Amyloidosis Basics - Misfolded Mayhem
- Amyloid: A pathologic, proteinaceous substance deposited extracellularly.
- Structure: Misfolded proteins form a rigid, non-branching fibril with a cross-β-pleated sheet configuration.
- Resistant to normal proteolysis, leading to accumulation.
- Pathognomonic Diagnosis:
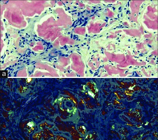
- Stain: Congo Red.
- Finding: Exhibits classic apple-green birefringence when viewed under polarized light.

⭐ Despite its name (amyloid ≈ starch-like), the substance is purely proteinaceous, not carbohydrate-based.
Amyloidosis Types - The Protein Perps
- Core Defect: Misfolded extracellular proteins aggregate as insoluble beta-pleated sheets. These fibrils deposit in tissues, leading to progressive organ damage and dysfunction.
| Type | Precursor Protein | Common Associations & Clinical Clues | Key Organ(s) Involved |
|---|---|---|---|
| AL (Primary) | Ig Light Chain (λ > κ) | Plasma cell dyscrasias (e.g., Multiple Myeloma). Look for monoclonal protein spike. | Kidney (nephrotic syndrome), Heart (restrictive cardiomyopathy), Nerves (neuropathy), Tongue (macroglossia). |
| AA (Secondary) | Acute-phase reactant SAA | Chronic inflammatory states (RA, IBD, FMF), chronic infections (TB). | Kidney is the most common and major site, often presenting with proteinuria. Also affects liver and spleen. |
| ATTR | Transthyretin | Senile Systemic: Wild-type TTR in elderly (often >80). Familial: Mutant TTR gene. | Heart is the primary target, leading to restrictive cardiomyopathy and heart failure. Also peripheral nerves. |
| Aβ | Amyloid-β Precursor Protein | Alzheimer's Disease (forms senile plaques), Down Syndrome (APP gene on Chr 21). | Brain (cerebral cortex). Can also deposit in cerebral vessels (amyloid angiopathy). |
| Aβ₂M | β₂-microglobulin | Chronic renal failure patients on long-term dialysis (>5 years). Not filtered out by older dialysis membranes. | Musculoskeletal system: Joints (scapulohumeral periarthritis), Bones (cysts), Carpal tunnel syndrome. |
| %%{init: {'flowchart': {'htmlLabels': true}}}%% | |||
| flowchart TD |
A["🧪 Precursor Protein
• Soluble protein• Native state"]
B["⚠️ Misfolding
• Protein aggregation• Abnormal structures"]
C["🧬 Insoluble Fibrils
• Beta-pleated sheets• Fibril formation"]
D["🧫 Extracellular
• Amyloid deposition• Tissue buildup"]
E["🩺 Organ Failure
• Tissue damage• Organ dysfunction"]
A --> B B --> C C --> D D --> E
style A fill:#F7F5FD, stroke:#F0EDFA, stroke-width:1.5px, rx:12, ry:12, color:#6B21A8 style B fill:#FEF8EC, stroke:#FBECCA, stroke-width:1.5px, rx:12, ry:12, color:#854D0E style C fill:#F7F5FD, stroke:#F0EDFA, stroke-width:1.5px, rx:12, ry:12, color:#6B21A8 style D fill:#F7F5FD, stroke:#F0EDFA, stroke-width:1.5px, rx:12, ry:12, color:#6B21A8 style E fill:#FDF4F3, stroke:#FCE6E4, stroke-width:1.5px, rx:12, ry:12, color:#B91C1C
> ⭐ **Exam Favorite:** Regardless of the biochemical type, all amyloid deposits stain with Congo red, producing a characteristic apple-green birefringence when viewed under polarized light. This is the gold standard for diagnosis.
