Etiology & Pathogenesis - The Primary Insult
- Agent: Mycobacterium tuberculosis, an acid-fast bacillus.
- Transmission: Inhalation of droplet nuclei into lung alveoli.
- Primary Complex Formation:
- Ghon Focus: Initial subpleural caseating granuloma.
- Lymphadenitis: Spread to regional hilar lymph nodes.
- Ghon Complex: Ghon focus + hilar lymphadenitis.
- Immunity: Cell-mediated immunity (CMI) develops in 2-10 weeks, containing the infection (positive TST).
⭐ The Ranke complex is a calcified, healed Ghon complex, representing the most common outcome in immunocompetent hosts.

Clinical Features - A Tale of Two TBs
- Constitutional: Insidious onset of low-grade fever (evening rise), night sweats, weight loss or failure to thrive.
- Pulmonary TB (PTB): Primary complex is often asymptomatic.
- Persistent, non-remitting cough for >2 weeks.
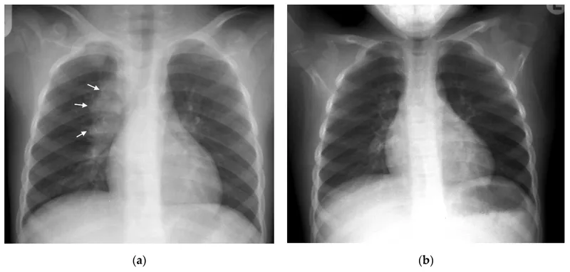
- CXR: Hilar/paratracheal lymphadenopathy is the hallmark.
- Extrapulmonary TB (EPTB): More common in children.
- Lymph Node: Most common. Matted, non-tender cervical nodes (scrofula).
- CNS: Most severe. Tuberculous meningitis (TBM).
- Miliary: Disseminated; "millet seed" on CXR.
⭐ In children, Extrapulmonary TB (EPTB) is more common than in adults. The most frequent site is lymph nodes (tuberculous lymphadenitis), while the most severe form is tuberculous meningitis (TBM).
Diagnosis - The Search Party
-
Screening (Latent TB):
- Tuberculin Skin Test (TST): Induration at 48-72 hrs.
- ≥5 mm: HIV+, recent contact, immunosuppressed.
- ≥10 mm: <5 yrs, chronic illness, malnutrition.
- ≥15 mm: >5 yrs with no risk factors.
- IGRA (Interferon-Gamma Release Assay): Preferred if BCG vaccinated; less reliable <2 yrs.
- Tuberculin Skin Test (TST): Induration at 48-72 hrs.
-
Confirmation (Active Disease):
- Specimen: Gastric lavage/aspirate (x3 days), induced sputum, BAL.
- NAAT: CBNAAT/GeneXpert is the initial test of choice; detects Rifampicin resistance.
- Culture: Gold standard. MGIT (liquid, faster) or LJ medium (solid).
⭐ For paucibacillary pediatric samples (e.g., gastric aspirate), CBNAAT (GeneXpert) offers significantly higher and more rapid detection rates than smear microscopy.

Treatment & Prevention - The Counter-Offensive
- ATT Regimen (Daily, DOTS):
- Intensive Phase (IP): 2 months of HRZE.
- Continuation Phase (CP): 4 months of HRE.
- Extend CP to 10 months for CNS, miliary, or bone TB.
- Drug Dosages (mg/kg/day):
- Isoniazid (H): 10
- Rifampicin (R): 15
- Pyrazinamide (Z): 35
- Ethambutol (E): 20
- 📌 RIPE side effects: Red urine, Isoniazid neuritis, Pyrazinamide hyperuricemia, Ethambutol optic neuritis.

- Prevention:
- BCG Vaccine: At birth. Protects against severe forms (meningitis, miliary).
- Latent TB (LTBI): Isoniazid Preventive Therapy (IPT) for 6 months (10 mg/kg/day).
⭐ Paradoxical Reaction: Clinical/radiological worsening of existing TB lesions or development of new lesions in a patient on ATT who is showing an initial good response. It's an immune reaction, not treatment failure.
High‑Yield Points - ⚡ Biggest Takeaways
- The most common source is a sputum-positive household adult.
- Diagnosis relies on gastric lavage or induced sputum; CBNAAT/Xpert MTB/RIF is the preferred test.
- The primary complex (Ghon focus + hilar lymphadenopathy) is the most common presentation.
- Tuberculous meningitis (TBM) is the most frequent CNS form; CSF shows lymphocytic pleocytosis.
- Standard treatment is a 6-month daily regimen with fixed-dose combinations under NTEP.
- BCG vaccine prevents severe forms like miliary TB and TBM, not primary infection.
Unlock the full lesson and continue reading
Signup to continue reading this lesson and unlimited access questions, flashcards, AI notes, and more