CNS Infections - Brain Under Siege
- Meningitis: Inflammation of meninges (fever, headache, nuchal rigidity).
- Encephalitis: Inflammation of brain parenchyma (altered sensorium, seizures, focal deficits).
- Meningoencephalitis: Overlap of both meningitis and encephalitis.
- Brain Abscess: Focal, encapsulated infection within parenchyma; presents with fever, focal signs, and features of raised ICP. Ring-enhancing lesions on imaging.

⭐ In Tuberculous Meningitis, CSF classically shows a spider-web coagulum (fibrin clot) on standing, with markedly elevated protein and lymphocytic pleocytosis.
Bacterial Meningitis - The Pus Peril
- CSF Analysis: Crucial for diagnosis.
| Feature | Bacterial | Viral | Tubercular (TBM) | Fungal |
|---|---|---|---|---|
| Appearance | Turbid/Purulent | Clear | Cobweb, Fibrin web | Viscous, Clear |
| Cells (/μL) | >1000 (↑↑ PMNs) | <1000 (↑ Lympho) | 100-500 (↑ Lympho) | <500 (↑ Lympho) |
| Protein | ↑↑ (>100 mg/dL) | N / ↑ | ↑↑ (>150 mg/dL) | ↑ |
| Glucose | ↓↓ (<40 mg/dL) | Normal | ↓ (<45 mg/dL) | ↓ |
- **Neonate (<1 mo):** *E. coli*, Group B Strep, *Listeria*. (📌 **GEL**)
- **1 mo - 5 yr:** *S. pneumoniae*, *N. meningitidis*, *H. influenzae*.
- **>5 yrs:** *S. pneumoniae*, *N. meningitidis*.
⭐ Dexamethasone (0.15 mg/kg) is given before or with the first antibiotic dose in children >6 weeks to reduce sensorineural hearing loss, especially in Hib & pneumococcal meningitis.
- Empirical Antibiotic Therapy Flowchart:
TB Meningitis - The Slow Burn
- Onset: Insidious, subacute progression over 2-8 weeks. Prodrome of low-grade fever, malaise, headache.
- Staging (MRC): Stage 1 (Alert), Stage 2 (Lethargic, CN palsies), Stage 3 (Coma, seizures).
- CSF Analysis: Classic triad of ↑ lymphocytes, ↑↑ protein (>100 mg/dL), ↓ glucose (<45 mg/dL). Fibrin web / cobweb coagulum on standing.
- Imaging (CT/MRI): Basal exudates, hydrocephalus, tuberculomas, infarcts.
- Treatment: Anti-tubercular therapy (ATT) + corticosteroids (prednisolone) to reduce inflammation.
⭐ High-Yield: Thick, gelatinous exudates at the base of the brain are pathognomonic, leading to cranial nerve palsies (esp. VI) and obstructive hydrocephalus.

Viral Infections - Ghost In The Machine
- Aseptic Meningitis: Most common viral CNS infection. Predominantly caused by Enteroviruses (Coxsackie, Echovirus) and Mumps.
- CSF: Lymphocytic pleocytosis, normal glucose, sterile on bacterial culture.
- Encephalitis: Inflammation of the brain parenchyma.
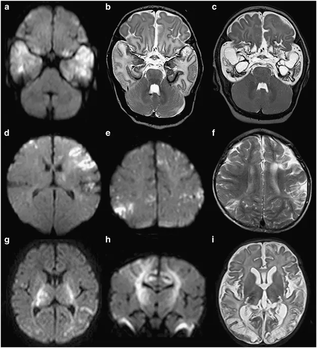
| Feature | Herpes Simplex Encephalitis (HSV-1) | Japanese Encephalitis (JE) |
|---|---|---|
| Clinical | Acute fever, focal seizures, altered sensorium | Parkinsonian rigidity, tremors, mask-like facies |
| CSF | ↑ RBCs, lymphocytic pleocytosis | Similar to aseptic meningitis |
| Imaging | Temporal lobe hemorrhagic necrosis | Thalamic, basal ganglia involvement |

Neonatal Meningitis - A Fragile Start
- Common Pathogens: Group B Strep (S. agalactiae), E. coli, Listeria monocytogenes. 📌 Mnemonic: GEL.
- Clinical Signs: Non-specific and subtle. Includes fever/hypothermia, poor feeding, lethargy, irritability, seizures, or a tense, bulging fontanelle.
- Empirical Treatment: Ampicillin (for Listeria) + Gentamicin (synergy) OR Cefotaxime (better CNS penetration).
⭐ In late-onset meningitis (after 72 hours), Staphylococcus and gram-negatives are more common; consider Vancomycin.
- Neonatal meningitis is caused by GBS, E. coli, & Listeria. In infants/children, it's S. pneumoniae.
- Bacterial CSF: ↑ neutrophils, ↑ protein, ↓ glucose. Viral CSF: ↑ lymphocytes, normal glucose.
- Tuberculous meningitis: Lymphocytic CSF, markedly ↑ protein, ↓ glucose, and cobweb coagulum.
- HSV encephalitis causes hemorrhagic necrosis of the temporal lobes; treat with IV Acyclovir.
- Japanese Encephalitis shows extrapyramidal features and bilateral thalamic lesions.
- Dexamethasone is vital in Hib meningitis to prevent sensorineural hearing loss.
Unlock the full lesson and continue reading
Signup to continue reading this lesson and unlimited access questions, flashcards, AI notes, and more