Acute Rheumatic Fever - Heartbreak Fever
- Post-infectious sequel of Group A Strep pharyngitis (Type II HSR). Primarily affects children 5-15 years.
- Diagnosis: 2 Major OR 1 Major + 2 Minor criteria, plus evidence of preceding GAS infection (↑ASO/Anti-DNase B).
- 📌 JONES Criteria (Major):
- Joints: Migratory polyarthritis (large joints).
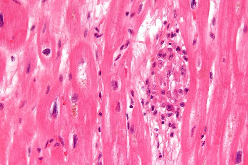
- O (Carditis): Pancarditis. Aschoff bodies are pathognomonic.
- Nodules: Subcutaneous, painless, on extensor surfaces.
- Erythema marginatum: Evanescent, non-pruritic rash with central clearing.
- Sydenham chorea: "St. Vitus' dance," late finding.

⭐ Carditis is the most serious manifestation, and the only one causing permanent damage. The mitral valve is most commonly affected (leading to regurgitation).
- Management: Penicillin + Aspirin. Prophylaxis with Benzathine Penicillin G is crucial.
Post-Streptococcal GN - Sore Throat, Sore Kidney
- Type III HSR triggered by nephritogenic strains of Group A Streptococcus.
- Presents 1-2 weeks after pharyngitis or 3-6 weeks after impetigo.
- Classic triad: periorbital edema, hypertension, and cola-colored urine (hematuria).
- Key labs: ↑ Anti-streptolysin O (ASO) or Anti-DNase B titers, ↓ serum $C_3$ levels.
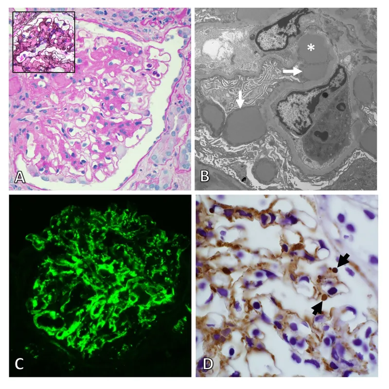
- Kidney Biopsy findings:
- LM: Diffusely hypercellular, proliferative glomeruli.
- IF: Granular "lumpy-bumpy" deposits of IgG & C3.
- EM: Subepithelial electron-dense deposits or "humps".
⭐ Low $C_3$ is the hallmark; it typically normalizes within 6-8 weeks.

Kawasaki Disease - Fiery Vessel Fury
- Acute febrile vasculitis of medium-sized arteries, typically in children < 5 years. Also known as Mucocutaneous Lymph Node Syndrome.
- Diagnosis: Fever for ≥ 5 days + ≥ 4 of the following criteria:
- 📌 CRASH: Conjunctivitis (bilateral, non-exudative), Rash (polymorphous), Adenopathy (unilateral cervical, >1.5 cm), Strawberry tongue & lip fissures, Hand/foot edema, erythema, or desquamation.
- Treatment: High-dose IVIG (2 g/kg) + high-dose Aspirin.
⭐ The most feared complication is coronary artery aneurysms, which are monitored with 2D-Echocardiography.
GBS & HSP - Nerve Tingles, Purple Shingles
- Guillain-Barré (GBS): Acute, ascending, areflexic paralysis. Post-Campylobacter trigger common.
- Patho: Autoimmune demyelination of peripheral nerves.
- CSF: ↑ Protein, normal cells (albuminocytologic dissociation).
- Rx: IVIg or plasmapheresis.
- Henoch-Schönlein Purpura (HSP): IgA-mediated small vessel vasculitis.
- Classic Tetrad: Palpable purpura (buttocks/legs), arthralgia, abdominal pain, hematuria.
- Platelets: Normal.
- Rx: Supportive care. Steroids for severe renal/GI symptoms.
⭐ HSP Nephritis: Major cause of long-term morbidity. Monitor urine for hematuria/proteinuria.

High‑Yield Points - ⚡ Biggest Takeaways
- Acute Rheumatic Fever (ARF) follows streptococcal pharyngitis (not skin infection) and is diagnosed via Jones criteria.
- Post-Streptococcal Glomerulonephritis (PSGN) follows pharyngitis or skin infection, causing a nephritic syndrome with low C3.
- Guillain-Barré Syndrome (GBS) presents as ascending paralysis with areflexia, often post-Campylobacter infection.
- CSF in GBS shows albuminocytologic dissociation (↑ protein, normal cells).
- Kawasaki Disease's primary risk is coronary artery aneurysms; treat with IVIG and aspirin.
- Henoch-Schönlein Purpura (HSP) is an IgA vasculitis causing palpable purpura on the lower limbs.
Unlock the full lesson and continue reading
Signup to continue reading this lesson and unlimited access questions, flashcards, AI notes, and more