent pseudomembranes covering mucosa

_____ syndrome is characterized by numerous harmartomatous polyps WITH hyperpigmentation of the lips, mouth, hands, and genital skin
_____ syndrome is characterized by numerous hamartomatous polyps WITHOUT hyperpigmentation
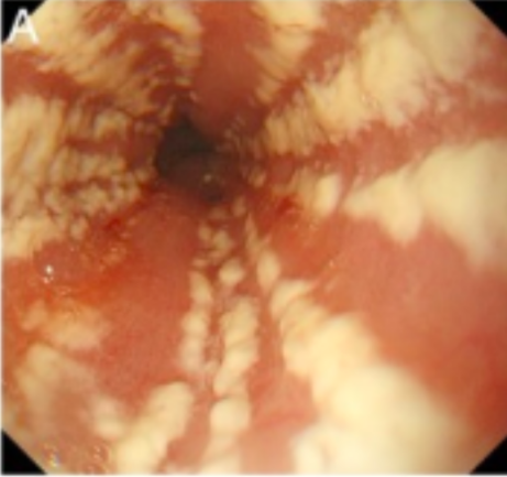
_____ poisoning leads to red velvety coloured stomach mucosa
Oral Cavity and Esophageal Pathology
Flashcards
Gastritis and Peptic Ulcer Disease
Flashcards
Inflammatory Bowel Disease
Flashcards
Malabsorption Syndromes
Flashcards
Vascular Disorders of Intestine
Flashcards
Diverticular Disease
Flashcards
Intestinal Obstruction
Flashcards
Gastrointestinal Infections
Flashcards
Polyps and Neoplasms
Flashcards
Appendiceal Pathology
Flashcards
These Gastrointestinal Pathology flashcards are designed for NEET-PG Pathology preparation, using active recall to help you retain high-yield concepts, clinical correlations, and commonly tested facts. Each card prompts you to retrieve information from memory rather than passively reviewing notes, which research shows leads to significantly better exam performance.
The 86 cards in this deck cover the most important topics in Gastrointestinal Pathology, including key mechanisms, diagnostic criteria, treatment protocols, and clinical pearls that frequently appear in NEET-PG examinations. Cards are organised by chapter so you can focus on specific areas or work through the entire topic systematically.
For personalised spaced repetition scheduling that adapts to your performance, unlimited flashcards, and detailed progress analytics, download the Oncourse app.
Get full access to all flashcards, spaced repetition, and progress tracking.
Start For Free