Epidemiology & Pathogenesis - Big Bone Badness
- Most common primary bone malignancy in children & adolescents.
- Peak incidence: 10-20 years, linked to rapid bone growth (growth spurt).
- Arises in the metaphysis of long bones from primitive mesenchymal cells.
- Common sites: Distal femur > proximal tibia > proximal humerus.
- Associated with genetic mutations: RB1 (Retinoblastoma) & TP53 (Li-Fraumeni syndrome).
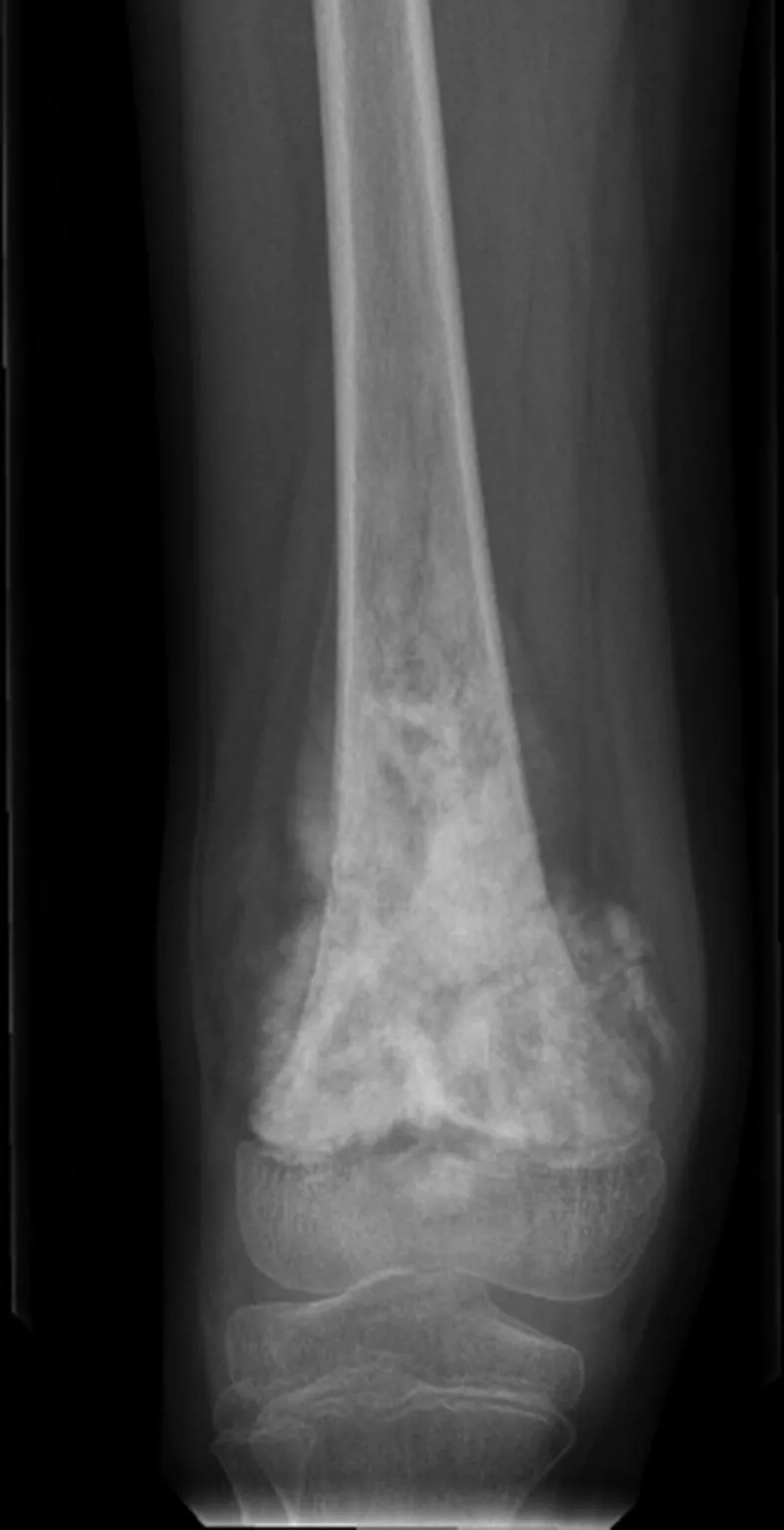
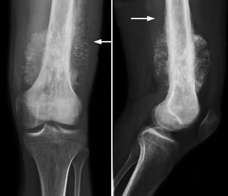
⭐ The classic X-ray findings are a "sunburst" pattern and Codman's triangle.
Clinical & Radiographic Features - Telling Pictures
- Presentation: Localized pain & swelling, often worse at night. Palpable, tender, fixed bony mass. Pathological fractures can occur.
- Location: Metaphysis of long bones, esp. around the knee (distal femur > proximal tibia > proximal humerus).
- X-Ray Findings (Classic Triad):
- Sunburst appearance: Spiculated periosteal reaction.
- Codman's triangle: Triangular elevation of the periosteum.
- Destructive, ill-defined mixed lytic & sclerotic lesion.
⭐ Exam Favourite: Most common site is the metaphysis of a long bone, with ~60% of cases occurring around the knee.

