Breast surgery demands you master anatomy that shifts with hormones and age, recognize malignant patterns hidden among benign mimics, and navigate treatment decisions where oncologic precision meets reconstructive artistry and patient autonomy. You'll build a framework that integrates imaging interpretation, genetic risk stratification, surgical technique selection, and multidisciplinary coordination to transform complex presentations into confident clinical action. This lesson equips you to distinguish the urgent from the routine, balance breast conservation against survival, and synthesize pathology reports with staging systems to guide care that respects both evidence and individual values.
The breast's structural organization follows predictable patterns that guide surgical approaches:
Mammary Ridge Development
Ductal System Organization

📌 Remember: TAIL for breast boundaries - Third rib (superior), Anterior axillary line (lateral), Inframammary fold (inferior), Lateral sternal border (medial)
Understanding lymphatic flow patterns determines surgical staging and treatment decisions:
| Drainage Route | Percentage | Primary Nodes | Clinical Significance | |---|---|---|---|---| | Axillary | 75% | Levels I-III | Primary staging site | | Internal mammary | 20% | Parasternal | Often missed, affects prognosis | | Posterior intercostal | 3% | Posterior mediastinal | Rare but aggressive spread | | Contralateral | 1% | Opposite breast | Advanced disease marker | | Supraclavicular | 1% | Level IV | Stage III disease |* Axillary Level Classification
⭐ Clinical Pearl: 97% of breast lymphatic drainage flows to axillary nodes first, making sentinel lymph node biopsy accurate for staging in T1-T2 tumors without clinical adenopathy
Surgical success depends on preserving critical neurovascular structures:
Arterial Supply Network
Venous Drainage Patterns
💡 Master This: The long thoracic nerve (nerve to serratus anterior) runs 2cm posterior to the midaxillary line - injury causes winged scapula in 2-5% of axillary dissections

📌 Remember: SALT for axillary nerve injuries - Serratus anterior (long thoracic), Axillary nerve, Latissimus dorsi (thoracodorsal), Thoracic nerve (medial pectoral)
Understanding these anatomical relationships transforms surgical decision-making from memorized steps to logical, anatomy-based interventions that optimize outcomes while minimizing complications.
The breast responds to sophisticated hormonal control systems that determine both physiological function and pathological risk:
Estrogen Signaling Pathways
Progesterone Response Systems
⭐ Clinical Pearl: Triple-negative breast cancer (ER-/PR-/HER2-) represents 15-20% of cases but accounts for disproportionate mortality due to lack of targeted therapy options
Understanding cell cycle regulation reveals how normal breast tissue transforms into malignancy:
💡 Master This: Ki-67 proliferation index >20% indicates aggressive tumor biology and predicts response to chemotherapy in hormone receptor-positive disease
The breast maintains sophisticated immune monitoring systems that influence both cancer development and treatment response:
| Immune Marker | Normal Range | Cancer Significance | Treatment Implications |
|---|---|---|---|---|
| CD8+ T cells | 15-25% | Higher = better prognosis | Predicts immunotherapy response |
| Regulatory T cells | 5-10% | Higher = worse prognosis | Immunosuppressive environment |
| NK cells | 10-20% | Decreased in cancer | Adoptive transfer potential |
| Dendritic cells | 2-5% | Maturation impaired | Vaccine development target |
| Myeloid cells | Variable | M2 polarization = poor outcome | Repolarization strategies |
📌 Remember: TILS for immune prognostic factors - Tumor-infiltrating lymphocytes, Interferon signaling, Lymphocyte activation, Stromal immune response
Cancer cells undergo fundamental metabolic changes that create therapeutic vulnerabilities:
Warburg Effect Implementation
Lipid Metabolism Alterations
⭐ Clinical Pearl: Metformin use in diabetic patients with breast cancer shows 25-30% reduction in cancer-specific mortality through AMPK pathway activation and mTOR inhibition
These physiological control mechanisms reveal how normal breast function becomes dysregulated in disease states, providing the foundation for understanding both preventive strategies and therapeutic interventions that target specific molecular pathways.
Master clinicians recognize specific presentation patterns that immediately narrow differential diagnoses:
Age-Stratified Presentation Patterns
Physical Examination Red Flags
📌 Remember: BREAST examination sequence - Bilateral inspection, Regional lymph nodes, Examination supine, Assess nipple discharge, Systematic palpation, Thorough documentation
Systematic imaging interpretation creates reproducible diagnostic accuracy:
| Imaging Modality | Sensitivity | Specificity | Best Use Case | Limitations |
|---|---|---|---|---|
| Mammography | 85-90% | 90-95% | Screening >40 years | Dense breast tissue |
| Ultrasound | 95-99% | 80-85% | Palpable masses | Operator dependent |
| MRI | 95-99% | 70-80% | High-risk screening | High false positive rate |
| Tomosynthesis | 90-95% | 92-97% | Dense breasts | Limited availability |
| PET-CT | 85-95% | 90-95% | Metastatic staging | Poor for small lesions |
⭐ Clinical Pearl: Concordance assessment is critical - if imaging shows BI-RADS 4-5 but pathology shows benign results, surgical consultation required due to sampling error risk of 2-10%
Understanding tissue patterns guides surgical planning and adjuvant therapy decisions:
Invasive Carcinoma Subtypes
In Situ Carcinoma Management

