Testicular Tumors - Nuts & Bolts
- 95% of testicular tumors are Germ Cell Tumors (GCTs), mostly malignant.
-
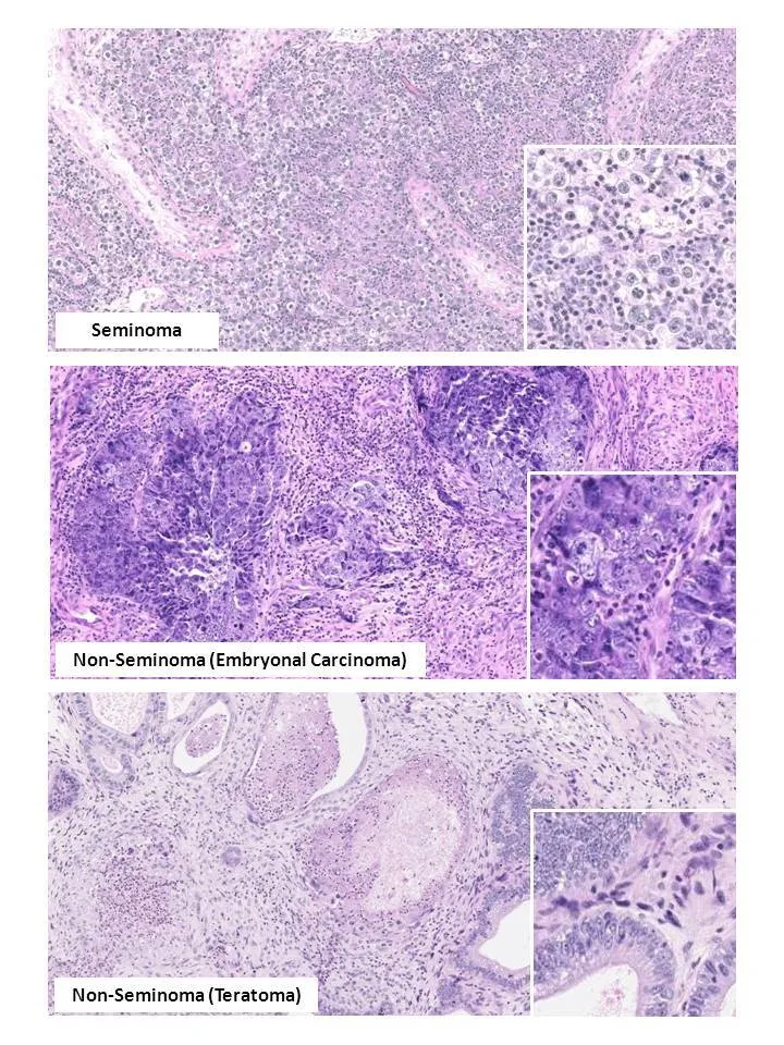
Seminoma (~50% of GCTs)
- Markers: ↑ Placental ALP (PLAP), sometimes ↑ hCG. AFP is always normal.
- 📌 Seminomas are Simple (uniform cells), Sensitive (to radiotherapy), Slow-growing.
-
Non-Seminoma
- Markers: ↑ AFP (Yolk Sac), ↑ hCG (Choriocarcinoma), ↑ LDH (tumor burden).

- Sex Cord-Stromal Tumors
- Leydig Cell: Produces androgens → precocious puberty or gynecomastia.
- Sertoli Cell: Often hormonally silent.
⭐ Yolk sac (endodermal sinus) tumor is the most common testicular tumor in boys < 3 years old, characteristically showing Schiller-Duval bodies.
Prostate Pathology - Gland Finale
- Benign Prostatic Hyperplasia (BPH)
- Hyperplasia of stromal/epithelial cells in the periurethral/transitional zone, causing urinary obstruction (hesitancy, nocturia).
- Driven by DHT. Rx: 5α-reductase inhibitors, α1-blockers.
- Prostate Adenocarcinoma
- Arises in the peripheral zone; often asymptomatic.
- Screening via PSA (> 4 ng/mL is concerning) & DRE.
- Diagnosis by biopsy, graded with Gleason score (architecture).

⭐ Most prostate cancers are adenocarcinomas found in the posterior lobe (peripheral zone), making them palpable on a digital rectal exam (DRE).
Penile & Scrotal Issues - The Lowdown
- Cryptorchidism: Failure of testes to descend into the scrotum. ↑ risk of seminoma & infertility. Orchiopexy recommended before age 2.
- Hydrocele: Peritoneal fluid collection in the tunica vaginalis that transilluminates. Common in newborns.
- Varicocele: Dilation of the pampiniform plexus; feels like a "bag of worms." Does not transilluminate. Usually left-sided.
- Peyronie Disease: Fibrous plaque formation in the tunica albuginea, leading to penile curvature and painful erections.
- Squamous Cell Carcinoma (SCC): Precursor lesions are linked to HPV, especially types 16 and 18.
- Bowen Disease: Carcinoma in situ presenting as leukoplakia (white plaque) on the penile shaft.
- Erythroplasia of Queyrat: Carcinoma in situ appearing as erythroplakia (red plaque) on the glans.

⭐ Cryptorchidism is the most significant risk factor for testicular germ cell tumors, increasing the risk 3-5x.
High‑Yield Points - ⚡ Biggest Takeaways
- Testicular germ cell tumors are the most common solid tumors in young men; seminomas are radiosensitive, while non-seminomas are aggressive.
- Prostate adenocarcinoma typically arises in the peripheral zone, is often palpable, and is monitored with PSA.
- Benign Prostatic Hyperplasia (BPH) occurs in the transitional zone, causing urinary obstruction, but does not increase cancer risk.
- Cryptorchidism (undescended testis) significantly increases the risk of seminoma and infertility.
- Testicular torsion is a surgical emergency presenting with acute pain and an absent cremasteric reflex.
Unlock the full lesson and continue reading
Signup to continue reading this lesson and unlimited access questions, flashcards, AI notes, and more