Surfactant Basics - The Tension Tamer
- Function: A complex of lipids & proteins that ↓ surface tension in alveoli, preventing collapse (atelectasis) and ↑ pulmonary compliance.
- Mechanism: Disrupts the hydrogen bonds between water molecules. According to the Law of Laplace ($P = 2T/r$), by decreasing tension (T), surfactant lowers the pressure (P) needed to keep small alveoli open.
- Synthesis:
- Produced by Type II pneumocytes and stored in lamellar bodies.
- Key component: Dipalmitoylphosphatidylcholine (DPPC).
- Begins at ~24-28 weeks gestation; mature levels by ~35 weeks.
⭐ Fetal lung maturity is assessed via the Lecithin-to-Sphingomyelin (L/S) ratio in amniotic fluid; a ratio >2:1 indicates maturity. Corticosteroids can accelerate production.

Synthesis & Secretion - The Type II Hustle
- Producers: Synthesized by Type II pneumocytes.
- Composition: Primarily phospholipids, with Dipalmitoylphosphatidylcholine (DPPC) being the most crucial component. Also contains surfactant proteins (SP-A, B, C, D).
- Synthesis & Storage:
- Precursors (choline, fatty acids, glycerol) are assembled in the ER.
- Packaged into lamellar bodies (storage granules), which appear foamy on microscopy.
- Secretion & Formation:
- Lamellar bodies are released into the alveolar space via exocytosis.
- They unravel to form tubular myelin, which then creates the final surfactant film at the air-liquid interface.
- Regulation:
- Stimulated by: Corticosteroids, Thyroxine, β-adrenergic agonists.
- Inhibited by: Insulin.
⭐ Fetal lung maturity is assessed by the Lecithin-to-Sphingomyelin (L/S) ratio in amniotic fluid. A ratio > 2:1 indicates maturity. Corticosteroids (e.g., Betamethasone) are administered to mothers at risk of premature delivery to accelerate fetal surfactant production.

Function & Physics - Bubble Trouble Buster
- Reduces Surface Tension: A lipoprotein complex that disrupts the cohesive forces between water molecules lining alveoli.
- Prevents Atelectasis (Collapse): By lowering surface tension, it equalizes pressure between small and large alveoli, preventing collapse during expiration. Follows the Law of Laplace: $P = 2T/r$. Surfactant ↓ T (tension), stabilizing P.
- Increases Compliance: Lungs inflate more easily.
- Keeps Alveoli Dry: Opposes fluid transudation from capillaries.

- Synthesis & Composition
- Produced by Type II pneumocytes; stored in lamellar bodies.
- Stimulated by fetal cortisol & thyroxine.
⭐ High-Yield: The primary component is dipalmitoylphosphatidylcholine (DPPC). Production begins ~20 weeks gestation but is only sufficient after ~35 weeks, a critical factor in Neonatal Respiratory Distress Syndrome (NRDS).
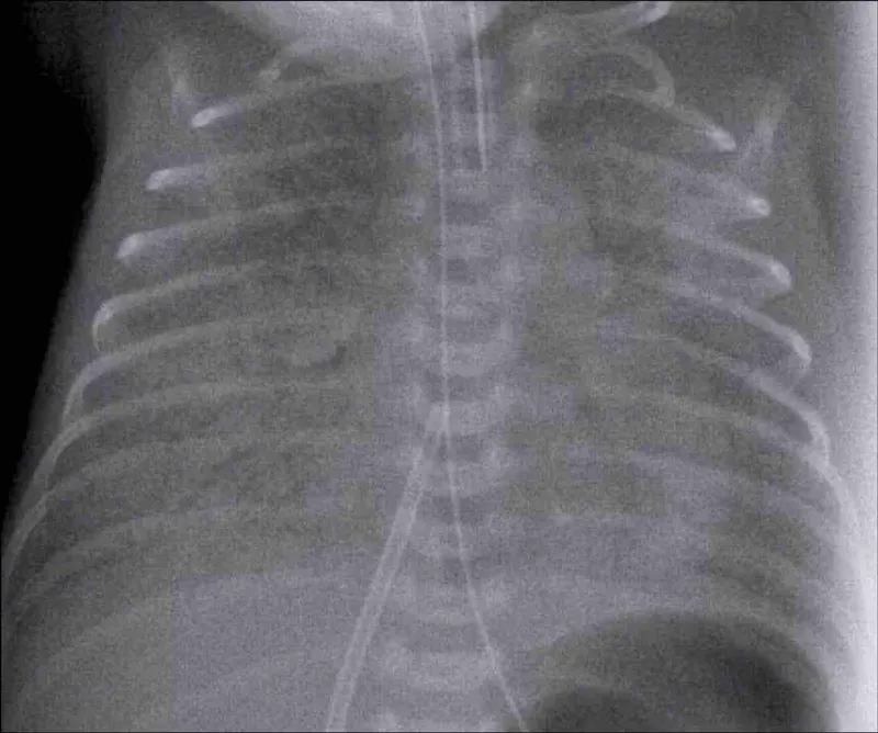
Clinical Correlates - Code Blue Babies
- Neonatal Respiratory Distress Syndrome (NRDS): Surfactant deficiency in premature infants (born < 35 weeks gestation) due to immature Type II pneumocytes.
- Pathophysiology: ↓ Surfactant → ↑ alveolar surface tension → widespread atelectasis (alveolar collapse) → ↓ lung compliance & functional residual capacity (FRC) → V/Q mismatch & severe hypoxemia.
- Clinical Findings: Presents within minutes to hours of birth with tachypnea, expiratory grunting, and nasal flaring.
- Management:
- Antenatal: Corticosteroids (e.g., betamethasone) to accelerate fetal lung maturity.
- Postnatal: Exogenous surfactant administered via endotracheal tube.

⭐ The lecithin-to-sphingomyelin (L/S) ratio in amniotic fluid assesses fetal lung maturity. An L/S ratio < 2.0 is predictive of NRDS.
High‑Yield Points - ⚡ Biggest Takeaways
- Surfactant, primarily dipalmitoylphosphatidylcholine (DPPC), is synthesized by Type II pneumocytes.
- It reduces alveolar surface tension, which prevents atelectasis (collapse) and increases lung compliance.
- Per LaPlace's Law (P=2T/r), its effect is greater in smaller alveoli, preventing their collapse.
- Synthesis is stimulated by cortisol and thyroxine; steroids are often administered before premature delivery.
- Deficiency is the cause of Neonatal Respiratory Distress Syndrome (NRDS).
Unlock the full lesson and continue reading
Signup to continue reading this lesson and unlimited access questions, flashcards, AI notes, and more