💡 Master This: Lymphovascular invasion (LVI) presence increases local recurrence risk by 2-3 fold and distant metastasis risk by 1.5-2 fold, influencing decisions about adjuvant chemotherapy in node-negative disease
Modern breast surgery integrates molecular characteristics that determine both prognosis and treatment selection:
📌 Remember: LUMPS for molecular classification - Luminal A (best prognosis), Unspecified (luminal B), Malignant HER2+ (targeted therapy), Poor prognosis (triple-negative), Special testing (BRCA)
These pattern recognition frameworks transform complex clinical scenarios into systematic approaches that ensure appropriate surgical intervention while avoiding both under-treatment and over-treatment of breast disease.

Systematic comparison of key differentiating features enables accurate clinical decision-making:
| Feature | Benign Lesions | High-Risk Lesions | Invasive Cancer | Management Impact |
|---|---|---|---|---|
| Growth Pattern | Well-circumscribed | Atypical proliferation | Infiltrative borders | Surgical margins |
| Imaging Characteristics | Round/oval masses | Variable enhancement | Spiculated/irregular | Biopsy approach |
| Hormone Sensitivity | Cyclical changes | Increased ER expression | Variable receptor status | Medical therapy |
| Age Distribution | Younger patients | Perimenopausal | All ages, peak 50-70 | Screening protocols |
| Recurrence Risk | <1% malignant transformation | 15-25% cancer risk | 100% without treatment | Follow-up intensity |
⭐ Clinical Pearl: Papillary lesions on core biopsy have 15-25% upgrade rate to malignancy at surgical excision, making complete removal mandatory regardless of imaging concordance
Understanding which lesions require surgical intervention versus observation prevents both over-treatment and missed cancers:
💡 Master This: Concordance triangle - clinical findings, imaging characteristics, and pathology results must all align; discordance in any component mandates surgical consultation and possible re-biopsy
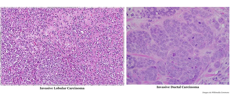
Different invasive cancer subtypes require tailored surgical approaches and have distinct prognostic implications:
Invasive Ductal Carcinoma Variants
Special Type Carcinomas
| Cancer Subtype | 5-Year Survival | Multifocality Risk | Chemotherapy Indication | Surgical Considerations |
|---|---|---|---|---|
| Tubular | >95% | Low (5-10%) | Rarely indicated | Wide excision sufficient |
| Mucinous (pure) | 90-95% | Low (10-15%) | Age-dependent | Standard margins |
| Invasive lobular | 85-90% | High (20-40%) | Standard criteria | Consider MRI |
| Micropapillary | 70-80% | High (30-50%) | Usually indicated | Aggressive surgery |
| Inflammatory | 40-50% | N/A (diffuse) | Always indicated | Neoadjuvant approach |
Understanding margin adequacy prevents both local recurrence and unnecessary re-operations:
Invasive Cancer Margin Standards
DCIS Margin Requirements
⭐ Clinical Pearl: Oncoplastic techniques allow wider excisions while maintaining cosmetic outcomes, reducing re-excision rates from 20-25% to <10% in experienced hands
These discrimination frameworks enable surgeons to make evidence-based decisions that optimize oncologic outcomes while minimizing patient morbidity and psychological distress from over-treatment.
Systematic treatment selection optimizes outcomes while minimizing over-treatment:
Breast Conservation Therapy Criteria
Mastectomy Indications
⭐ Clinical Pearl: Neoadjuvant chemotherapy converts 30-40% of mastectomy candidates to breast conservation eligibility while providing in vivo chemosensitivity assessment
Reconstruction timing and technique selection requires integration of multiple patient and treatment factors:
| Reconstruction Type | Success Rate | Complications | Best Candidates | Contraindications |
|---|---|---|---|---|
| Immediate Implant | 85-90% | 15-20% | Non-smokers, no radiation | Active smoking, radiation |
| Delayed Implant | 90-95% | 10-15% | Post-radiation patients | Insufficient tissue |
| Autologous (DIEP) | 95-98% | 20-25% | Adequate donor tissue | Vascular disease |
| Latissimus Dorsi | 90-95% | 15-20% | Failed implant reconstruction | Prior back surgery |
| No Reconstruction | N/A | 0% | Patient preference | None |

