Enter your email to get your 85% OFF code and unlock the full UKMLA question bank on the app.
A 68-year-old woman arrives at 08:30 with right-sided weakness and speech difficulty that began at breakfast. Her husband notes symptom onset was 45 minutes ago. This scenario demands immediate stroke pathway activation-every 15-minute delay to thrombolysis costs an average of one month of disability-free life. Recognising acute neurological emergencies and distinguishing them from mimics requires systematic assessment, precise timing documentation, and rapid decision-making that directly impacts patient outcomes.
Stroke recognition tools:
Seizure identification :
| Presentation | Key Discriminator | Time-Critical Action |
|---|---|---|
| Acute stroke | Sudden onset, maximal deficit at onset | CT head within 1 hour of arrival |
| TIA | Symptoms resolved, typically <1 hour | ABCD² score, specialist assessment within 24h if score ≥4 |
| Seizure | Witnessed ictal activity, post-ictal phase | Protect airway, time seizure, IV access |
| Syncope | Prodrome, rapid recovery, no focal signs | ECG, postural BP, consider cardiac cause |
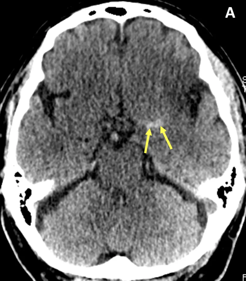
🚩 Red Flag: Sudden-onset "worst headache of life" is subarachnoid haemorrhage until proven otherwise-CT head has 98% sensitivity within 6 hours, declining to 50% by 1 week.

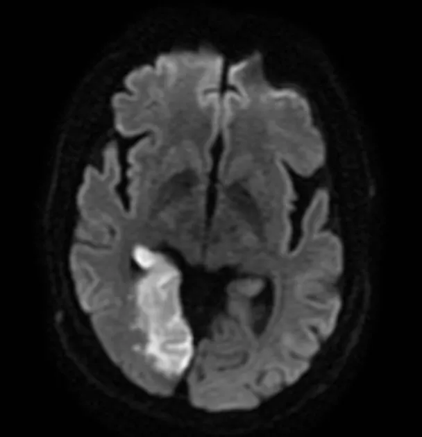
Ischaemic stroke pathophysiology centres on the ischaemic penumbra-tissue surrounding the infarct core that remains viable for 4.5-6 hours through collateral circulation. This penumbra represents salvageable brain: each minute of untreated large vessel occlusion destroys 1.9 million neurons. Thrombolysis and thrombectomy target penumbral rescue, explaining strict time windows. Haemorrhagic transformation risk increases with larger infarcts, delayed reperfusion, and anticoagulation, occurring in 15% of ischaemic strokes.
Stroke mechanisms:
Dementia and delirium pathways :
Migraine mechanisms :
A 72-year-old man presents with transient right arm weakness lasting 20 minutes, now resolved. ABCD² score calculation: Age ≥60 (1 point), BP 165/95 (1 point), unilateral weakness (2 points), duration 10-59 minutes (1 point), no diabetes = 5 points. NICE NG128 mandates specialist assessment and imaging within 24 hours for scores ≥4, as 7-day stroke risk is 11.7% versus 0.4% for score 0-3.
Stroke imaging :
Seizure investigations :
Delirium assessment :
| Investigation | Indication | Diagnostic Yield |
|---|---|---|
| CT head non-contrast | All suspected strokes within 1h | Haemorrhage 95%, early ischaemia 60% |
| MRI brain with DWI | First seizure, diagnostic uncertainty | Structural lesion 10-15% |
| Carotid Doppler ultrasound | Anterior circulation TIA/stroke | Significant stenosis 15-20% |
| 12-lead ECG | All stroke/TIA patients | Atrial fibrillation 10-15% |

Stroke mimics account for 30% of suspected strokes presenting to hyperacute units. Seizures with Todd's paresis cause transient focal weakness lasting minutes to hours, but seizure history or witnessed ictal activity provides the key discriminator. Hypoglycaemia (<3.0 mmol/L) causes focal neurology in 15% of cases-immediate glucose measurement is mandatory. Functional neurological disorder presents with non-anatomical deficits, inconsistent examination findings, and often positive Hoover's sign.
