Epidemiology & Presentation - The Silver Blues
- Prevalence: 1-5% in community, but ↑↑ to 15-35% in primary care & nursing homes.
- Often underdiagnosed, presenting with somatic complaints (pain, fatigue, constipation) or cognitive deficits.
- Atypical features are common: anxiety, irritability, and anhedonia may be more prominent than overt sadness.
- Cognitive changes ("pseudodementia") are frequent, affecting attention and executive function.

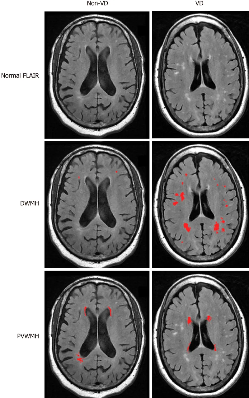
⭐ Late-onset depression (>60 y/o) has a stronger association with underlying cerebrovascular disease ("vascular depression") than early-onset depression.
Diagnostics & Comorbidities - The Great Masquerade
- Presentation often atypical: Less sadness, more apathy, anhedonia, or irritability.
- Pseudodementia (Depressive Cognition):
- Patient complains of memory loss, often with "I don't know" answers.
- Cognitive symptoms improve with antidepressant treatment.
- Contrasts with dementia's insidious onset and attempts to conceal deficits.
- Somatic Complaints are Common:
- Vague pain, fatigue, constipation, sleep disturbances.
- Often the primary presenting complaint, masking the mood disorder.
- Screening Tools:
- Geriatric Depression Scale (GDS-15): Score >5 suggests depression.
- PHQ-9 is also valid.
- High Comorbidity:
- Dementia (Alzheimer's, Vascular)
- Cardiovascular disease & Stroke
- Chronic pain & Arthritis
⭐ Vascular Depression Hypothesis: Late-life depression, especially with significant apathy and executive dysfunction, is often linked to underlying cerebrovascular disease. MRI may show white matter hyperintensities.

Pharmacotherapy - Start Low, Go Slow
-
Guiding Principle: Initiate therapy at 50% of the standard adult dose. Increase dosage gradually over weeks, monitoring for side effects and therapeutic response.
-
First-Line: SSRIs
- Best tolerated; preferred due to favorable side-effect profile.
- Examples: Sertraline, Escitalopram, Citalopram.
- ⚠️ Citalopram Dose Cap: Do not exceed 20 mg/day in patients >60 years due to risk of QTc prolongation.
-
Alternative/Adjunctive Agents
- Mirtazapine: Consider for patients with significant insomnia and weight loss.
- Bupropion: Good for apathy and psychomotor slowing; contraindicated in seizure disorders.
- SNRIs: Venlafaxine/Duloxetine are effective but require blood pressure monitoring.
-
Avoid (Beers Criteria)
- TCAs (e.g., Amitriptyline): High burden of anticholinergic, antihistaminic, and antiadrenergic side effects (confusion, orthostasis).
⭐ Exam Favorite: SSRI-induced hyponatremia (via SIADH) is a critical adverse effect in the elderly. Monitor sodium levels at baseline and within the first month of initiation.

Non-Pharm & ECT - Beyond the Pill
- Psychotherapy: Foundational.
- Supportive, problem-solving, cognitive-behavioral (CBT), and interpersonal (IPT) therapies are effective.
- Reminiscence therapy can be beneficial.
- Social Interventions: Crucial for support.
- Group therapy, family involvement, and community programs (e.g., senior centers).
- Electroconvulsive Therapy (ECT): Gold standard for severe cases.
- Indications: Treatment-resistance, psychotic features, catatonia, acute suicidality, or food refusal leading to dehydration.
- Side Effects: Headache, nausea, transient anterograde/retrograde amnesia.
⭐ Exam Favorite: ECT is the most effective and rapidly acting antidepressant, especially for severe geriatric depression with psychotic features. It is considered safe in older adults, including those with cardiovascular disease, with appropriate management.

High-Yield Points - ⚡ Biggest Takeaways
- Late-life depression often presents with somatic complaints like pain and fatigue, not just sadness.
- It is a major risk factor for developing cognitive decline and dementia.
- Pseudodementia from depression is reversible; patients often say "I don't know" to cognitive questions.
- SSRIs are first-line, but always "start low, go slow" with dosing in the elderly.
- ECT is a safe and effective option for severe, psychotic, or treatment-refractory depression.
- Older, white males have the highest suicide risk and must be carefully screened.
Unlock the full lesson and continue reading
Signup to continue reading this lesson and unlimited access questions, flashcards, AI notes, and more