Primary Survey - Little People, Big Differences

- Airway: Larger occiput/tongue → place shoulder roll for neutral alignment. Uncuffed ETT size formula: $(Age/4) + 4$.
- Breathing: Pliable chest wall means significant internal injury can occur without rib fractures.
- Circulation: Tachycardia is the earliest sign of shock. Obtain Intraosseous (IO) access if IV attempts fail.
- Disability: Assess using the Pediatric Glasgow Coma Scale (pGCS).
- Exposure: High surface-area-to-mass ratio ↑ risk of hypothermia; use aggressive warming measures.
⭐ Hypotension is a late, ominous sign, often heralding imminent cardiac arrest.
Head & Spine Trauma - Protecting the Noggin
- Anatomical Risks: Large head-to-body ratio & weak neck muscles ↑ risk for high cervical spine (C1-C2) injuries.
- Open fontanelles can temporarily compensate for rising intracranial pressure (ICP), masking early signs.
- Unique Injury Patterns: Be vigilant for Spinal Cord Injury Without Radiographic Abnormality (SCIWORA).
- Assess consciousness with the Pediatric Glasgow Coma Scale (GCS).
- Cushing's triad (hypertension, bradycardia, irregular respirations) is a late and ominous sign of ↑ ICP.
⭐ A child with neurological signs of spinal injury but normal X-ray/CT scans is characteristic of SCIWORA; MRI is required for diagnosis.

Thoracic & Abdominal Trauma - Insides & Out
- Pliable Thorax: Compliant chest wall often means significant internal injury (e.g., pulmonary contusion, diaphragmatic rupture) without overlying rib fractures.
- Mobile mediastinum ↑ risk of rapid decompensation from tension pneumothorax.
- Abdominal Focus: Solid organs are more vulnerable than hollow viscera.
- Non-operative management is the standard for hemodynamically stable liver or spleen lacerations.
- Serial exams are crucial; peritonitis suggests hollow viscus injury.
⭐ The spleen is the most commonly injured organ in pediatric blunt abdominal trauma, followed by the liver.
Musculoskeletal Trauma - Bendy Bones & Breaks
- Pediatric bones are more porous and pliable with a thick, metabolically active periosteum, leading to unique fracture patterns and faster healing.
- Common Types:
- Greenstick: Incomplete fracture; cortex breaks on one side, bends on the other.
- Torus (Buckle): Compression failure of the cortex, often at the metaphysis.
- Plastic Bowing: Bending without a visible cortical break.
- Physeal (Growth Plate) Fractures: Classified by the Salter-Harris system.
- 📌 SALTER Mnemonic:
- I: Straight across
- II: Above
- III: Lower
- IV: Through
- V: ERasure (crush)

⭐ Salter-Harris Type II is the most common type, typically involving the distal radius. Prognosis is generally excellent as it spares the germinal layer of the physis.
Non-Accidental Trauma - Hidden Clues
- History: Vague, inconsistent with injury severity, or significant delay in seeking care.
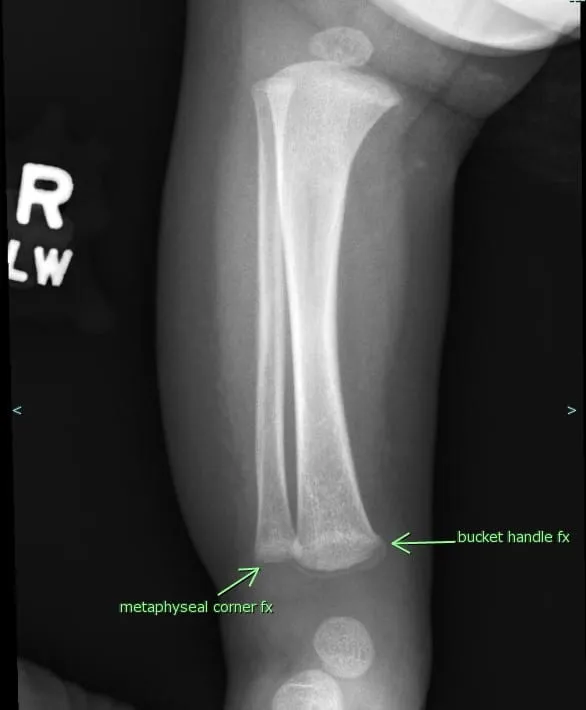
- Fractures: High-specificity patterns like metaphyseal corner fractures, posterior rib fractures, or multiple fractures in various stages of healing.
- Bruising: 📌 TEN-4 mnemonic: Bruising on Torso, Ears, or Neck in a child < 4 years old. Patterned bruises are a major red flag.
⭐ Retinal hemorrhages are a hallmark of abusive head trauma (shaken baby syndrome) and are often found on fundoscopic exam.

- Children have unique injury patterns due to anatomical differences; head trauma is more common.
- The pediatric airway is smaller and anterior; consider uncuffed ET tubes in young children.
- High risk of hypothermia due to a larger body surface area-to-mass ratio.
- Fluid resuscitation is weight-based (20 mL/kg crystalloid); the Broselow tape is a key tool.
- Tachycardia, not hypotension, is the earliest reliable sign of shock.
- Always maintain a high index of suspicion for non-accidental trauma (NAT).
- C-spine injuries may present as SCIWORA (Spinal Cord Injury Without Radiographic Abnormality).
Unlock the full lesson and continue reading
Signup to continue reading this lesson and unlimited access questions, flashcards, AI notes, and more