Headache differentials :
Delirium versus dementia :
| Feature | Stroke | Seizure with Todd's Paresis | Hypoglycaemia | Functional |
|---|---|---|---|---|
| Onset | Sudden, maximal at start | Post-ictal, gradual improvement | Variable, confusion prominent | Gradual, inconsistent |
| Consciousness | Often preserved | Impaired post-ictally | Often impaired | Preserved |
| Glucose | Normal | Normal | <3.0 mmol/L | Normal |
| Imaging | Acute infarct/haemorrhage | Normal (or old changes) | Normal | Normal |
Alteplase 0.9 mg/kg (maximum 90mg) administered within 4.5 hours of ischaemic stroke onset reduces disability (NNT=10 for favourable outcome at 3 months) but increases symptomatic intracranial haemorrhage risk (4% versus 0.6% placebo). Contraindications include BP >185/110 mmHg despite treatment, previous intracranial haemorrhage, recent surgery/trauma within 2 weeks, and anticoagulation with INR >1.7. Mechanical thrombectomy for large vessel occlusion extends the window to 24 hours when perfusion imaging demonstrates salvageable tissue.
Acute seizure management :
Migraine treatment :
| Drug | Indication | Dose | Key Monitoring |
|---|---|---|---|
| Alteplase | Ischaemic stroke <4.5h | 0.9 mg/kg IV (max 90mg) | Neuro obs every 15min for 2h, then hourly for 24h |
| Levetiracetam | Focal epilepsy | 500mg BD, increase to 1500mg BD | Mood changes, renal function |
| Sumatriptan | Acute migraine | 50-100mg PO (max 300mg/24h) | Cardiovascular disease contraindication |
| Donepezil | Alzheimer's dementia | 5mg daily, increase to 10mg after 4 weeks | Bradycardia, GI upset |
An 82-year-old woman with previous stroke, AF on apixaban, and moderate dementia presents with recurrent falls and confusion. Her ABCD² score is 6 following transient dysphasia. Management requires balancing stroke prevention (continue anticoagulation despite fall risk-absolute stroke reduction 2.7%/year outweighs bleeding risk 1.3%/year) with delirium management (identify precipitant, avoid antipsychotics if possible due to stroke risk) and stroke secondary prevention optimisation.
Post-stroke care :
Dementia multidisciplinary input:
| Comorbidity | Management Consideration | Evidence-Based Approach |
|---|---|---|
| AF + dementia | Anticoagulation despite fall risk | Continue DOAC unless fall frequency >295/year |
| Stroke + diabetes | Glucose control | Target HbA1c <53 mmol/mol, avoid hypoglycaemia |
| Epilepsy + pregnancy | Teratogenicity risk | Levetiracetam or lamotrigine monotherapy, high-dose folic acid 5mg |
| Migraine + cardiovascular disease | Triptan contraindication | Avoid triptans, use NSAIDs or neuromodulation |
Key Take-Aways:
Essential Neurology Numbers:
| Parameter | Critical Value | Clinical Significance |
|---|---|---|
| Stroke thrombolysis window | <4.5 hours | Each 15-min delay costs 1 month disability-free life |
| ABCD² high risk | ≥4 points | 7-day stroke risk 11.7% |
| Status epilepticus definition | >5 minutes | Requires immediate benzodiazepine treatment |
| Hypoglycaemia threshold | <3.0 mmol/L | Can mimic stroke in 15% of cases |
| CT sensitivity for SAH | 98% at 6h, 50% at 7 days | LP required if CT negative and high suspicion |
Key Principles:
Quick Reference:
| Condition | First Investigation | First Treatment | Time-Critical Action |
|---|---|---|---|
| Suspected stroke | CT head within 1h | Alteplase if <4.5h | Door-to-needle <60 min |
| Seizure >5 min | IV access, glucose | Lorazepam 4mg IV | Protect airway, time seizure |
| TIA (ABCD² ≥4) | Carotid Doppler, echo | Aspirin 300mg stat | Specialist review <24h |
| Acute migraine | Clinical diagnosis | Triptan + NSAID | Treat within 1h of onset |
Signup to continue reading this lesson and unlimited access questions, flashcards, AI notes, and more
Have doubts about this lesson?
Ask Rezzy, your AI Study Mate, to explain anything you didn't understand
Get full Oncourse access with lessons, practice questions, flashcards and AI study tools.
Scan to download app