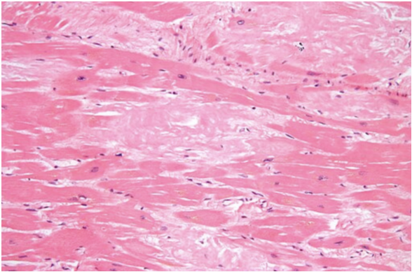
The hyaline, eosinophilic deposits seen on the biopsy point to a diagnosis of cardiac amyloidosis, which most commonly leads to _____ cardiomyopathy.

Hypertrophic cardiomyopathy is characterized by myofibrillar hypertrophy with _____ and fibrosis on biopsy

Aschoff's bodies in rheumatic heart disease shows _____ necrosis.

_____ disease is a glycogen storage disease associated with hypertrophic cardiomyopathy
_____ bacterial endocarditis is most commonly caused by Staphylococcus aureus
Hint: Acute or Subacute
Reperfusion of irreversibly-damaged cells post-MI may result in _____ influx, leading to hypercontraction of myofibrils (contraction band necrosis)
_____ cardiomyopathy may be caused by endocardial fibroelastosis, which is a thick fibroelastic tissue in the endocardium; most commonly affects young children
Myocardial infarction is often due to rupture of atherosclerotic plaque with _____ and complete occlusion of a coronary artery
When the surface of the endocardium is damaged, thrombotic vegetations of _____ and fibrin may develop
_____ endocarditis is due to sterile vegetations that arise in association with SLE
Congenital Heart Disease
Flashcards
Ischemic Heart Disease
Flashcards
Hypertensive Heart Disease
Flashcards
Valvular Heart Disease
Flashcards
Myocarditis and Cardiomyopathies
Flashcards
Pericardial Disease
Flashcards
Cardiac Tumors
Flashcards
Heart Failure Pathophysiology
Flashcards
Cardiac Transplantation Pathology
Flashcards
Endocarditis
Flashcards
These Cardiac Pathology flashcards are designed for NEET-PG Pathology preparation, using active recall to help you retain high-yield concepts, clinical correlations, and commonly tested facts. Each card prompts you to retrieve information from memory rather than passively reviewing notes, which research shows leads to significantly better exam performance.
The 61 cards in this deck cover the most important topics in Cardiac Pathology, including key mechanisms, diagnostic criteria, treatment protocols, and clinical pearls that frequently appear in NEET-PG examinations. Cards are organised by chapter so you can focus on specific areas or work through the entire topic systematically.
For personalised spaced repetition scheduling that adapts to your performance, unlimited flashcards, and detailed progress analytics, download the Oncourse app.
Get full access to all flashcards, spaced repetition, and progress tracking.
Start For Free