Kawasaki Disease - The Fiery Vasculitis
- Acute febrile illness causing medium-vessel vasculitis, primarily in children < 5 years.
- Diagnosis: Fever for ≥ 5 days plus ≥ 4 of 5 clinical criteria.
- 📌 Mnemonic: CRASH & Burn
- Conjunctivitis (bilateral, non-exudative)
- Rash (polymorphous)
- Adenopathy (cervical, >1.5 cm)
- Strawberry tongue, lip fissures
- Hand/foot erythema & edema
- Most serious complication: Coronary artery aneurysms.
- Treatment: IV Immunoglobulin (IVIG) + high-dose Aspirin.
⭐ IVIG (2 g/kg) given within 10 days of fever onset significantly reduces the risk of coronary artery aneurysms.

Diagnosis - Cracking the CRASH Code
- Primary Criterion: Fever ≥ 5 days (high-spiking, unresponsive to antibiotics).
- Principal Clinical Criteria (≥ 4 of 5):
📌 CRASH Mnemonic
- Conjunctivitis: Bilateral, non-exudative, limbic-sparing.
- Rash: Polymorphous (maculopapular, morbilliform), non-vesicular. Perineal erythema & desquamation is characteristic.
- Adenopathy: Cervical, usually unilateral, >1.5 cm.
- Strawberry Tongue & Lip Changes: Erythema, fissuring of lips, oropharyngeal erythema.
- Hand & Foot Changes: Acute erythema/edema; subacute periungual desquamation.

⭐ In suspected cases not meeting full criteria (Incomplete Kawasaki), persistent unexplained fever with ↑CRP/ESR warrants echocardiography to rule out coronary artery changes.
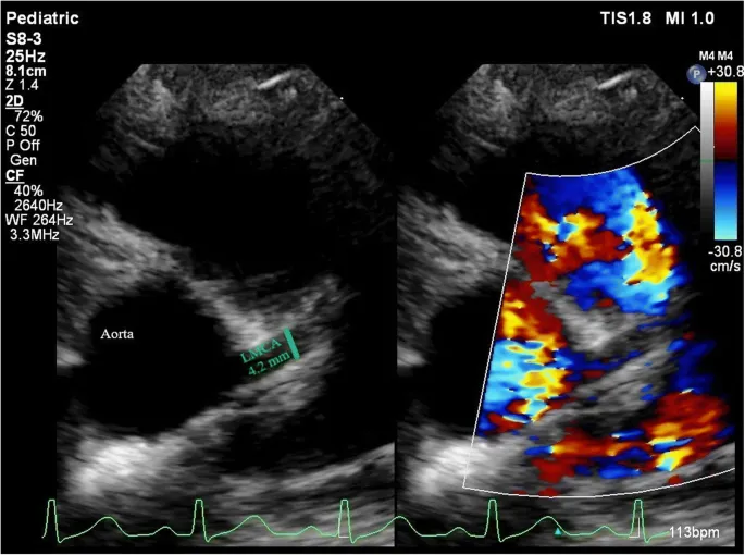
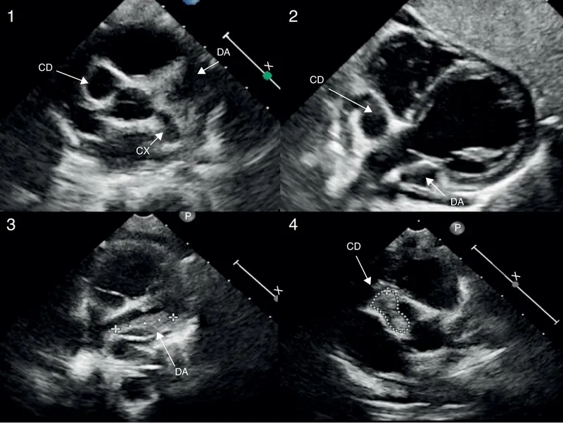
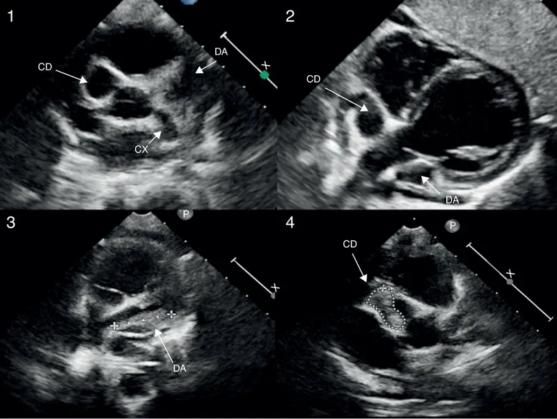
Coronary Aneurysms - The Heart of the Matter

- Most feared complication, leading to thrombosis, stenosis, & myocardial infarction (MI).
- Risk ↑ with treatment delay >10 days, male sex, age <1 yr.
- Incidence: 15-25% (untreated) vs. <5% (treated with IVIG).
- Diagnosis & monitoring via Echocardiography at baseline, 1-2 weeks, and 4-6 weeks after treatment.
- Classified by z-scores (internal diameter):
- Small: z ≥2.5 to <5
- Medium: z ≥5 to <10
- Giant: z ≥10 or >8 mm diameter.
⭐ Giant aneurysms have the highest risk of thrombosis/stenosis (~50%) and mandate long-term anticoagulation.
Management & Follow-up - Dousing the Flames
- Primary Goal: Prevent Coronary Artery Aneurysms (CAA).
- Acute Phase (within 10 days):
- IVIG: Single dose of 2 g/kg over 10-12 hrs.
- Aspirin: High dose (80-100 mg/kg/day) until afebrile for 48-72 hrs.
- Convalescent Phase:
- Low-dose Aspirin (3-5 mg/kg/day) for 6-8 weeks if no CAA. Lifelong if CAA present.

⭐ In Kawasaki disease, high-dose aspirin is a cornerstone of initial therapy. Its anti-inflammatory effect is prioritized over the risk of Reye's syndrome, especially in febrile children.
High-Yield Points - ⚡ Biggest Takeaways
- Kawasaki Disease is the leading cause of acquired heart disease in children in most developed nations.
- The most feared complication is coronary artery aneurysms (CAA), seen in 15-25% of untreated children.
- Risk is highest in infants <1 year, those with incomplete presentation, and with delayed IVIG treatment.
- Echocardiography is the gold standard for diagnosis and serial monitoring of coronary arteries.
- Giant aneurysms (>8 mm or Z-score ≥10) carry the highest risk of thrombosis and stenosis.
Unlock the full lesson and continue reading
Signup to continue reading this lesson and unlimited access questions, flashcards, AI notes, and more