💥 Pathophysiology - Gut Punch Breakdown
- Multifactorial insult to the immature gut, primarily in premature infants.
- Intestinal Immaturity: ↓ mucosal barrier function, ↓ motility, altered immunity.
- Ischemia/Hypoxia: Often from perinatal stress or hypotension.
- Enteral Feeding & Dysbiosis: Formula feeding provides substrate for pathogenic bacteria.
- This triad leads to bacterial translocation, triggering a massive inflammatory cascade (↑PAF, TNF-α).
- Gas-producing organisms invade the bowel wall, causing the hallmark finding of pneumatosis intestinalis.
- Progression leads to transmural necrosis, perforation, and peritonitis.
⭐ The terminal ileum and proximal colon are the most frequently involved segments due to their tenuous blood supply and high bacterial load.

🩺 Diagnosis - Spotting the Sickness
- Presentation: Suspect in premature infants with feeding intolerance, abdominal distension, and hematochezia (bloody stools).
- Labs: Nonspecific but show systemic illness: thrombocytopenia, metabolic acidosis, hyponatremia, leukopenia/leukocytosis.
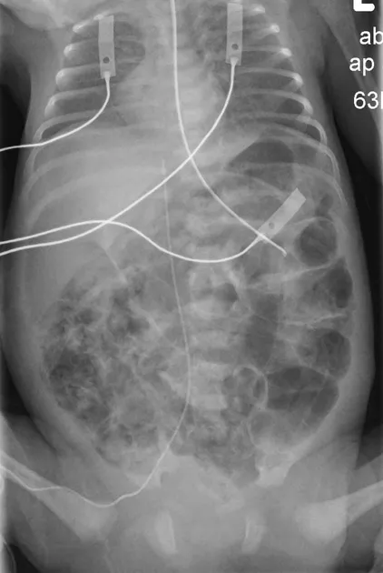
- Imaging (Serial AXRs): Key to staging (Modified Bell's Staging).
- Stage I (Suspected): Normal or mild ileus.
- Stage II (Definite): Pneumatosis intestinalis (pathognomonic) or portal venous gas.
- Stage III (Advanced): Pneumoperitoneum (perforation).
⭐ Pneumoperitoneum on abdominal X-ray is an absolute indication for surgical exploration.
🔪 Management - The Decisive Incision
Surgical intervention is crucial for perforated or gangrenous bowel to prevent overwhelming sepsis. The primary goal is to resect non-viable tissue while preserving maximal bowel length to prevent short gut syndrome.
-
Absolute Indication for Surgery:
- Pneumoperitoneum on abdominal X-ray (pathognomonic for perforation).
-
Relative Indications:
- Clinical deterioration despite 48-72 hours of maximal medical therapy.
- Palpable abdominal mass (sentinel loop).
- Portal venous gas (ominous sign).
- Positive paracentesis (stool/bacteria).
- Persistent severe thrombocytopenia or metabolic acidosis.
⭐ Pneumoperitoneum on abdominal X-ray is an absolute indication for immediate surgical exploration in NEC. It signifies bowel perforation.

- Surgical Options:
- Exploratory Laparotomy: Gold standard. Resect necrotic bowel, create an ostomy.
- Primary Peritoneal Drain (PPD): A temporizing "bailout" for extremely unstable, low-weight (<1000g) infants.
🚧 Complications - Post-Op Perils
- Short Bowel Syndrome (SBS):
- Most significant long-term morbidity from extensive resection.
- Results in malabsorption, failure to thrive, and chronic TPN dependence.
- Intestinal Strictures:
- Develop in 10-35% of survivors, often at anastomotic sites.
- Cause delayed obstructive symptoms (feeding intolerance, distension).
- Other Major Issues:
- Adhesions: Leading to future small bowel obstruction.
- TPN-Associated Cholestasis: Risk with prolonged parenteral nutrition.
- Neurodevelopmental Delay: Multifactorial risk from prematurity and severe illness.
- Recurrent NEC: Can occur in remaining bowel segments.
⭐ Strictures are a common delayed complication, often presenting weeks to months post-op. Suspect in a former NEC infant with new-onset feeding intolerance or obstructive symptoms after a period of recovery.
⚡ Biggest Takeaways
- Pneumoperitoneum on abdominal X-ray is the absolute indication for surgery, signifying perforation.
- Other indications include clinical deterioration on medical therapy, a fixed dilated loop, or portal venous gas.
- The standard procedure is exploratory laparotomy with resection of necrotic bowel and creation of an ostomy.
- Primary anastomosis is generally avoided due to high leak risk in critically ill infants.
- A peritoneal drain is a less invasive alternative for extremely unstable infants.
- Short bowel syndrome is the most feared long-term complication.
Unlock the full lesson and continue reading
Signup to continue reading this lesson and unlimited access questions, flashcards, AI notes, and more