Pathophysiology - Heart Under Fire
- Immune-mediated vasculitis targeting medium-sized arteries, with a strong predilection for coronary arteries.
- Involves infiltration of neutrophils, lymphocytes, and plasma cells, leading to destruction of the tunica media and internal elastic lamina.
- This structural damage results in weakening of the vessel wall, predisposing to coronary artery aneurysms (CAA), thrombosis, and stenosis.
- Myocarditis is also common in the acute phase.
⭐ The inflammatory process can lead to giant aneurysms (>8 mm), which have the highest risk of thrombosis.

Coronary Artery Aneurysms (CAA) - Bulging Arteries
- Most feared complication; necrotizing arteritis weakens the coronary artery wall, leading to dilation and aneurysm formation.
- Risk: Untreated ≈ 25%; with timely IVIG, risk falls to <5%.
- Classification (AHA guidelines): Based on internal lumen diameter z-scores (normalized for body surface area).
- Dilation: z-score 2 to <2.5
- Small Aneurysm: z-score ≥2.5 to <5
- Medium Aneurysm: z-score ≥5 to <10
- Large/Giant Aneurysm: z-score ≥10
⭐ Giant aneurysms (z-score ≥10 or absolute dimension >8 mm) carry the highest risk of thrombosis, stenosis, and subsequent myocardial infarction. Lifelong antiplatelet and anticoagulation therapy is often required.
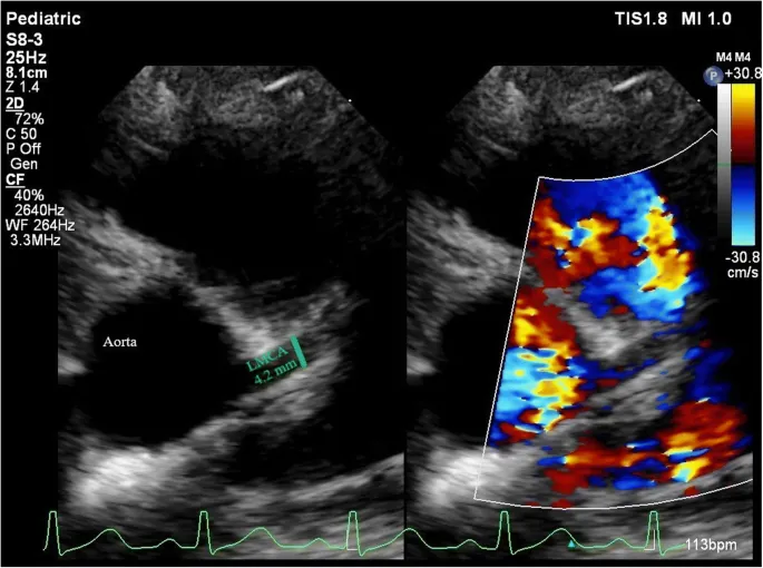
Echocardiographic Evaluation - Heart Detective Work
-
Primary Goal: Detect coronary artery abnormalities (CAA), primarily aneurysms, and assess myocardial function.
-
Key Findings to Assess:
- Coronary Arteries: Dilatation, aneurysms (saccular/fusiform), thrombosis. Measured in LAD, RCA, LCx.
- Myocardium: ↓ Ejection fraction (myocarditis).
- Valves: Valvular regurgitation (mitral > aortic).
- Pericardium: Pericardial effusion.
-
Z-Scores (Body Surface Area-Adjusted):
- No dilatation: Z-score < 2
- Dilatation only: Z-score ≥ 2 to < 2.5
- Small aneurysm: Z-score ≥ 2.5 to < 5
- Medium aneurysm: Z-score ≥ 5 to < 10
- Large/Giant aneurysm: Z-score ≥ 10
⭐ Giant aneurysms (Z-score ≥ 10 or absolute dimension >8 mm) carry the highest risk of thrombosis and stenosis.

Echo Timing Algorithm:
Risk Stratification & Management - Clot Control Crew
- Goal: Prevent coronary artery thrombosis based on aneurysm severity (Z-score).
- Initial Therapy (All): Low-dose Aspirin (3-5 mg/kg/day) after fever subsides for 48h.

⭐ Giant Aneurysms (absolute diameter >8 mm or Z-score ≥10) carry the highest risk of thrombosis and myocardial infarction. Long-term anticoagulation is mandatory.
High‑Yield Points - ⚡ Biggest Takeaways
- Coronary artery aneurysms (CAA) are the most feared complication of Kawasaki disease, potentially leading to thrombosis or stenosis.
- 2D-Echocardiography is the gold standard for diagnosis and monitoring, performed at baseline, 2 weeks, and 6-8 weeks after onset.
- Myocarditis is the most common cardiac manifestation during the acute phase.
- Giant aneurysms (>8 mm or Z-score ≥10) have the highest risk of thrombosis and subsequent myocardial infarction.
- Delayed IVIG administration beyond day 10 of fever significantly ↑ risk of CAA.
Unlock the full lesson and continue reading
Signup to continue reading this lesson and unlimited access questions, flashcards, AI notes, and more