🗺️ Anatomy - The Urethral Blueprint

- Posterior Urethra: Proximal to the urogenital (UG) diaphragm. Injury often linked to pelvic fractures.
- Prostatic: Surrounded by the prostate.
- Membranous: Passes through the UG diaphragm; short and fixed.
- Anterior Urethra: Distal to the UG diaphragm. Injury often from straddle injuries or instrumentation.
- Bulbous: Proximal, located in the perineum.
- Penile (Spongy): Travels through the corpus spongiosum to the meatus.
⭐ The membranous urethra is the most common site of posterior urethral injury, typically from shear forces during a pelvic fracture.
💥 Pathophysiology - When Pipes Break
- Posterior Urethra (Prostatic/Membranous):
- Mechanism: High-impact trauma, most commonly a pelvic fracture (e.g., MVA).
- Anatomy: Disruption of the membranous urethra at the urogenital diaphragm.
- Result: Urine/blood extravasates into the extraperitoneal retropubic space. May cause a "high-riding" prostate.
- Anterior Urethra (Bulbar/Penile):
- Mechanism: Straddle injury or direct perineal blow.
- Anatomy: Injury distal to the urogenital diaphragm.
- Result (depends on Buck's fascia):
- Intact: Hematoma/urine confined to the penis.
- Ruptured: Spreads to superficial perineal space (scrotum, perineum, anterior abdominal wall), creating a "butterfly" hematoma.
⭐ Pelvic fractures are associated with posterior urethral injury in up to 10% of cases; suspect it with blood at the meatus after major trauma.
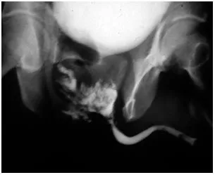
💧 Diagnosis - Finding the Leak
- Gold Standard: Retrograde Urethrogram (RUG) is the definitive initial test.
- Performed before any Foley catheter attempt in suspected cases.
- Positive Finding: Extravasation of contrast dye confirms and localizes the urethral tear.
- Concurrent Injury: A CT cystogram is often performed after RUG to rule out a concomitant bladder rupture, which is common with pelvic fractures.
⭐ NEVER blindly insert a Foley catheter if urethral injury is suspected (e.g., blood at meatus, high-riding prostate). This can convert a partial tear into a complete transection.

🛠️ Management - The Repair Crew
- Immediate Goal: Urinary diversion. First, stabilize the patient (ABCs).
⭐ First step in suspected urethral injury: Suprapubic catheter placement. Avoid blind Foley catheter insertion, which can convert a partial tear into a complete one or create false passages.
- Definitive Repair:
- Posterior Injuries: Delayed repair (urethroplasty) at 3-6 months. Allows pelvic hematoma to resolve and stricture length to stabilize.
- Anterior Injuries: Management is variable; can range from primary repair to delayed reconstruction.
⚡ Biggest Takeaways
- Posterior urethral injuries are linked to pelvic fractures; suspect with a high-riding prostate.
- Anterior urethral injuries typically result from straddle injuries or direct trauma.
- Key signs: blood at the meatus, inability to void, and perineal/scrotal hematoma.
- NEVER place a Foley catheter blindly if injury is suspected.
- Retrograde urethrogram (RUG) is the definitive diagnostic test.
- Initial management is suprapubic catheter placement to divert urine.
- Major long-term complications include urethral strictures and erectile dysfunction.
Unlock the full lesson and continue reading
Signup to continue reading this lesson and unlimited access questions, flashcards, AI notes, and more