🚩 Diagnosis - The Red Flag Triage
Initial assessment focuses on identifying signs suggestive of specific genitourinary injuries. Triage based on mechanism and physical exam findings.
- Renal Injury: Flank pain/ecchymosis, lower rib fractures (10-12), gross hematuria.
- Bladder Injury: Pelvic fracture, gross hematuria, suprapubic pain, inability to void.
- Urethral Injury: Blood at the meatus, high-riding prostate, scrotal/perineal hematoma.
⭐ Blood at the meatus is a cardinal sign of urethral injury. ⚠️ DO NOT place a Foley catheter until a retrograde urethrogram (RUG) rules out injury.
🩹 Management - Kidney Calamities
- Initial: ABCs, FAST exam.
- Imaging: CT with IV contrast is the gold standard for staging injury.
- Conservative: Mainstay for >90% of blunt injuries if hemodynamically stable. Includes bed rest, serial H&H, and monitoring.
- Intervention Indications:
- Hemodynamic instability.
- Expanding/pulsatile retroperitoneal hematoma.
- AAST Grade V (e.g., pedicle avulsion).
⭐ Most blunt renal injuries, even high-grade (I-IV), are managed non-operatively if the patient is hemodynamically stable.
💥 Management - Bladder & Ureteral Blowouts
Bladder Rupture: Management is dictated by the location of the tear, identified on retrograde cystogram.
- Ureteral Injury:
- Often iatrogenic (pelvic surgery) or from penetrating trauma.
- Management:
- Partial tear: Ureteral (JJ) stent.
- Complete transection: Surgical repair (ureteroureterostomy).
⭐ Intraperitoneal bladder rupture requires immediate surgical repair to prevent life-threatening chemical peritonitis from urine in the abdomen.
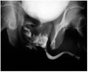
🚑 Management - Urethral Disruption Drama
- Presentation: Suspect in pelvic trauma with blood at meatus, high-riding prostate, perineal hematoma, or urinary retention.
- Crucial First Step: ALWAYS perform a retrograde urethrogram (RUG) in stable patients before any catheterization attempt.
- Management:
- Initial Diversion: A suprapubic tube is placed for urinary drainage. This is done immediately in unstable patients or after RUG confirms a tear.
- Definitive Repair: Delayed urethroplasty is performed 3-6 months later, allowing inflammation to resolve.
⭐ High-Yield: Blind Foley catheter placement is contraindicated. It can convert a partial tear into a complete disruption, complicating future repair.

💥 Complications - The Dangerous Aftermath
- Early (Hours to Days):
- Hemorrhage: Can lead to hypovolemic shock.
- Infection: Abscess formation, peritonitis, or urosepsis.
- Urinoma: Encapsulated collection of extravasated urine.
- Acute Kidney Injury (AKI): From hypoperfusion or obstruction.
- Late (Weeks to Years):
- ⚠️ Strictures: Urethral or ureteral scarring causing obstructive uropathy.
- Fistulas: Abnormal connections (e.g., vesicovaginal).
- Incontinence & Erectile Dysfunction.
⭐ Page Kidney: A rare cause of secondary hypertension post-renal trauma. A fibrotic subcapsular hematoma compresses the renal parenchyma, activating the RAAS.
⚡ Biggest Takeaways
- Renal trauma: Most common; manage conservatively unless hemodynamically unstable. CT with IV contrast is key for staging.
- Bladder rupture: Suspect with pelvic fracture and gross hematuria. Diagnose with retrograde cystogram. Intraperitoneal needs surgery; extraperitoneal needs Foley drainage.
- Posterior urethral injury: Suspect with pelvic fracture, blood at meatus, and a high-riding prostate.
- First step for suspected urethral injury is a retrograde urethrogram (RUG).
- AVOID blind Foley catheterization in urethral trauma; perform suprapubic cystostomy.
Unlock the full lesson and continue reading
Signup to continue reading this lesson and unlimited access questions, flashcards, AI notes, and more