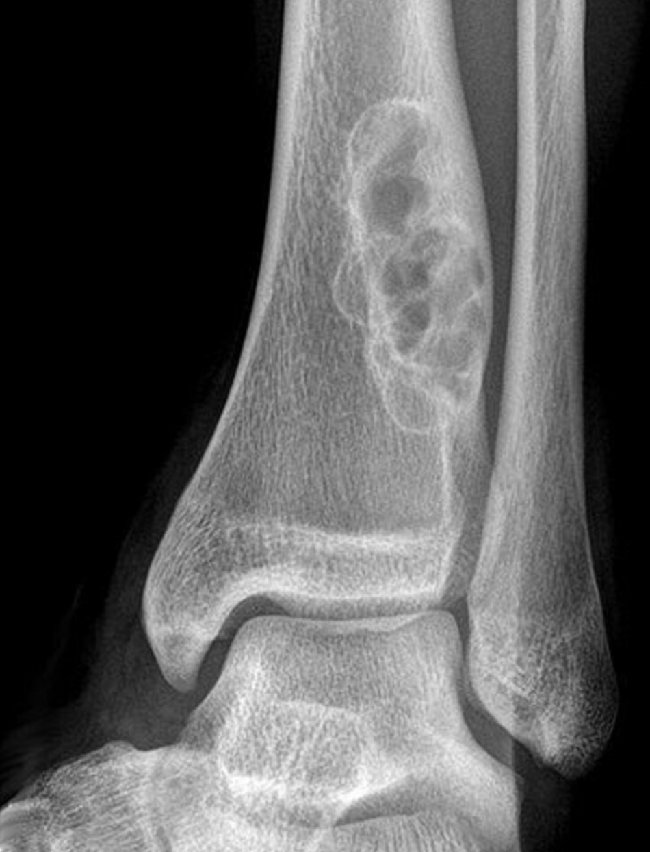
_____ shows eccentric well-lobulated lesions and sclerotic scalloped borders.
Hint: Bone tumor

Multiple enchondromas when present without hemangiomas is called _____ disease.

Osteoid osteoma typically arises in the _____ of the diaphysis of long bones (e.g. femur)
Osteoid osteoma presents with bone pain that is worse at _____ and DOES resolve with aspirin
Osteosarcoma arises in the _____ of long bones, often around the knee (body location)
Giant cell tumor usually arises at the distal _____ or proximal tibia
Simple bone cyst always occurs during the first _____ decades of life
Osteosarcomas present as a _____ enlarging mass or pathologic fractures
Hint: painful/painless
In the treatment of Giant Cell Tumor Of Bone, Denosumab works by binding _____ expressed on multinucleated Giant Cells
_____ Bone Cysts are treated by extended curettage and if it is in pelvis, embolisation is done
Classification of Bone Tumors
Flashcards
Benign Bone Tumors
Flashcards
Malignant Primary Bone Tumors
Flashcards
Metastatic Bone Disease
Flashcards
Tumor-Like Lesions of Bone
Flashcards
Soft Tissue Tumors
Flashcards
Evaluation and Staging of Bone Tumors
Flashcards
Biopsy Principles
Flashcards
Limb Salvage Surgery
Flashcards
Amputation for Bone Tumors
Flashcards
Adjuvant Therapies
Flashcards
Surveillance and Follow-up
Flashcards
These Bone Tumors flashcards are designed for NEET-PG Orthopaedics preparation, using active recall to help you retain high-yield concepts, clinical correlations, and commonly tested facts. Each card prompts you to retrieve information from memory rather than passively reviewing notes, which research shows leads to significantly better exam performance.
The 31 cards in this deck cover the most important topics in Bone Tumors, including key mechanisms, diagnostic criteria, treatment protocols, and clinical pearls that frequently appear in NEET-PG examinations. Cards are organised by chapter so you can focus on specific areas or work through the entire topic systematically.
For personalised spaced repetition scheduling that adapts to your performance, unlimited flashcards, and detailed progress analytics, download the Oncourse app.
Get full access to all flashcards, spaced repetition, and progress tracking.
Start For Free