Initial Approach - Sizing Up the Situation
- History: Perinatal details, parental heights, family puberty timing, systemic illness review.
- Examination: Accurate height (stadiometer), weight, OFC. Plot on a standard growth chart. Look for dysmorphism & check body proportions (U/L segment ratio).
- Mid-Parental Height (MPH) Calculation:
- Boys: $(Father's Ht_{cm} + Mother's Ht_{cm} + 13) / 2$
- Girls: $(Father's Ht_{cm} - 13 + Mother's Ht_{cm}) / 2$
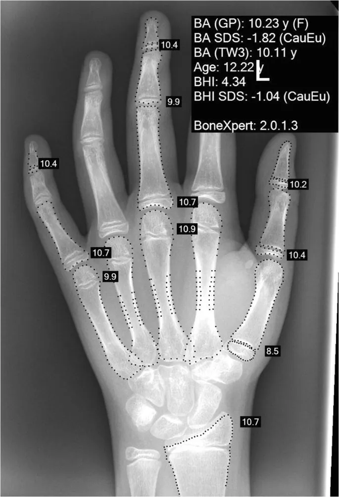
⭐ Bone age (X-ray of left hand & wrist) is the single most useful initial investigation to differentiate between normal variants (Familial Short Stature, Constitutional Delay) and pathological short stature.
Etiology - The Short List
-
Normal Variants (Most common causes)
- Familial Short Stature (FSS): Bone Age (BA) = Chronological Age (CA)
- Constitutional Delay of Growth & Puberty (CDGP): BA < CA
-
Pathologic Causes
- Proportionate
- Systemic Disease: Malnutrition, Celiac, CKD, Cardiac
- Endocrine: Hypothyroidism, GH deficiency, Cushing's
- Intrauterine Growth Retardation (IUGR) / SGA
- Disproportionate (Abnormal Upper/Lower Segment Ratio)
- Skeletal Dysplasias (e.g., Achondroplasia)
- Rickets
- Proportionate
⭐ The single most useful investigation in evaluating short stature is Bone Age estimation.

Investigation - The Measurement Mission
The goal is differentiating normal variants (FSS, CDGP) from pathology. The Bone Age is the most crucial first step.
-
Tier 1: Foundational Tests
- Bone Age: X-ray of left hand & wrist (Greulich-Pyle atlas). The key to diagnosis.
- Basic Labs: CBC, ESR, LFT, KFT, serum electrolytes, urinalysis.
- Endocrine Screen: TSH, free T4.
- Karyotyping: Essential in all girls (r/o Turner's) and dysmorphic boys.
-
Tier 2: Specific Probes
- Growth Hormone Axis: IGF-1, IGFBP-3. Low levels point towards GH deficiency.
⭐ Always screen for Celiac Disease using IgA-TTG antibodies. It is a common, often clinically silent, cause of growth failure in children.

Key Syndromes - Rogues' Gallery
- Turner Syndrome: Karyotype 45,XO; SHOX gene deletion. Webbed neck, shield chest, ↑FSH/LH. Coarctation of aorta is a common cardiac defect.
- Noonan Syndrome: AD (PTPN11 gene). "Male Turner" with normal karyotype. Pulmonary stenosis, pectus carinatum/excavatum.
- Russell-Silver Syndrome (RSS): Severe IUGR, postnatal growth failure. Relative macrocephaly, triangular facies, hemihypertrophy.
- Prader-Willi Syndrome (PWS): Paternal chr 15 deletion. Neonatal hypotonia, almond-shaped eyes, later hyperphagia & obesity.

⭐ SHOX gene deletion (pseudoautosomal region of X & Y) is the common cause of short stature in Turner syndrome.
High‑Yield Points - ⚡ Biggest Takeaways
- Bone age is the single most crucial first step to differentiate between Familial Short Stature (FSS) and Constitutional Delay (CDGA).
- In FSS, Bone Age ≈ Chronological Age; the child follows the mid-parental height trajectory.
- In CDGA, Bone Age < Chronological Age; there is a history of delayed puberty.
- Always perform karyotyping for any girl with unexplained short stature to rule out Turner Syndrome.
- GH stimulation tests (e.g., clonidine, insulin) are the definitive diagnostic for GH deficiency.
- Disproportionate short stature strongly suggests a skeletal dysplasia (e.g., achondroplasia).
Unlock the full lesson and continue reading
Signup to continue reading this lesson and unlimited access questions, flashcards, AI notes, and more