ATN Overview - Kidney's Downfall
Most common cause of acute kidney injury (AKI) in hospitalized patients, marked by tubular cell damage. It's often reversible.
| Feature | Ischemic ATN | Nephrotoxic ATN |
|---|---|---|
| Pathophysiology | ↓ Renal blood flow (hypoperfusion) | Direct tubular cell toxin exposure |
| Key Causes | Shock, sepsis, major surgery | Aminoglycosides, contrast, myoglobin |
| Tubular Segments | Proximal tubule & thick ascending limb | Primarily proximal tubule |
⭐ Muddy brown casts in urine sediment are pathognomonic. The BUN:Cr ratio is often < 15:1 due to impaired urea reabsorption.
Pathophysiology - Cellular Chaos
Two major pathways converge on tubular epithelial cell injury:
- Ischemic Injury: Most prominent in the proximal tubule (S3 segment) & thick ascending limb (TAL).
- Nephrotoxic Injury: Primarily affects the proximal convoluted tubule (S1/S2) due to high reabsorptive function.

⭐ The S3 segment of the proximal tubule and the medullary thick ascending limb are classic sites for ischemic ATN due to high metabolic demand in a low-oxygen environment.
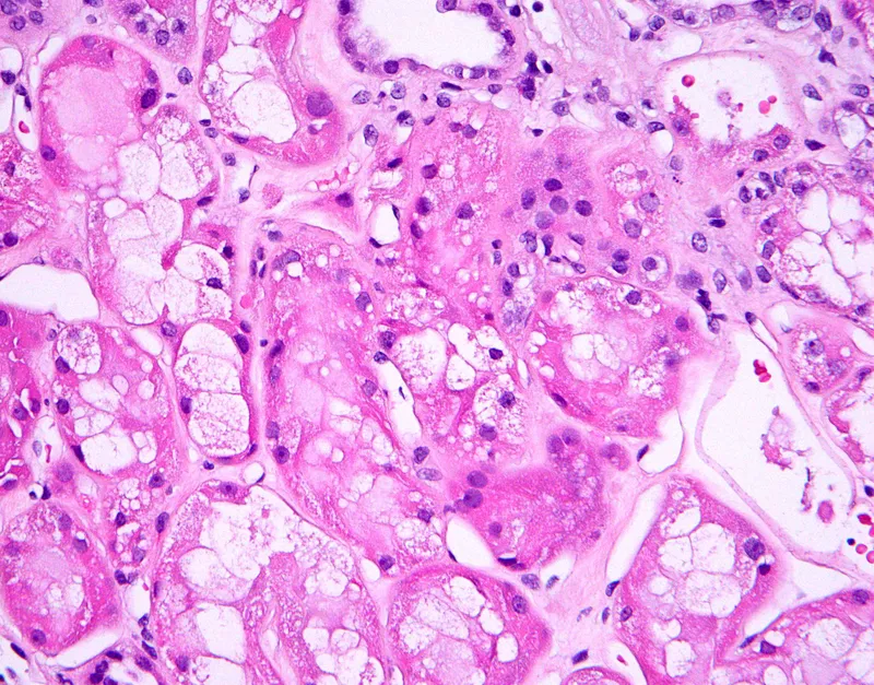
Morphology - Muddy Brown Mayhem
- Gross: Enlarged, pale kidneys; swollen cortex, congested medulla.
- Microscopy:
- Tubular Injury: Necrosis and sloughing of proximal tubular epithelial cells, with loss of brush border and tubular dilation. The basement membrane is typically spared.
- Casts: Pathognomonic muddy brown granular casts in distal tubules and collecting ducts.
- Interstitial edema.

⭐ The proximal straight tubule and the thick ascending limb of Henle's loop are the most susceptible segments to ischemic injury.
Clinical Phases - The 3-Act Tragedy
A clinical course defined by three stages, tracking the progression from injury to resolution. The timeline and electrolyte shifts are key.
⭐ The BUN:Cr ratio is characteristically < 15:1 in ATN, as tubular dysfunction impairs urea reabsorption, distinguishing it from pre-renal azotemia where the ratio is > 20:1.
Diagnosis & Management - The Clinician's Clues
- Urinalysis: Key to differentiate from prerenal azotemia.
- Microscopy: Muddy brown granular casts are pathognomonic.
| Finding | Prerenal Azotemia | Acute Tubular Necrosis (ATN) |
|---|---|---|
| BUN:Cr Ratio | >20:1 | <15:1 |
| Urine Na+ | <20 mEq/L | >40 mEq/L |
| FeNa | <1% | >2% |
| Urine Osmolality | >500 mOsm/kg | <350 mOsm/kg |
- Address underlying cause (e.g., stop nephrotoxic drugs, restore perfusion).
- Manage fluid & electrolytes; loop diuretics for fluid overload.
- Indications for dialysis: 📌 **A**cidosis, **E**lectrolytes (hyperkalemia), **I**ngestions, **O**verload (refractory), **U**remia.
⭐ FeNa may be <1% in early sepsis- or contrast-induced ATN due to initial vasospasm.
High‑Yield Points - ⚡ Biggest Takeaways
- The most common cause of acute kidney injury (AKI) in hospitalized patients.
- Caused by ischemic or nephrotoxic injury to the renal tubules, particularly the proximal tubule and thick ascending limb.
- Muddy brown granular casts in the urine are pathognomonic.
- Key lab findings include a BUN:Cr ratio < 15:1 and a FENa > 2%.
- Presents in three phases: initiation, maintenance (oliguric, hyperkalemia), and recovery (polyuric, hypokalemia).
- Unlike cortical necrosis, ATN is potentially reversible.
Unlock the full lesson and continue reading
Signup to continue reading this lesson and unlimited access questions, flashcards, AI notes, and more