RBC Indices & Basics - Know Your Doughnuts

- MCV (Mean Corpuscular Volume): Average RBC size. Defines anemias:
-
- Microcytic: <80 fL
-
- Normocytic: 80-100 fL
-
- Macrocytic: >100 fL
-
- MCHC (Mean Corpuscular Hemoglobin Conc.): Avg. Hb concentration. ↑ in spherocytosis.
- RDW (Red Cell Distribution Width): Measures size variation (anisocytosis).
⭐ RDW is typically normal in thalassemia trait but elevated in iron deficiency anemia, helping differentiate these two microcytic anemias.
Microcytic Anemias - Small Cells, Big Problems
- Defined by Mean Corpuscular Volume (MCV) < 80 fL. Common causes are due to defective heme or globin synthesis.
- 📌 Mnemonic: TAILS
- Thalassemia
- Anemia of chronic disease
- Iron deficiency
- Lead poisoning
- Sideroblastic anemia

| Condition | Iron | TIBC | Ferritin | Key Features |
|---|---|---|---|---|
| Iron Deficiency | ↓ | ↑ | ↓ | Pica, koilonychia |
| Anemia of Chronic Disease | ↓ | ↓ | ↑ / N | ↑ Hepcidin |
| Thalassemias (α & β) | ↑ | N | ↑ | Target cells, normal RDW |
| Sideroblastic Anemia | ↑ | N | ↑ | Ring sideroblasts, basophilic stippling |
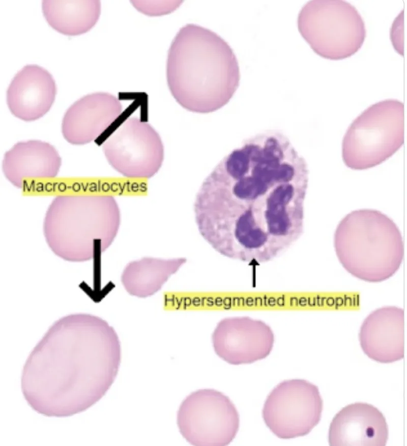
Macrocytic Anemias - Large & In Charge
-
Anemia with Mean Corpuscular Volume (MCV) > 100 fL. Key division: Megaloblastic vs. Non-megaloblastic.
-
Megaloblastic Anemia: Impaired DNA synthesis → delayed nuclear maturation.
- Causes: Folate (B9) & Cobalamin (B12) deficiency.
- Labs: ↑ Homocysteine. In B12 deficiency, also ↑ Methylmalonic Acid (MMA).
- Smear: Hypersegmented neutrophils (>5 lobes), macro-ovalocytes.
⭐ Neurological symptoms (subacute combined degeneration) are specific to B12 deficiency, not folate!
-
Non-Megaloblastic Anemia: Normal DNA synthesis.
- Causes: Liver disease, alcoholism, hypothyroidism.

Normocytic Anemias - Just Right, Still Wrong
- Definition: Anemia with normal-sized red blood cells (MCV 80-100 fL), but ↓ total RBC count. The primary distinction is whether the bone marrow is responding appropriately (↑ reticulocytes).
- Hereditary Spherocytosis: Autosomal dominant defect in spectrin or ankyrin. Leads to loss of membrane, creating spherocytes. Diagnosed with osmotic fragility test. ↑ MCHC is characteristic.
⭐ Paroxysmal Nocturnal Hemoglobinuria (PNH): The only hemolytic anemia caused by an acquired genetic defect (PIGA gene). Presents with a classic triad of hemolytic anemia, pancytopenia, and venous thrombosis.
Polycythemia - Too Much of a Good Thing
- Definition: Increased RBC mass, with Hematocrit >49% in males, >48% in females.
- Primary (Polycythemia Vera): Neoplastic proliferation of myeloid cells.
- JAK2 V617F mutation is key.
- Features ↓ EPO, generalized pruritus (especially post-shower), plethora, and splenomegaly.
- Secondary: Response to ↑ EPO.
- Physiologic: High altitude, COPD.
- Pathologic: EPO-secreting tumors (Renal Cell Carcinoma).
- Relative: ↓ plasma volume (e.g., dehydration).
⭐ In Polycythemia Vera, despite low EPO levels, RBC production is autonomous and uncontrolled due to the JAK2 mutation.
High‑Yield Points - ⚡ Biggest Takeaways
- Iron deficiency anemia, the most common type, presents with microcytic, hypochromic cells and low ferritin.
- Anemia of chronic disease shows normocytic cells, high ferritin, and is driven by hepcidin.
- Megaloblastic anemias (B12/folate) feature macrocytic RBCs and hypersegmented neutrophils; only B12 causes neurologic deficits.
- Sickle cell anemia results from a β-globin point mutation, leading to vaso-occlusive crises and autosplenectomy.
- G6PD deficiency is an X-linked disorder causing hemolysis with oxidative triggers, showing Heinz bodies and Bite cells.
- Hereditary spherocytosis is an autosomal dominant defect causing spherocytes and an increased MCHC.
Unlock the full lesson and continue reading
Signup to continue reading this lesson and unlimited access questions, flashcards, AI notes, and more