Metastatic CNS Tumors - Brain Invaders
- Most common intracranial tumors in adults, often multiple and well-circumscribed.
- Typically found at the gray-white matter junction.
- Primary sources: Lung > Breast > Skin (melanoma) > Kidney (renal cell) > GI tract.
- š Mnemonic: Lots of Bad Stuff Kills Glia.
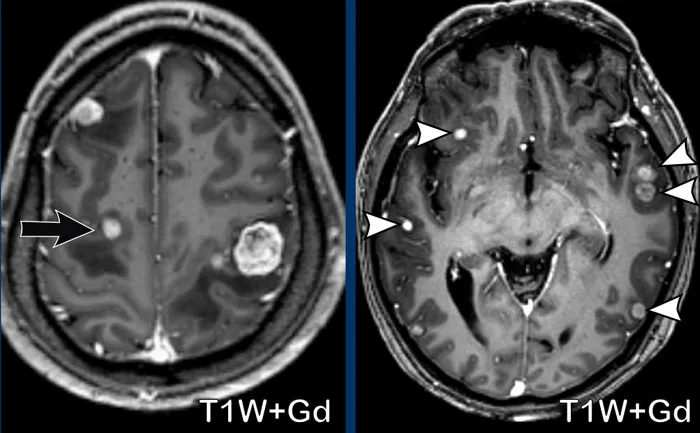
- Imaging reveals ring-enhancing lesions with significant vasogenic edema on contrast-enhanced CT/MRI.

ā While primary CNS tumors are typically solitary, the presence of multiple intraparenchymal lesions is the hallmark of metastasis.
Primary Suspects - The Usual Culprits
- Lung Cancer: The most common source, causing >50% of CNS metastases. Typically presents with multiple lesions.
- Breast Cancer: Second most frequent primary. Often metastasizes to the cerebellum and posterior fossa.
- Melanoma: Has a very high propensity to metastasize to the brain. Lesions are often hemorrhagic.
- Renal Cell Carcinoma (RCC): Characteristically forms solitary, large, vascular metastases prone to bleeding.
- GI Tract (Colorectal): Less common, but an important source.
š Mnemonic: "Lovely Bold Men Know Greatness" (Lung, Breast, Melanoma, Kidney, GI).
ā Metastases are the most common intracranial tumors in adults. They characteristically appear as multiple, well-circumscribed lesions at the gray-white matter junction.
Signs & Scans - Finding the Foe
- Clinical Presentation: Headaches (often worse in AM), seizures, focal neurologic deficits, or cognitive changes. Symptoms depend on tumor location and number.
- Imaging is Key: Contrast-enhanced MRI is the gold standard.
- Hallmarks: Multiple, well-circumscribed lesions, typically at the gray-white matter junction.
- Appearance: Ring-enhancing lesions with significant vasogenic edema.

ā High-Yield Fact: Metastases often occur in arterial "watershed" areas, where blood vessels terminate, making it easier for tumor emboli to lodge and grow. This explains the characteristic location at the gray-white junction.
Pathology & Management - Cellular Clues & Battle Plans
- Pathology: Often multiple, well-demarcated lesions at the gray-white junction. Histology mirrors the primary tumor (e.g., glands in lung adenocarcinoma, melanin in melanoma).
- Look for a distinct border between tumor cells and surrounding brain parenchyma, often with significant vasogenic edema.

ā High-Yield Pearl: For patients with 1-4 metastatic lesions and good performance status, Stereotactic Radiosurgery (SRS) is often preferred over Whole Brain Radiation Therapy (WBRT) to better preserve neurocognitive function.
- Management Flow:
HighāYield Points - ā” Biggest Takeaways
- Metastatic tumors are the most common intracranial neoplasms in adults.
- Primary sources are typically lung cancer, breast cancer, melanoma, and renal cell carcinoma.
- Lesions are characteristically multiple and located at the gray-white matter junction.
- On imaging, they appear as well-circumscribed, ring-enhancing lesions with significant vasogenic edema.
- Common presentation includes headaches, seizures, and focal neurological deficits, reflecting the lesion's location.
Unlock the full lesson and continue reading
Signup to continue reading this lesson and unlimited access questions, flashcards, AI notes, and more