Liver Injury Patterns - The Liver's Basic Reactions

- Degeneration & Intracellular Accumulation:
- Ballooning degeneration: Hepatocyte swelling (reversible injury).
- Steatosis: Fatty change.
- Hepatocyte Necrosis & Apoptosis:
- Apoptosis: Eosinophilic Councilman bodies (e.g., viral hepatitis).
- Necrosis Patterns: Focal, confluent, or bridging necrosis (links portal tracts to central veins, poor prognosis).
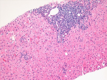
- Inflammation ("Hepatitis"): Infiltration by inflammatory cells.
- Regeneration: Proliferation of remaining hepatocytes.
- Fibrosis: Irreversible collagen deposition, the final common pathway for chronic injury.
⭐ Hepatic stellate cells (Ito cells) in the Space of Disse, when activated, are the primary source of collagen leading to fibrosis.
Viral Hepatitis - The Alphabet Soup
- General Presentation: Jaundice (icteric sclera), fever, hepatomegaly, ↑ ALT & AST (ALT > AST is classic for viral hepatitis).
- 📌 Mnemonic: "Vowels are bowels" - Hepatitis A & E are transmitted fecal-orally and cause acute disease.
| Virus | Family | Transmission | Chronic Risk | Key Features |
|---|---|---|---|---|
| A | Picornavirus | Fecal-oral | No | Acute, self-limiting; traveler's hepatitis. |
| B | Hepadnavirus | Blood/Body Fluids | Yes | DNA virus; risk of Hepatocellular Carcinoma (HCC). Ground-glass hepatocytes. |
| C | Flavivirus | Blood/Body Fluids | High | High risk of cirrhosis & HCC; lymphoid aggregates in portal tracts. |
| D | Deltavirus | Blood/Body Fluids | Yes | Defective virus; requires HBsAg for replication (co-infection or super-infection). |
| E | Hepevirus | Fecal-oral | No* | *Except in immunocompromised. High mortality in pregnant women. |
Cirrhosis - The Scarred Finale

- Definition: End-stage liver disease defined by diffuse bridging fibrosis and regenerative parenchymal nodules, disrupting liver architecture.
- Pathogenesis: Chronic injury activates stellate (Ito) cells to deposit Type I & III collagen in the space of Disse, driven by TGF-β.
- Clinical Signs: Jaundice, ascites, splenomegaly, caput medusae. Signs of hyperestrogenism: spider angiomata, palmar erythema, gynecomastia.
- Complications: Portal hypertension (→ varices), ascites (→ SBP), hepatic encephalopathy, hepatocellular carcinoma (HCC).
⭐ Hepatic stellate (Ito) cells, which normally store Vitamin A, transform into myofibroblasts upon injury and are the primary source of the scarring collagen.
High‑Yield Points - ⚡ Biggest Takeaways
- Cirrhosis is defined by bridging fibrous septa and regenerative nodules that disrupt the entire liver architecture.
- Activated hepatic stellate (Ito) cells in the space of Disse are the primary source of collagen leading to fibrosis.
- Portal hypertension is the central complication, causing esophageal varices, ascites, and splenomegaly.
- Chronic Hepatitis C and alcoholic liver disease are the leading causes of cirrhosis in the US.
- Acute hepatitis histology shows panlobular inflammation, hepatocyte necrosis, and Councilman bodies (apoptotic hepatocytes).
- Cirrhosis is the most significant risk factor for hepatocellular carcinoma (HCC); screen with AFP.
Unlock the full lesson and continue reading
Signup to continue reading this lesson and unlimited access questions, flashcards, AI notes, and more