MDS Intro - The Failing Factory
- Clonal hematopoietic stem cell disorders causing ineffective hematopoiesis (a dysfunctional bone marrow factory).
- Leads to peripheral cytopenias (anemia, neutropenia, thrombocytopenia) despite a normo- or hypercellular marrow.
- Hallmark is dysplasia (abnormal cell morphology) in one or more myeloid lineages.
- Considered a pre-leukemic condition with risk of transformation to Acute Myeloid Leukemia (AML), defined by ≥20% blasts.
⭐ The central paradox of MDS is a hypercellular, "packed" bone marrow that yields peripheral cytopenias due to defective, apoptotic cells.

Pathophysiology - Corrupted Blueprints
- Clonal mutation in a hematopoietic stem cell (HSC) is the primary insult.
- Leads to ineffective hematopoiesis: marrow is hypercellular but cells are defective (dysplastic) and undergo apoptosis.
- Results in peripheral blood cytopenias (anemia, neutropenia, thrombocytopenia).
- Dysplastic changes visible in one or more cell lines (e.g., pseudo-Pelger-Huët cells, ring sideroblasts).
- Represents a pre-malignant state with a high risk of transformation to Acute Myeloid Leukemia (AML).

⭐ MDS with isolated del(5q) is a unique subtype with a favorable prognosis, often presenting with thrombocytosis, and showing a robust response to lenalidomide therapy.
Diagnosis & Features - Spotting the Sabotage
- Complete Blood Count (CBC):
- Hallmark: Unexplained, persistent cytopenia(s), especially macrocytic anemia (↑ MCV).
- Peripheral Blood Smear:
- Shows dysplastic features in ≥1 cell line.
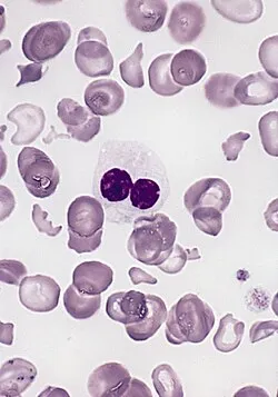
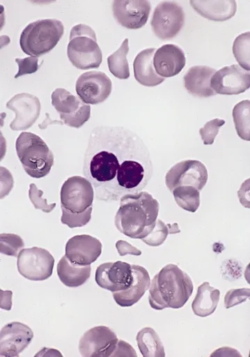
- WBCs: Pseudo-Pelger-Huët cells (bilobed nuclei).
- RBCs: Ovalomacrocytes.
- Platelets: Giant or hypogranular platelets.
- Bone Marrow Aspirate & Biopsy (Definitive Dx):
- Hypercellular marrow despite peripheral cytopenias.
- Dysplasia in ≥10% of cells in a lineage.
- Key: Myeloblasts < 20%.
⭐ A blast count of ≥ 20% in the bone marrow or blood signifies transformation to Acute Myeloid Leukemia (AML).
Morphology & Subtypes - A Rogues' Gallery
- Hallmark: Ineffective hematopoiesis → peripheral cytopenias despite a hypercellular or normocellular bone marrow.
- Key Feature (Dyspoiesis): Abnormal maturation in ≥1 cell line.
- Erythroid: Ring sideroblasts (>15% of precursors), megaloblastoid changes, nuclear budding.
- Myeloid: Pseudo-Pelger-Huët cells (bilobed nuclei), hypogranulation.
- Megakaryocytic: Micromegakaryocytes, "pawnball" nuclei (small, non-lobated).
- Blasts: Bone marrow blasts are < 20%; reaching this threshold signifies transformation to AML.

⭐ MDS with isolated del(5q): Typically affects older women, presenting with macrocytic anemia, a normal or elevated platelet count, and carrying a favorable prognosis.
Prognosis & Treatment - Damage Control
- Prognosis: Stratified by the IPSS-R score, which predicts survival and AML transformation risk. Key factors include marrow blast %, cytogenetics, and severity of cytopenias.
- Supportive Care (Damage Control): The mainstay for lower-risk MDS, focused on managing marrow failure.
- Anemia: RBC transfusions for symptoms; ESAs if serum EPO is <500 U/L.
- Thrombocytopenia: Platelet transfusions for active bleeding.
- Neutropenia: G-CSF for recurrent infections.
- Iron Overload: Iron chelation for patients with chronic transfusion needs.
⭐ Isolated del(5q) syndrome is a unique entity with a favorable prognosis and high response rates to lenalidomide.
High‑Yield Points - ⚡ Biggest Takeaways
- Clonal stem cell disorders in the elderly, leading to ineffective hematopoiesis and peripheral cytopenias.
- Hallmark is dysplasia in one or more myeloid lineages, such as pseudo-Pelger-Huët cells and ring sideroblasts.
- Bone marrow is paradoxically hypercellular despite low peripheral blood counts.
- Patients often present with a macrocytic anemia (↑ MCV) resistant to standard therapies.
- Carries a high risk of progression to Acute Myeloid Leukemia (AML).
- The del(5q) syndrome subtype has a more favorable prognosis and often responds to lenalidomide.
Unlock the full lesson and continue reading
Signup to continue reading this lesson and unlimited access questions, flashcards, AI notes, and more