Coronary Artery Abnormalities - The Artery Attack
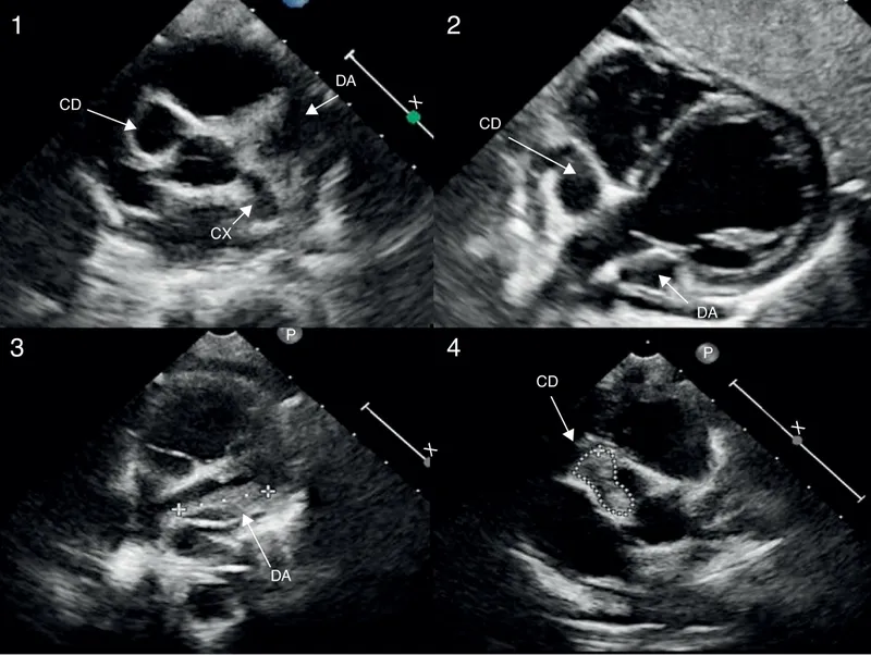
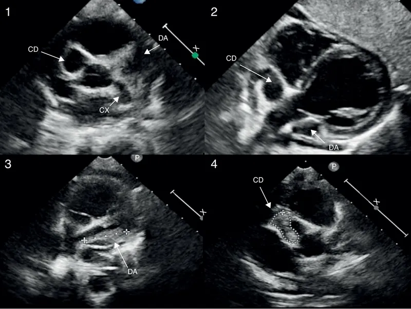
- The most critical long-term complication of Kawasaki Disease, affecting 15-25% of untreated children.
- Timely IVIG therapy dramatically reduces the risk to <5%.
- Pathology involves necrotizing arteritis, destroying the tunica media and internal elastic lamina, leading to aneurysm formation.

- AHA Classification (by Z-score):
- No involvement: Z-score < 2
- Dilation only: Z-score 2 to < 2.5
- Small aneurysm: Z-score ≥ 2.5 to < 5
- Medium aneurysm: Z-score ≥ 5 to < 10
- Giant aneurysm: Z-score ≥ 10 or absolute dimension > 8 mm
⭐ Giant aneurysms (>8 mm) have the worst prognosis, with a ~50% risk of thrombosis or stenosis, potentially leading to myocardial infarction.
- Major Long-Term Risks:
- Stenosis and occlusion from progressive myointimal proliferation.
- Thrombosis within the aneurysm.
- Myocardial infarction & sudden death.
Long-Term Management - The Lifelong Lookout
-
Goal: Prevent thrombosis & stenosis in affected coronary arteries.
-
Risk Stratification is key, based on echocardiography findings during the subacute phase.
-
Pharmacotherapy:
- Low-Dose Aspirin: 3-5 mg/kg/day.
- Dual Antiplatelet Therapy (DAPT): Aspirin + Clopidogrel, often post-stenting.
- Anticoagulation: Warfarin (INR 2.0-2.5) or LMWH for giant aneurysms.
⭐ Exam Favourite: The highest risk of myocardial infarction is within the first year after onset, particularly in patients with giant aneurysms.

Adverse Events & Prognosis - The Danger Zone
- Primary Sequela: Coronary Artery Aneurysms (CAA).
- Can lead to thrombosis, stenosis, & myocardial infarction (MI).
- High-Risk Groups for CAA:
- Treatment delay >10 days.
- Age <1 year.
- Incomplete/atypical presentation.
- Prognosis by Aneurysm Size:
- Small (<5 mm): High regression rate.
- Medium (5-8 mm): Variable regression.
- ⚠️ Giant (>8 mm): Lowest regression; ~50% risk of stenosis/thrombosis.
⭐ The most common cause of death in long-term follow-up is ischemic heart disease/MI from a thrombosed aneurysm.

High‑Yield Points - ⚡ Biggest Takeaways
- Coronary artery aneurysms (CAA) are the most feared long-term complication.
- Risk of CAA is highest in infants <6 months and with delayed IVIG treatment (>10 days).
- Giant aneurysms (>8 mm) carry the worst prognosis, with a high risk of thrombosis or stenosis.
- Lifelong follow-up with echocardiography is mandatory for patients with coronary involvement.
- Patients with giant aneurysms often require lifelong antiplatelet and/or anticoagulant therapy.
- Increased lifetime risk of premature atherosclerotic cardiovascular disease.
Unlock the full lesson and continue reading
Signup to continue reading this lesson and unlimited access questions, flashcards, AI notes, and more