💡 Master This: Radiation therapy increases implant complications by 2-3 fold, making autologous reconstruction preferred in patients requiring post-mastectomy radiation
Surgical decisions must integrate with systemic therapy planning to optimize overall treatment outcomes:
Chemotherapy Timing Considerations
Radiation Therapy Coordination
| Treatment Sequence | Indication | Timeline | Outcome Benefit |
|---|---|---|---|
| Surgery → Chemo → Radiation | Standard adjuvant | 6-8 weeks between | Baseline approach |
| Chemo → Surgery → Radiation | Neoadjuvant candidates | 3-4 months pre-op | Downstaging, pCR assessment |
| Surgery → Radiation → Chemo | Elderly, comorbidities | Immediate post-op | Reduced systemic toxicity |
| Chemo → Surgery → Chemo | Dose-dense protocols | Split chemotherapy | Investigational approaches |
Evidence-based quality measures guide treatment decisions and institutional performance:
Surgical Quality Indicators
Long-term Outcome Measures
⭐ Clinical Pearl: Multidisciplinary team coordination improves treatment adherence by 15-20% and reduces time to treatment initiation by 25-30% compared to sequential consultations
These treatment frameworks ensure that surgical decisions align with evidence-based guidelines while maintaining flexibility for individual patient circumstances and preferences.
Understanding hereditary cancer syndromes transforms surgical decision-making from reactive to predictive medicine:
BRCA1/BRCA2 Mutation Management
Emerging Genetic Syndromes

⭐ Clinical Pearl: Radiation therapy in TP53 mutation carriers increases second malignancy risk by 5-10 fold, making mastectomy preferred over breast conservation in Li-Fraumeni syndrome
Coordinating cancer treatment with reproductive planning requires sophisticated timing and technique integration:
Fertility Preservation Options
Treatment Timing Coordination
| Age Group | Fertility Priority | Recommended Approach | Success Rates | Time Requirements |
|---|---|---|---|---|
| <25 years | High | Oocyte + tissue preservation | 60-70% | 2-3 weeks |
| 25-35 years | Moderate-High | Oocyte cryopreservation | 40-50% | 2 weeks |
| 35-40 years | Moderate | Embryo preferred | 20-30% | 2-3 weeks |
| >40 years | Low | Case-by-case | <10% | Individual decision |
💡 Master This: Chemotherapy-induced amenorrhea occurs in >90% of women >40 years and 20-30% of women <30 years, making fertility preservation counseling mandatory for all reproductive-age patients
Coordinating reconstruction with oncologic treatment requires understanding how each component affects the others:
Radiation-Reconstruction Interactions
Oncoplastic Surgery Integration

