Anomalies of Number & Position - Missing or Misplaced
- Renal Agenesis: Failure of kidney development.
- Unilateral: Often asymptomatic; contralateral kidney undergoes compensatory hypertrophy. Discovered incidentally.
- Bilateral: Incompatible with life. Leads to Potter sequence.
⭐ Potter Sequence: Caused by oligohydramnios. Remember 📌 POTTER: Pulmonary hypoplasia, Oligohydramnios, Twisted face, Twisted skin, Extremity defects, Renal failure (in utero).
- Renal Ectopia: Kidney not in its normal location.
- Simple: Located on the proper side, but in an abnormal position (e.g., iliac fossa).
- Pelvic (Sacral): Small, malrotated kidney in the pelvis.

Anomalies of Fusion - Fused & Confused
-
Horseshoe Kidney: The most common congenital renal fusion anomaly.
- Embryology: Typically involves fusion of the lower poles of the two kidneys while in the pelvis.
- Ascent & Entrapment: During fetal development, the fused kidney's ascent is halted by the Inferior Mesenteric Artery (IMA).
-
Clinical Complications:
- Ureteropelvic junction (UPJ) obstruction → hydronephrosis.
- ↑ risk of kidney stones and infections.
- ↑ risk of renal cell carcinoma (RCC).
-
Associated Aneuploidies:
- Turner Syndrome
- Trisomies 13, 18, and 21
⭐ While associated with complications, the majority of individuals with a horseshoe kidney are asymptomatic and diagnosed incidentally.
Polycystic Kidney Disease - A Tale of Two Cysts

A comparison of the two major forms of polycystic kidney disease:
| Feature | Autosomal Dominant (ADPKD) | Autosomal Recessive (ARPKD) |
|---|---|---|
| Inheritance | Autosomal Dominant | Autosomal Recessive |
| Gene Defect | PKD1 (85%), PKD2 | PKHD1 (Fibrocystin) |
| Onset | Adulthood (20-40 yrs) | Infancy / In utero |
| Presentation | Hypertension, hematuria, flank pain, palpable bilateral masses | Potter sequence, renal failure in infancy, hypertension, portal HTN |
| Extrarenal | Hepatic cysts (>50%), Berry aneurysms, Mitral Valve Prolapse | Congenital Hepatic Fibrosis, Biliary Dysgenesis |
Renal Dysplasia & Medullary Cysts - Disorganized Development
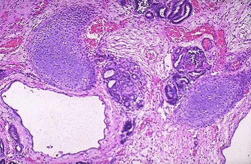
- Multicystic Dysplastic Kidney (MCDK): Sporadic, non-hereditary anomaly where the kidney is replaced by non-communicating cysts.
- Histology: Cysts are lined by flattened epithelium, surrounded by undifferentiated mesenchyme and islands of cartilage.

- Histology: Cysts are lined by flattened epithelium, surrounded by undifferentiated mesenchyme and islands of cartilage.
- Medullary Sponge Kidney (MSK): Cystic dilation of the medullary collecting ducts.
- Presents with recurrent kidney stones and hematuria; associated with nephrocalcinosis.
⭐ Exam Favorite: Unilateral MCDK is a common cause of an abdominal mass in newborns. Bilateral involvement leads to Potter sequence and is incompatible with life.
High‑Yield Points - ⚡ Biggest Takeaways
- Potter sequence results from oligohydramnios (e.g., bilateral renal agenesis), causing pulmonary hypoplasia and limb/facial defects.
- A horseshoe kidney's ascent is blocked by the inferior mesenteric artery (IMA); it is associated with Turner syndrome.
- Multicystic dysplastic kidney is a unilateral, non-functional kidney composed of cysts and abnormal tissue.
- ARPKD presents in infants and is associated with hepatic fibrosis.
- ADPKD presents in adults and is associated with berry aneurysms and liver cysts.
Unlock the full lesson and continue reading
Signup to continue reading this lesson and unlimited access questions, flashcards, AI notes, and more