Nephrotic Syndrome - The Leaky Filter
-
Core Definition: A state of massive proteinuria (>3.5 g/day), hypoalbuminemia, generalized edema, and hyperlipidemia/lipiduria. Results from glomerular damage that increases permeability to plasma proteins, leading to a "leaky" filter.
-
Pathophysiology Flowchart:

⭐ Loss of antithrombin III in the urine creates a hypercoagulable state, predisposing patients to thromboembolism, especially renal vein thrombosis.
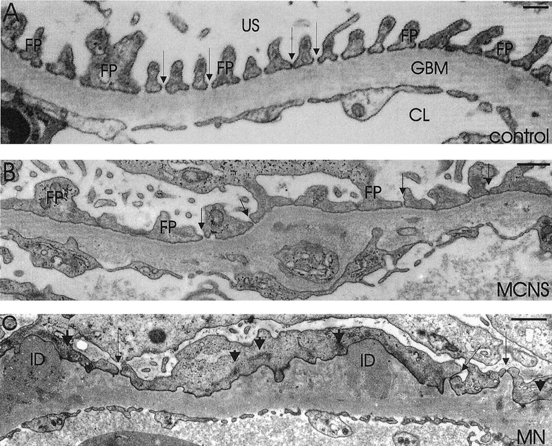
Podocytopathies - Foot Process Problems
Characterized by primary injury to the podocyte, causing selective proteinuria.

| Feature | Minimal Change Disease (MCD) | Focal Segmental Glomerulosclerosis (FSGS) |
|---|---|---|
| Demographic | Children | Adults (esp. African Americans) |
| Associations | NSAIDs, Hodgkin lymphoma | HIV, heroin, obesity, sickle cell |
| LM | Normal glomeruli | Focal & segmental sclerosis/hyalinosis |
| IF | Negative | Negative (non-specific IgM/C3 possible) |
| EM | Diffuse foot process effacement | Diffuse foot process effacement |
| Prognosis | Excellent steroid response | Often steroid-resistant, progresses to CKD |
Membranous Nephropathy - Spike & Dome
- Microscopy Findings:
- LM: Diffuse thickening of capillary walls and glomerular basement membrane (GBM).
- IF: Granular deposition of IgG and C3 along the GBM.
- EM: Subepithelial immune deposits create the pathognomonic “spike and dome” appearance.

- Etiology:
- Primary/Idiopathic (~85%): 📌 Autoantibodies against the phospholipase A2 receptor (anti-PLA2R).
- Secondary: Associated with drugs (e.g., NSAIDs), infections (HBV, HCV), SLE, or solid tumors (lung, colon).
⭐ Membranous nephropathy is the leading cause of primary nephrotic syndrome in non-diabetic Caucasian adults.
Systemic Causes - Collateral Damage
-
Diabetic Nephropathy:
- Leading cause of End-Stage Renal Disease (ESRD) in the US.
- Pathogenesis involves non-enzymatic glycosylation of the glomerular basement membrane (GBM) and efferent arterioles.
- Histology: Features GBM thickening and pathognomonic Kimmelstiel-Wilson (KW) lesions (nodular glomerulosclerosis).

-
Amyloidosis:
- Extracellular deposition of misfolded amyloid protein (e.g., AL from multiple myeloma, AA from chronic inflammation).
- Diagnosis: Congo red stain shows amorphous deposits in the mesangium and capillary walls.
- Hallmark: Exhibits classic apple-green birefringence under polarized light.
⭐ In Diabetic Nephropathy, ACE inhibitors are renoprotective. They preferentially dilate the efferent arteriole, reducing intraglomerular pressure and slowing the progression to ESRD.
Syndrome Sequelae - Clots & Infections
- Thrombosis/Thromboembolism: Hypercoagulable state from urinary loss of Antithrombin III.
- Leads to ↑ risk of clots, especially renal vein thrombosis.
- Infection: Increased susceptibility due to urinary loss of Immunoglobulins (IgG).
- Common pathogens: Encapsulated bacteria (e.g., Streptococcus pneumoniae).
⭐ Renal vein thrombosis is a classic complication, most frequently seen with membranous nephropathy.
High‑Yield Points - ⚡ Biggest Takeaways
Error generating content for this concept group: No object generated: the tool was not called.
Unlock the full lesson and continue reading
Signup to continue reading this lesson and unlimited access questions, flashcards, AI notes, and more