## Clinical Picture & Dx - Systemic Sabotage
* **Systemic Involvement** - a multi-organ assault:
- **Cardiac:** Restrictive cardiomyopathy (diastolic dysfunction) → HFpEF. Classic finding: ↓ voltage ECG with ↑ ventricular wall thickness on echo.
- **Renal:** Nephrotic syndrome is the hallmark. Massive proteinuria, edema.
- **GI:** Macroglossia (enlarged, scalloped tongue), malabsorption, hepatosplenomegaly.
- **Neurologic:** Peripheral & autonomic neuropathy (e.g., carpal tunnel, orthostatic hypotension).
> ⭐ Low voltage on ECG despite a thickened myocardium on echocardiogram is a pathognomonic finding for cardiac amyloidosis.
* **Definitive Diagnosis:**
```mermaid
%%{init: {'flowchart': {'htmlLabels': true}}}%%
flowchart TD
Start["<b>📋 Clinical Suspicion</b><br><span style='display:block; text-align:left; color:#555'>• Assess symptoms</span><span style='display:block; text-align:left; color:#555'>• Organ dysfunction</span>"]
Biopsy["<b>🔬 Biopsy</b><br><span style='display:block; text-align:left; color:#555'>• Tissue sampling</span><span style='display:block; text-align:left; color:#555'>• Pathological exam</span>"]
Site["<b>📍 Biopsy Site</b><br><span style='display:block; text-align:left; color:#555'>• Abdominal fat pad</span><span style='display:block; text-align:left; color:#555'>• Rectal submucosa</span>"]
Congo["<b>🔬 Congo Red Stain</b><br><span style='display:block; text-align:left; color:#555'>• Amyloid affinity</span><span style='display:block; text-align:left; color:#555'>• Binding pattern</span>"]
Apple["<b>🍏 Birefringence</b><br><span style='display:block; text-align:left; color:#555'>• Apple-green color</span><span style='display:block; text-align:left; color:#555'>• Polarized light</span>"]
MassSpec["<b>🔬 Mass Spectrometry</b><br><span style='display:block; text-align:left; color:#555'>• Amyloid typing</span><span style='display:block; text-align:left; color:#555'>• Protein analysis</span>"]
Start --> Biopsy
Biopsy --> Site
Site -->|Staining| Congo
Congo -->|Polarized Light| Apple
Apple -->|For Typing| MassSpec
style Start fill:#FEF8EC, stroke:#FBECCA, stroke-width:1.5px, rx:12, ry:12, color:#854D0E
style Biopsy fill:#FFF7ED, stroke:#FFEED5, stroke-width:1.5px, rx:12, ry:12, color:#C2410C
style Site fill:#FFF7ED, stroke:#FFEED5, stroke-width:1.5px, rx:12, ry:12, color:#C2410C
style Congo fill:#FFF7ED, stroke:#FFEED5, stroke-width:1.5px, rx:12, ry:12, color:#C2410C
style Apple fill:#F6F5F5, stroke:#E7E6E6, stroke-width:1.5px, rx:12, ry:12, color:#525252
style MassSpec fill:#FFF7ED, stroke:#FFEED5, stroke-width:1.5px, rx:12, ry:12, color:#C2410C

High‑Yield Points - ⚡ Biggest Takeaways
- Primary (AL) amyloidosis is caused by monoclonal plasma cells depositing Ig light chains.
- Secondary (AA) amyloidosis complicates chronic inflammation (e.g., RA), depositing serum amyloid A (SAA).
- ATTR amyloidosis involves transthyretin deposits, causing restrictive cardiomyopathy, especially in the elderly.
- Dialysis-related amyloidosis results from β2-microglobulin accumulation, often presenting with carpal tunnel syndrome.
- Alzheimer's disease is characterized by cerebral Aβ amyloid plaques.
- The pathognomonic finding for all types is Congo red staining with apple-green birefringence.
Unlock the full lesson and continue reading
Signup to continue reading this lesson and unlimited access questions, flashcards, AI notes, and more