Cervix - HPV's Unwanted Hug
- Human Papillomavirus (HPV) is the primary cause.
- High-risk: 16, 18 → squamous cell & adenocarcinoma.
- Low-risk: 6, 11 → condyloma acuminatum.
- Oncogenesis via viral proteins:
- E6: degrades p53 (tumor suppressor).
- E7: inhibits Rb (retinoblastoma protein).
- Koilocytes: Pathognomonic sign of HPV; wrinkled nucleus with a perinuclear halo.

⭐ Most HPV infections are transient. Persistent infection with high-risk strains is required for malignant transformation.
Uterus - Womb for Improvement
- Adenomyosis: Endometrial tissue within the myometrium. Presents with dysmenorrhea, menorrhagia, and a uniformly enlarged, boggy uterus.
- Leiomyoma (Fibroid): Benign smooth muscle tumor. Often asymptomatic; can cause bleeding, pain. Estrogen-sensitive. Multiple, well-demarcated, whorled masses.

| Feature | Endometrial Hyperplasia | Endometrial Carcinoma |
|---|---|---|
| Pathology | Proliferation of glands | Malignant glandular proliferation |
| Cause | Unopposed estrogen | Unopposed estrogen, genetics |
| Key Gene | - | PTEN inactivation |
| Progression | Precursor to carcinoma | Invades myometrium, metastasizes |
📌 Endometrial Carcinoma Risk Factors: OLD AUNT → Obesity, Late menopause, Diabetes, Age, Unopposed estrogen, Nulliparity, Tamoxifen.
Ovary - Egg-citingly Bad Eggs
-
Surface Epithelial Tumors (most common)
- Derived from coelomic epithelium; CA-125 marker.
- Serous: Often bilateral. Psammoma bodies common in malignant types.
- Mucinous: Can be very large. Risk of pseudomyxoma peritonei.
- Endometrioid: Associated with endometriosis and endometrial carcinoma.
- Brenner: Transitional cell (urothelial) type, usually benign.
-
Germ Cell Tumors (younger women < 25)
- Teratoma: Most common germ cell tumor. Mature (“dermoid cyst”) is benign. Immature is malignant potential.
- Dysgerminoma: Malignant; ↑ LDH. Radiosensitive.
- Yolk Sac (Endodermal Sinus) Tumor: ↑ AFP. Schiller-Duval bodies (look like glomeruli).
- Choriocarcinoma: ↑ hCG. Aggressive, early hematogenous spread.
-
Sex Cord-Stromal Tumors
- Granulosa Cell Tumor: ↑ Estrogen (endometrial hyperplasia). Call-Exner bodies (rosettes).
- Sertoli-Leydig Cell Tumor: Produces androgens (virilization).
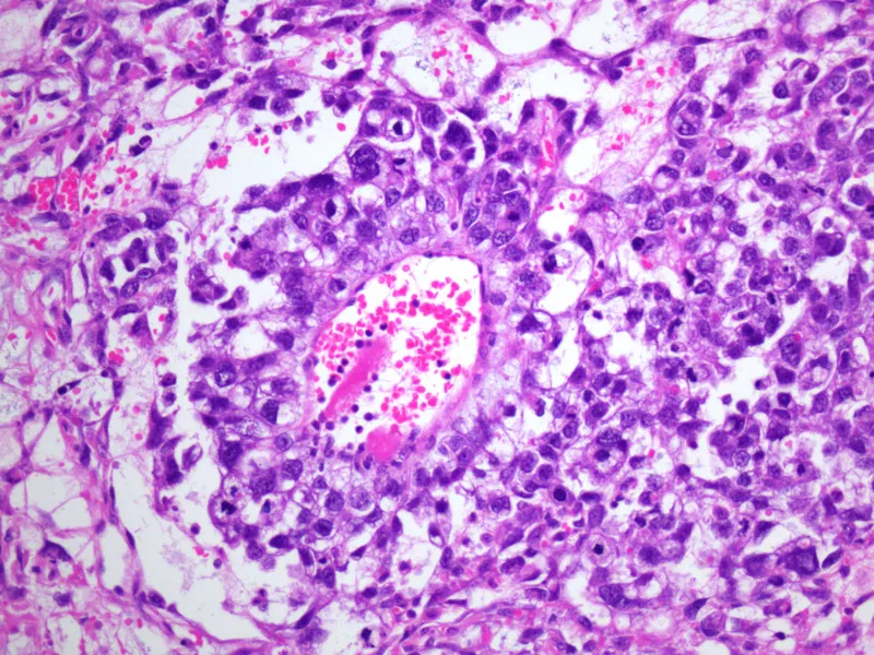
⭐ Krukenberg Tumor: Bilateral ovarian metastasis, typically from gastric adenocarcinoma, characterized by signet-ring cells.

Gestation & Placenta - Pregnancy's Plot Twists
- Spontaneous Abortion (<20 wks): Usually due to chromosomal anomalies. Recurrent losses suggest maternal factors (e.g., antiphospholipid syndrome).
- Ectopic Pregnancy: 90% in fallopian tube ampulla. Key risk is prior PID. Presents with pain & bleeding.
- Placental Pathologies:
- Previa: Implants over cervical os → painless bleeding.
- Accreta/Increta/Percreta: Abnormal myometrial attachment → massive hemorrhage.
- Abruption: Premature separation → painful bleeding.
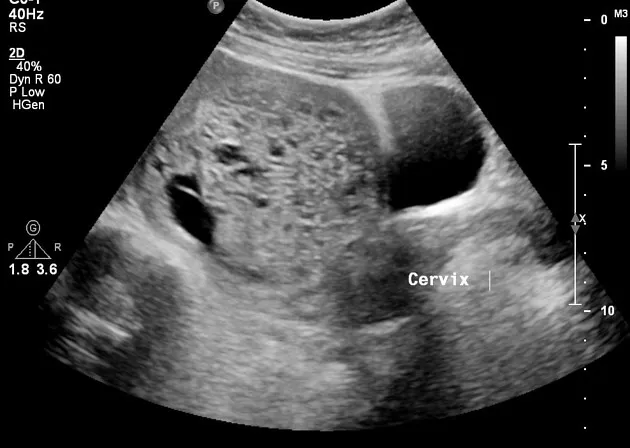
⭐ Complete hydatidiform moles show a classic "snowstorm" or "bunch of grapes" pattern on ultrasound.

High‑Yield Points - ⚡ Biggest Takeaways
- High-risk HPV (16, 18) is the main driver of cervical intraepithelial neoplasia (CIN) and invasive carcinoma.
- Endometriosis is defined by ectopic endometrial glands/stroma, leading to dysmenorrhea, pain, and infertility.
- PCOS diagnosis requires 2 of 3: oligo/anovulation, hyperandrogenism, and polycystic ovaries.
- Epithelial ovarian cancers often present late with vague abdominal symptoms and peritoneal spread.
- Hydatidiform moles show edematous, avascular chorionic villi ("bunch of grapes").
- PID is a critical risk factor for infertility and ectopic pregnancy.
Unlock the full lesson and continue reading
Signup to continue reading this lesson and unlimited access questions, flashcards, AI notes, and more