🧠 Pathophysiology - Bleeds on the Brain
-
Epidural Hematoma (EDH)
- Vessel: Middle Meningeal Artery (arterial).
- Location: Potential space between dura & skull.
- Cause: Skull fracture, classically at the thin pterion.
- CT: Lens-shaped (biconvex) hematoma. Does not cross suture lines.
- 📌 Epidural = Emergency, Lens-shaped, Lucid interval.
-
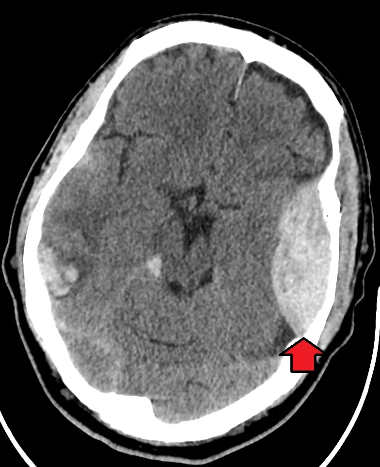
Subdural Hematoma (SDH)
- Vessel: Tearing of Bridging Veins (venous).
- Location: Between dura & arachnoid.
- Cause: Acceleration-deceleration injury. High risk in elderly/alcoholics due to brain atrophy.
- CT: Crescent-shaped hematoma. Can cross suture lines.
⭐ The classic "lucid interval" in EDH is due to initial stunning, followed by temporary compensation before rapid decompensation from arterial bleeding and herniation.

🧠 Clinical Manifestations - Signs of Pressure
- General ↑ICP Signs: Headache, vomiting, altered mental status (lethargy → coma).
- Papilledema is a late finding.
- Cushing's Triad (⚠️ Late, ominous sign):
- Hypertension (↑ systolic BP, widening pulse pressure)
- Bradycardia
- Irregular respirations (e.g., Cheyne-Stokes)
- Uncal Herniation:
- Ipsilateral CN III Palsy: "Blown pupil" (fixed, dilated) due to compression.
- Contralateral Hemiparesis: Compression of ipsilateral cerebral peduncle.
- 💡 Kernohan's Notch: False localizing sign; ipsilateral hemiparesis from contralateral peduncle compression.
⭐ Lucid Interval: Classic for Epidural Hematoma (EDH). A period of alertness between initial injury and neurological decline as the hematoma expands.
🧠 Radiology - Scan Shapes & Shades
-
Epidural Hematoma (EDH)
- Shape: Lentiform (lens-shaped), biconvex.
- Boundaries: Does NOT cross suture lines where dura is tightly adherent.
- Density: Acutely hyperdense (bright white) on non-contrast CT.
- 📌 Mnemonic: Epidural = Lemon.
-
Subdural Hematoma (SDH)
- Shape: Crescent-shaped, concave, layering along the cerebrum.
- Boundaries: Crosses suture lines but is limited by dural reflections (falx, tentorium).
- Density: Varies with age:
- Acute (<3 days): Hyperdense
- Subacute (3d-3w): Isodense
- Chronic (>3w): Hypodense
- 📌 Mnemonic: Subdural = Banana.

⭐ Midline shift >5 mm on CT is a critical finding. A "swirl sign" (mixed density) within an acute hematoma suggests active bleeding and predicts expansion.
🧠 Management - Skull Drills & Skills
- Initial Stabilization: ABCs (intubate if GCS ≤8), C-spine precautions, reverse anticoagulation.
- Medical ICP Control (Bridge to OR / Conservative Tx):
- Elevate head of bed to 30°, keep neck midline.
- Hyperosmolar therapy: Mannitol, 3% hypertonic saline.
- Sedation, analgesia, seizure prophylaxis (e.g., levetiracetam).
- 💡 Brief hyperventilation to $pCO_2$ 30-35 mmHg for acute herniation.
- Surgical Thresholds:
- EDH: Volume >30 cm³ regardless of GCS.
- Acute SDH: Thickness >10 mm OR Midline Shift (MLS) >5 mm.
⭐ An EDH volume >30 cm³ is an absolute indication for surgery, even with a GCS of 15, due to the high risk of rapid "talk and die" deterioration.
⚡ Biggest Takeaways
- Epidural (EDH): Middle meningeal artery tear, classic lucid interval, lens-shaped (biconvex) CT; does not cross sutures.
- Subdural (SDH): Bridging vein tear, common in elderly/alcoholics, crescent-shaped CT; crosses suture lines.
- Initial step: ABCDEs and emergent non-contrast head CT.
- Urgent neurosurgical evacuation for significant mass effect, midline shift >5 mm, or neurological decline.
- Conservative management for small, stable hematomas without focal deficits.
Unlock the full lesson and continue reading
Signup to continue reading this lesson and unlimited access questions, flashcards, AI notes, and more