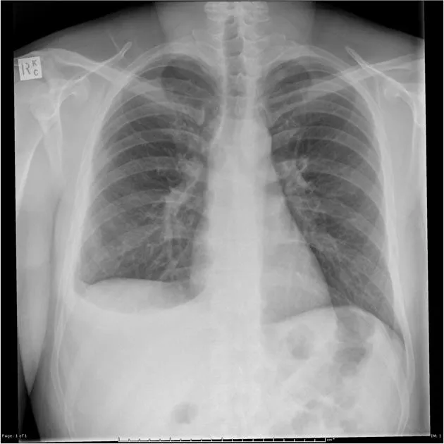
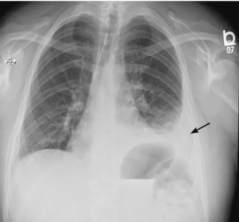
Pleural Effusions - Watery Woes
- Pathologic fluid accumulation in the pleural space, categorized by protein and LDH levels.
- Light's Criteria differentiate transudates (systemic causes) from exudates (local causes). An exudate meets ≥1 of the following:
- Pleural fluid protein / Serum protein > 0.5
- Pleural fluid LDH / Serum LDH > 0.6
- Pleural fluid LDH > 2/3 the upper limit of normal serum LDH.

⭐ A low pleural fluid glucose (<60 mg/dL) strongly suggests an exudative effusion from rheumatoid arthritis, empyema, or malignancy.
Pneumothorax - The Air Scare
Air accumulation in the pleural space causes partial or complete lung collapse. Presents with acute dyspnea, pleuritic chest pain, and ↓ breath sounds.
- Types & Causes
- Spontaneous (Primary): Rupture of apical blebs in tall, thin young males.
- Spontaneous (Secondary): Underlying lung disease (e.g., COPD, CF).
- Traumatic: Injury (e.g., rib fracture, central line placement).
- Tension: Air enters pleural space but cannot exit; a medical emergency.
⭐ Tension Pneumothorax: Characterized by mediastinal and tracheal deviation away from the affected side, hypotension, and JVD. Requires immediate needle decompression in the 2nd intercostal space, midclavicular line, followed by chest tube insertion.
Empyema & Hemothorax - Nasty Surprises
- Empyema (Pus)
- Definition: Infected, purulent pleural effusion, often a complication of pneumonia.
- Diagnosis: Pus on thoracentesis; pleural fluid pH < 7.2, glucose < 60 mg/dL, (+) Gram stain/culture.
- Treatment: IV antibiotics & complete drainage (thoracostomy tube).
- Hemothorax (Blood)
- Definition: Blood in the pleural space, typically from trauma to chest wall/great vessels.
- Diagnosis: Pleural fluid hematocrit >50% of peripheral blood hematocrit.
- Treatment: Immediate large-bore chest tube insertion to drain blood & monitor output.
⭐ A retained, undrained hemothorax is a major risk factor for developing a subsequent empyema.

Pleural Tumors - Malignant Linings
- Malignant Mesothelioma: Rare tumor from mesothelial cells lining the pleura.
- Strongly linked to asbestos exposure (e.g., shipbuilding, plumbing); long latency (>20 years).
- Presentation: Insidious dyspnea, non-pleuritic chest pain, weight loss, recurrent effusions.
- Histology: Positive for calretinin & cytokeratin 5/6; psammoma bodies can be seen.
- Imaging: Unilateral pleural thickening/nodularity, often encasing the lung.

⭐ High-Yield: Unlike bronchogenic carcinoma, smoking is NOT a risk factor for mesothelioma.
High‑Yield Points - ⚡ Biggest Takeaways
- Light's criteria are essential to differentiate transudative vs. exudative pleural effusions.
- Exudates result from local inflammation or malignancy; transudates from systemic conditions like CHF or cirrhosis.
- Spontaneous pneumothorax classically occurs in tall, thin young men; smoking is a major risk factor.
- Tension pneumothorax is a medical emergency with tracheal deviation and hemodynamic instability.
- Malignant mesothelioma is strongly linked to asbestos exposure.
- Pleuritic chest pain, sharp and worsening with inspiration, is a key symptom.
Unlock the full lesson and continue reading
Signup to continue reading this lesson and unlimited access questions, flashcards, AI notes, and more