MGUS & Intro - The Quiet Spike
- Monoclonal Gammopathy of Undetermined Significance (MGUS): Asymptomatic premalignant clonal plasma cell proliferation.
- Key Criteria:
- Serum M-protein < 3 g/dL
- Clonal bone marrow plasma cells < 10%
- Absence of CRAB criteria (hypercalcemia, renal failure, anemia, bone lesions).
⭐ The vast majority of Multiple Myeloma cases are preceded by an MGUS stage.
Multiple Myeloma - CRAB's Bone Party
- Malignant proliferation of plasma cells in bone marrow, producing monoclonal immunoglobulin (usually IgG > IgA).
- Presents in elderly; most common primary tumor of bone.
Pathophysiology & Diagnosis
- M-spike on serum protein electrophoresis (SPEP).
- Bone marrow biopsy: >10% clonal plasma cells.
- Peripheral smear: Rouleaux formation (RBCs stacked like coins).
- Urine: Bence-Jones proteins (Ig light chains) → renal failure.
📌 CRAB Criteria for End-Organ Damage:
- Calcium ↑ (Hypercalcemia)
- Renal insufficiency
- Anemia (normocytic, normochromic)
- Bone lesions / Back pain
- Lytic, "punched-out" lesions on X-ray, especially in the skull and vertebral column.

⭐ Rouleaux formation is caused by decreased charge between RBCs due to increased serum protein (paraproteins).
Waldenström's - The IgM Giant
- Lymphoplasmacytic lymphoma defined by a monoclonal IgM M-spike.
- Causes hyperviscosity syndrome due to large IgM pentamers.
- Presents with blurry vision, headaches, vertigo, Raynaud phenomenon.
- Unlike Multiple Myeloma, no lytic bone lesions or hypercalcemia.
- Diagnosis: Bone marrow biopsy shows >10% clonal lymphoplasmacytic cells.
⭐ Hyperviscosity syndrome (e.g., sausage-link retinal veins) is the classic presentation and a medical emergency requiring plasmapheresis.

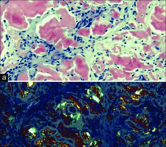
AL Amyloidosis - Misfolded Mayhem
- Pathophysiology: Clonal plasma cells produce misfolded Ig light chains (λ > κ), forming insoluble β-pleated sheets that deposit in tissues.
- Key Manifestations:
- Heart: Restrictive cardiomyopathy (primary cause of death).
- Kidney: Nephrotic syndrome.
- Classic Signs: Macroglossia, periorbital purpura ("raccoon eyes").
- Diagnosis: Tissue biopsy showing apple-green birefringence with Congo red stain under polarized light.

⭐ Despite thickened ventricular walls on echocardiogram, the EKG in cardiac amyloidosis classically shows low voltage QRS complexes.
High‑Yield Points - ⚡ Biggest Takeaways
- Multiple Myeloma presents with the CRAB criteria: Calcium ↑, Renal failure, Anemia, and lytic Bone lesions.
- Diagnostics show a monoclonal M-protein spike (IgG > IgA) and Bence Jones light chains in the urine.
- Peripheral smear classically shows Rouleaux formation (stacked RBCs).
- Waldenström macroglobulinemia features an IgM spike, causing hyperviscosity syndrome but no lytic bone lesions.
- MGUS is an asymptomatic precursor with a smaller M-spike and <10% bone marrow plasma cells.
Unlock the full lesson and continue reading
Signup to continue reading this lesson and unlimited access questions, flashcards, AI notes, and more