Nephritic Syndrome - PHAROH's Revenge
Glomerular inflammation causing hematuria, hypertension, oliguria, and azotemia.
š PHAROH Mnemonic:
- Post-streptococcal GN: Common cause in children.
- Hypertension: Due to salt/fluid retention.
- Azotemia: ā BUN & Creatinine.
- RBC casts in urine: Pathognomonic for glomerular bleeding.
- Oliguria: Low urine output (< 500 mL/day).
- Hematuria: Cola-colored urine.

ā Post-streptococcal GN shows a "lumpy-bumpy" granular pattern on immunofluorescence due to IgG, IgM, and C3 deposition along the GBM and mesangium.
Post-Infectious GN - Sore Throat, Sore Kidney
- Etiology: Follows Group A β-hemolytic Strep (GAS) infection, typically pharyngitis (1-3 wks prior) or impetigo (3-6 wks prior).
- Pathogenesis: Type III hypersensitivity reaction. Deposition of immune complexes (IgG, IgM, C3) against streptococcal antigens (e.g., SpeB) in glomeruli.
- Clinical: Acute nephritic syndrome triad:
- Periorbital edema
- Cola-colored urine (hematuria)
- Hypertension
- Labs: ā ASO or anti-DNase B titers; ā C3 levels.
- Microscopy:
- LM: Diffusely hypercellular, proliferative glomeruli with neutrophils.
- IF: Granular, "starry sky" deposits of IgG and C3.

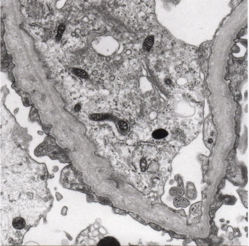
ā Classic finding: Subepithelial electron-dense deposits ("humps") on EM.
IgA Nephropathy - Berger's Recurring Bleed
- Most common primary glomerulonephritis globally. Affects children and young adults.
- Presents as episodic gross hematuria, often concurrent with a URI or GI infection (synpharyngitic hematuria).
- Pathogenesis involves mesangial deposition of aberrantly glycosylated IgA1 immune complexes.
- Serum complement levels are typically normal.
- Often benign and self-limiting, but 20-40% may progress to chronic renal failure over decades.

ā Henoch-Schƶnlein Purpura (HSP) is the systemic vasculitis form of IgA nephropathy.
Severe Syndromes - Crescents & Heredity
- Rapidly Progressive Glomerulonephritis (RPGN): Characterized by crescent formation in Bowman's space, leading to rapid renal failure.
- Alport Syndrome: Hereditary nephritis from a Type IV collagen mutation (X-linked). Presents as a triad of renal disease, sensorineural deafness, and ocular abnormalities (e.g., lenticonus).
- EM shows GBM splitting, creating a "basket-weave" appearance.
- š Mnemonic: "Can't see, can't pee, can't hear a bee."

ā Goodpasture syndrome is caused by autoantibodies against the alpha-3 chain of type IV collagen in the glomerular and alveolar basement membranes.
HighāYield Points - ā” Biggest Takeaways
- Nephritic syndrome is a clinical pentad: hematuria (RBC casts), hypertension, azotemia, oliguria, and mild proteinuria (<3.5 g/day).
- Post-streptococcal GN follows a GAS infection; see subepithelial "humps" and low C3.
- IgA nephropathy (Berger disease) is the most common GN, with mesangial IgA deposits after a mucosal infection.
- Rapidly progressive GN (RPGN) is defined by crescents in Bowman's space, causing rapid renal failure.
- Alport syndrome is an X-linked defect in Type IV collagen causing nephritis, deafness, and ocular defects.
Unlock the full lesson and continue reading
Signup to continue reading this lesson and unlimited access questions, flashcards, AI notes, and more