Kidney Quirks - Shape & Size Shenanigans
-
Horseshoe Kidney: Most common fusion anomaly (1 in 500 births).
- Typically, lower poles fuse, forming an isthmus.
- Normal ascent is blocked by the Inferior Mesenteric Artery (IMA).
- Associated with Turner Syndrome & Trisomies 13, 18, 21.
- Complications: ↑ risk of UPJ obstruction, stones, infection, and certain cancers (e.g., Wilms', transitional cell).
-
Renal Agenesis:
- Unilateral: Often asymptomatic, with compensatory hypertrophy of the contralateral kidney.
- Bilateral: Leads to oligohydramnios & Potter sequence (incompatible with life).
-
Ectopic Kidney:
- Kidney not in its usual location (renal fossa).
- Pelvic kidney is the most common type.
⭐ In horseshoe kidney, the fused isthmus gets trapped under the inferior mesenteric artery (IMA) during its ascent from the pelvis. This is a classic anatomical association tested in exams.
Plumbing Problems - Backflow & Blockages
-
Vesicoureteral Reflux (VUR): Retrograde urine flow (bladder → kidney) from an incompetent vesicoureteric junction (VUJ).
- Presents: Recurrent UTIs, hydronephrosis.
- Dx: Voiding Cystourethrogram (VCUG) is the gold standard for diagnosis & grading (I-V).
- Rx: Prophylactic antibiotics; surgery for high grades.
-
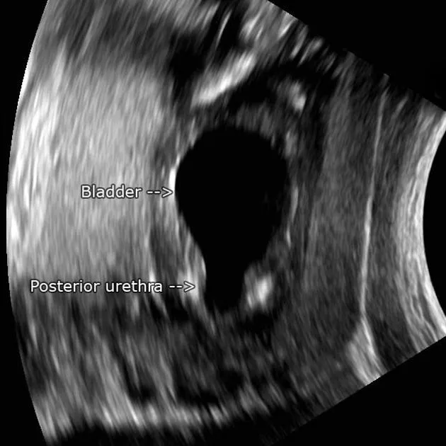
Posterior Urethral Valves (PUV): Obstructing membranes in the posterior male urethra; the most common cause of bladder outlet obstruction in male infants.
- Dx: VCUG. Antenatal ultrasound may show a "keyhole sign" (dilated bladder + posterior urethra).
- Rx: Endoscopic valve ablation.
-
Ureteropelvic Junction (UPJ) Obstruction: Most common cause of significant neonatal hydronephrosis.
- Dx: Diuretic renography (MAG3 scan).
- Rx: Pyeloplasty.
⭐ In PUV, the "keyhole sign" on antenatal ultrasound is a classic finding, representing a dilated bladder and posterior urethra.

Meatal Misplacements - The Hole Story

-
Hypospadias: Ventral (underside) meatal opening.
- Associations: Chordee (ventral curvature), hooded prepuce (dorsal hood).
- Types: Glandular (most common) to perineal.
- Management:
- ⚠️ No circumcision; prepuce is used for repair.
- Surgical correction (urethroplasty) at 6-18 months.
-
Epispadias: Dorsal (topside) meatal opening.
- Much rarer; often part of a wider spectrum of defects.
- Strongly associated with bladder exstrophy.
⭐ High-Yield: Epispadias is a key feature of the Exstrophy-Epispadias Complex (EEC), a spectrum of genitourinary malformations.
Guess Who? - Genital Identity Crisis
-
5-α Reductase Deficiency (5-ARD)
- Karyotype: 46,XY; Autosomal Recessive.
- Deficiency in converting Testosterone → Dihydrotestosterone (DHT).
- Presents with ambiguous genitalia at birth.
- Marked virilization occurs at puberty.
-
Androgen Insensitivity Syndrome (AIS)
- Karyotype: 46,XY; X-linked Recessive.
- Defective androgen receptors.
- Presents as a phenotypic female with primary amenorrhea.
- Key signs: Breast development, absent uterus, scant pubic/axillary hair.
- 📌 Mnemonic (AIS): Amenorrhea, Inguinal mass (testes), Scant hair.
⭐ In Androgen Insensitivity Syndrome, high testosterone is converted to estrogen peripherally, leading to breast development (thelarche) but no pubic/axillary hair (adrenarche) due to receptor defects.
High‑Yield Points - ⚡ Biggest Takeaways
- Posterior Urethral Valves (PUV): #1 cause of congenital bladder outlet obstruction in males; see 'keyhole' sign on USG.
- Hypospadias (ventral meatus): Do not circumcise. Foreskin is needed for repair (urethroplasty).
- Epispadias (dorsal meatus) is strongly associated with bladder exstrophy.
- Horseshoe Kidney: Most common fusion anomaly, trapped by the IMA. Associated with Turner syndrome.
- Cryptorchidism: ↑ risk of seminoma & infertility. Orchiopexy before 1 year.
- Vesicoureteral Reflux (VUR): Causes recurrent UTIs & renal scarring. Diagnosed with VCUG.
Unlock the full lesson and continue reading
Signup to continue reading this lesson and unlimited access questions, flashcards, AI notes, and more