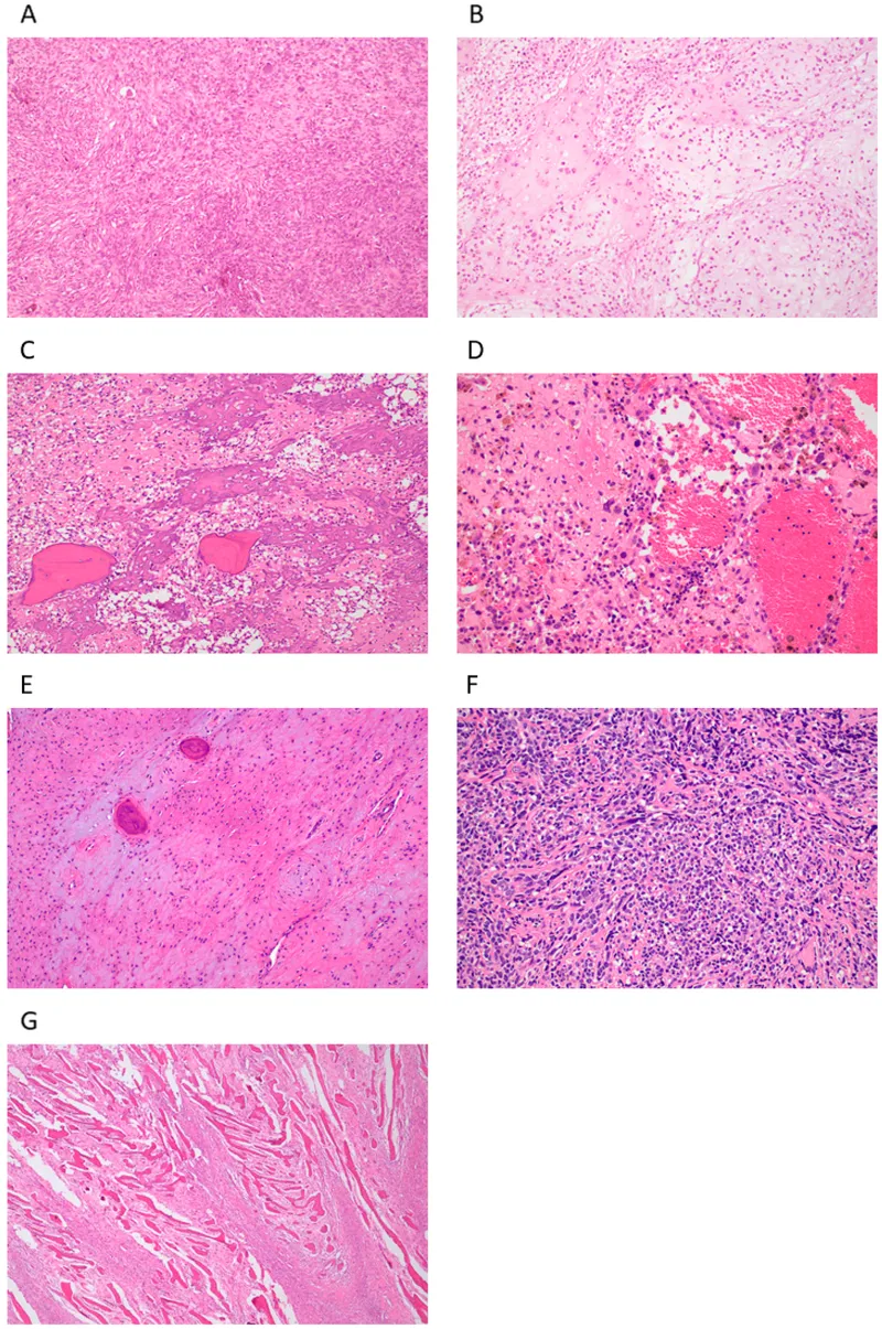
Histopathology & Staging - Grading the Enemy
- Biopsy is gold standard. Confirms diagnosis by showing malignant spindle-shaped stromal cells producing immature osteoid (lace-like pink matrix).
- Subtypes: Conventional is most common (osteoblastic, chondroblastic, fibroblastic). Others include telangiectatic, small cell, and surface (parosteal/periosteal).
- Staging (Enneking): Based on Grade (G), local Tumor extent (T), and Metastasis (M).
- G1: Low grade; G2: High grade
- T1: Intracompartmental; T2: Extracompartmental

⭐ The most common site of metastasis is the lung, followed by bone.
Management & Prognosis - Attack & Rebuild
- Standard of care is multi-modal: Neoadjuvant Chemo → Surgery → Adjuvant Chemo.
- 📌 Chemotherapy Regimen (MAP):
- High-Dose Methotrexate (with Leucovorin rescue)
- Adriamycin (Doxorubicin)
- Platinum (Cisplatin)
- Surgery: Wide local excision. Limb salvage surgery (LSS) is now the standard over amputation where feasible (neurovascular bundle is free).
⭐ The single most important prognostic factor is the degree of tumor necrosis after neoadjuvant chemotherapy. A good response (>90% necrosis) correlates with a much better outcome.
High‑Yield Points - ⚡ Biggest Takeaways
- Most common primary bone malignancy in adolescents, typically affecting the metaphysis of long bones, especially around the knee.
- Classic X-ray findings include Codman's triangle and a "sunburst" pattern.
- Histopathology reveals malignant osteoid formation by tumor cells.
- Strongly associated with hereditary retinoblastoma (RB1 gene) and Li-Fraumeni syndrome (TP53).
- The lungs are the most frequent site of distant metastasis.
- Standard treatment is neoadjuvant chemotherapy followed by wide surgical resection.
Unlock the full lesson and continue reading
Signup to continue reading this lesson and unlimited access questions, flashcards, AI notes, and more