Overview - The Reed-Sternberg Show
- Bimodal age distribution: Peaks at 15-35 years and >55 years.
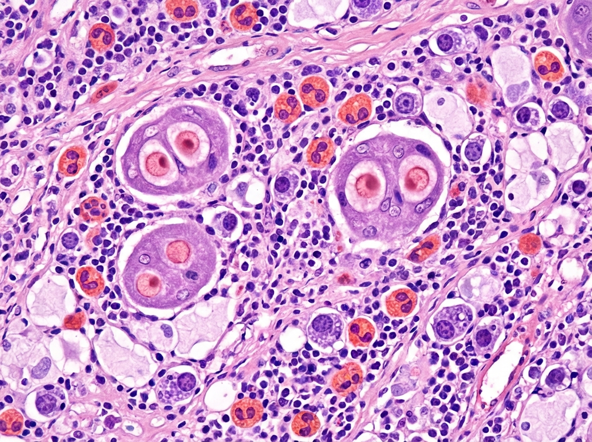
- Characterized by the Reed-Sternberg (RS) cell: A large, malignant B-cell.
- Morphology: Binucleated or bilobed nucleus with prominent eosinophilic nucleoli ("owl-eye" inclusions).
- Immunophenotype: Typically CD15+ and CD30+. (Negative for CD45 & CD20).
- š Mnemonic: 2 x 15 = 30 for positive markers.

ā The vast majority of the tumor mass in Hodgkin lymphoma is composed of reactive, non-neoplastic inflammatory cells (lymphocytes, eosinophils, plasma cells), not the malignant RS cells themselves.
Pathophysiology - Finding the Owl's Eyes
- Hallmark Cell: The neoplastic Reed-Sternberg (RS) cell is diagnostic.
- Derived from germinal center B-cells.
- Large cell with a bilobed nucleus and prominent eosinophilic nucleoli, creating the classic "owl's eye" appearance.
- Immunophenotype: RS cells are characteristically CD15+ and CD30+. They are negative for most B-cell markers like CD20.
- Tumor Microenvironment: RS cells are rare (~1-2% of tumor mass). They secrete cytokines that recruit a vast, non-neoplastic inflammatory infiltrate, forming the bulk of the lymphoma.

ā Epstein-Barr Virus (EBV) is implicated in ~45% of classical Hodgkin lymphoma cases. EBV proteins can drive B-cell proliferation and contribute to the development of RS cells.
Classification - The Hodgkin Family
- Classical Hodgkin Lymphoma (cHL): Accounts for ~95% of cases. Defined by the presence of diagnostic Reed-Sternberg cells.
- Nodular Sclerosis (NSHL): The most common subtype (~70%). Typically affects young adults, particularly women. Histology shows fibrous collagen bands and lacunar cells (a variant of RS cells).

- Mixed Cellularity (MCHL): Represents ~25% of cases. Strong association with EBV infection (~70%). The background infiltrate is rich in eosinophils and plasma cells.
- Lymphocyte-Rich (LRHL): An uncommon subtype (~5%) with an excellent prognosis.
- Lymphocyte-Depleted (LDHL): The rarest form (<1%), carrying the worst prognosis. Often seen in older adults and individuals with HIV.
- Nodular Sclerosis (NSHL): The most common subtype (~70%). Typically affects young adults, particularly women. Histology shows fibrous collagen bands and lacunar cells (a variant of RS cells).
ā Exam Favorite: The classic Reed-Sternberg cells of cHL have a distinct immunophenotype: they are positive for CD15 and CD30, but negative for the pan-leukocyte marker CD45 and the B-cell marker CD20.
- Nodular Lymphocyte-Predominant Hodgkin Lymphoma (NLPHL): A distinct entity making up ~5% of cases. It is characterized by lymphocytic and histiocytic (L&H) cells, often called "popcorn cells". These cells are CD20+ and CD45+ but negative for CD15/CD30.
Staging & Treatment - Mapping the Battle
- Ann Arbor Staging:
- Stage I: Single lymph node region.
- Stage II: ā„2 node regions, same side of diaphragm.
- Stage III: Nodes on both sides of diaphragm.
- Stage IV: Disseminated extralymphatic sites.
- Modifiers: A (asymptomatic) vs. B (fever, night sweats, weight loss).

ā In early-stage favorable classic Hodgkin lymphoma, radiation therapy (RT) is often combined with a shortened course of chemotherapy (e.g., 2 cycles of ABVD) to minimize long-term toxicity.
- Pathognomonic Reed-Sternberg (RS) cells are large, binucleated B-cells with an "owl-eyed" appearance.
- RS cells secrete cytokines, causing B symptoms (fever, night sweats, weight loss) and attracting a reactive cellular infiltrate.
- Typically presents as painless lymphadenopathy with a contiguous, predictable spread to adjacent node groups.
- Nodular sclerosis is the most common subtype, often affecting young women and characterized by fibrous bands.
- Generally has an excellent prognosis with high cure rates.
Unlock the full lesson and continue reading
Signup to continue reading this lesson and unlimited access questions, flashcards, AI notes, and more