Croup & Epiglottitis - Airway Alarms
- Croup (Laryngotracheobronchitis): Viral (Parainfluenza), age 6 mo-3 yr. Gradual onset with barking cough, inspiratory stridor. X-ray: Steeple sign. Mgt: Steroids, nebulized epinephrine.
- Epiglottitis: Bacterial (H. influenzae), age 2-7 yr. Rapid onset, toxic look, drooling, dysphagia, tripod position. X-ray: Thumb sign. Mgt: Intubation, antibiotics.

⭐ In suspected epiglottitis, do NOT attempt to examine the throat with a tongue depressor; it can precipitate complete airway obstruction.
Bronchiolitis - Wheezy Baby Blues
-
Etiology: Respiratory Syncytial Virus (RSV) is the most common cause (>50%). Primarily affects infants <2 years old, peaking at 3-6 months.
-
Clinical Triad: Presents with coryza, persistent cough, and respiratory distress (tachypnea, retractions, wheezing/crackles).
-
Diagnosis: Primarily clinical. Chest X-ray is not routinely recommended but may show hyperinflation, peribronchial thickening, and atelectasis.
-
💡 Management: Supportive care is key! Oxygen to maintain SpO₂ >92%, hydration, and nasal suctioning. Bronchodilators and corticosteroids are not routinely used.
-
Prevention: Palivizumab monoclonal antibody for high-risk infants (preterm, chronic lung disease).
⭐ RSV is the leading cause of lower respiratory tract infections in infants worldwide, making it a top differential for any wheezy baby.
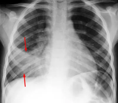
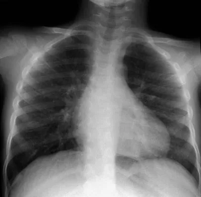
Pediatric Pneumonia - Lungs Under Siege
- Etiology by Age:
- Neonate: GBS, E. coli, Listeria.
- 1-3 mo: Chlamydia trachomatis (staccato cough), RSV.
- 3 mo - 5 yr: S. pneumoniae (most common), H. influenzae.
- >5 yr: Mycoplasma pneumoniae, S. pneumoniae.
- Diagnosis: Based on WHO criteria for fast breathing (tachypnea):
- <2 months: >60/min
- 2-12 months: >50/min
- 1-5 years: >40/min

⭐ Mycoplasma pneumoniae is the leading cause of atypical pneumonia in school-aged children, often called "walking pneumonia."
Pertussis - The 100-Day Cough
- Agent: Bordetella pertussis (Gram-negative coccobacillus).
- Phases:
- Diagnosis: Nasopharyngeal swab for PCR (most sensitive) or culture (gold standard). Classic finding: Absolute lymphocytosis.
- Treatment: Macrolides (Azithromycin). Treat close contacts.
⭐ The classic inspiratory “whoop” is often absent in infants < 6 months; they may present with apnea instead.

High‑Yield Points - ⚡ Biggest Takeaways
- Croup (Laryngotracheobronchitis) is caused by Parainfluenza virus, presenting with a barking cough and steeple sign on X-ray.
- Epiglottitis, a medical emergency, is classically due to H. influenzae and shows a thumb sign on lateral X-ray.
- Bronchiolitis in infants is most commonly caused by RSV, leading to expiratory wheezing.
- The most common cause of typical bacterial pneumonia is Streptococcus pneumoniae.
- Pertussis features a paroxysmal cough with an inspiratory ‘whoop’.
- Diphtheria presents with a greyish pseudomembrane and ‘bull neck’.
Unlock the full lesson and continue reading
Signup to continue reading this lesson and unlimited access questions, flashcards, AI notes, and more