📌 Remember: RADIO for reconstruction planning - Radiation effects, Autologous preferred, Delayed if uncertain, Immediate if no radiation, Oncoplastic alternatives
Long-term survivorship planning begins at diagnosis and continues throughout treatment:
Surveillance Protocol Development
Late Effects Management
| Survivorship Issue | Incidence | Monitoring Schedule | Intervention Options |
|---|---|---|---|
| Lymphedema | 15-20% | Annual assessment | Physical therapy, compression |
| Cardiac dysfunction | 5-10% | ECHO/MUGA q6-12mo | Cardio-oncology referral |
| Bone loss | 20-30% | DEXA q1-2 years | Bisphosphonates, calcium |
| Cognitive changes | 20-30% | Symptom assessment | Cognitive rehabilitation |
| Sexual dysfunction | 40-60% | Annual screening | Counseling, medical therapy |
These integration frameworks ensure that breast surgery serves as the coordinating center for comprehensive cancer care that addresses not only immediate treatment needs but also long-term survivorship and quality of life optimization.
Master these critical numerical thresholds that guide every major breast surgery decision:
Diagnostic Thresholds
Surgical Decision Thresholds
📌 Remember: MARGINS for surgical adequacy - Malignant (no ink), Atypical (2mm DCIS), Re-excision (<20%), Guidelines (evidence-based), Invasive (clear), Negative predictive value, Standard protocols
The 60-Second Breast Surgery Assessment:
Clinical Evaluation (15 seconds)
Imaging Integration (15 seconds)
Pathology Correlation (15 seconds)
Treatment Planning (15 seconds)
⭐ Clinical Pearl: The 4-Question Breast Surgery Framework - (1) What is it? (diagnosis), (2) Where is it? (staging), (3) How aggressive? (biology), (4) What does patient want? (shared decision-making)
| Clinical Scenario | Key Finding | Immediate Action | Success Rate |
|---|---|---|---|
| Bloody nipple discharge | Unilateral, single duct | Ductography/MRI | 85-90% diagnostic yield |
| Palpable mass + negative imaging | <30 years old | Ultrasound-guided biopsy | 95% sensitivity |
| BRCA+ patient | Risk-reducing surgery | Genetic counseling | >90% risk reduction |
| Positive margins | Invasive cancer | Re-excision vs mastectomy | 80-85% clear margins |
| Lymphedema symptoms | Post-axillary dissection | Physical therapy referral | 70-80% improvement |
Inflammatory Breast Cancer Recognition:
Pregnancy-Associated Breast Cancer:
💡 Master This: URGENT breast surgery scenarios - Unilateral bloody discharge, Rapid skin changes, Genetic high-risk, Enlarged lymph nodes, New mass in pregnancy, Triple assessment discordance
Pre-operative Optimization:
Intraoperative Excellence:
Post-operative Monitoring:
📌 Remember: EXCELLENCE in breast surgery - Evidence-based decisions, Xcellent communication, Coordinated care, Ethical practice, Lifelong learning, Low complications, Empathetic approach, Navigate complexity, Continuous improvement, Exceptional outcomes
This clinical mastery arsenal provides the systematic framework and rapid-reference tools necessary for delivering consistently excellent breast surgical care across the full spectrum of benign and malignant breast disease.
Sign up for free to access the full lesson, plus unlimited questions, flashcards, AI-powered notes, and more.
CONTINUE READING — FREEor get the app
Have doubts about this lesson?
Ask Rezzy, your AI Study Mate, to explain anything you didn't understand
Test your understanding with these related questions
A 33-year-old woman comes to the physician 1 week after noticing a lump in her right breast. Fifteen years ago, she was diagnosed with osteosarcoma of her left distal femur. Her father died of an adrenocortical carcinoma at the age of 41 years. Examination shows a 2-cm, firm, immobile mass in the lower outer quadrant of the right breast. A core needle biopsy of the mass shows adenocarcinoma. Genetic analysis in this patient is most likely to show a defect in which of the following genes?