Chronic Leukemias - The Slow Creep
- General: Insidious onset, mature circulating cells, older adults.
| Leukemia | Cell Type | Key Feature / Genetics | Buzzwords |
|---|---|---|---|
| CML | Neutrophils | t(9;22), BCR-ABL | Philadelphia Chromosome, low LAP |
| CLL | B-cells | CD5+, CD20+ | Smudge cells, Richter transformation |
| Hairy Cell | B-cells | BRAF mutation | TRAP positive, "dry tap" |
| ATLL | T-cells | HTLV-1 | Flower cells, lytic bone lesions |
CLL / SLL - Smudge & Grudge
- CLL (Chronic Lymphocytic Leukemia) & SLL (Small Lymphocytic Lymphoma) are the same B-cell neoplasm, differing in primary location (blood vs. lymph nodes). Most common adult leukemia in the West; typically affects elderly (>60 yrs).
- Pathognomonic Finding: Peripheral smear shows significant lymphocytosis with fragile lymphocytes, creating characteristic smudge cells.
- 📌 Crushed Little Lymphocytes.
- Diagnosis: Flow cytometry confirms clonality with co-expression of B-cell markers (CD19, CD20, CD23) and the T-cell marker CD5.
- Complications:
- Hypogammaglobulinemia → recurrent infections (common cause of death).
- Richter transformation to aggressive large B-cell lymphoma.
⭐ A classic complication is the development of autoimmune hemolytic anemia (AIHA), often due to warm agglutinins.
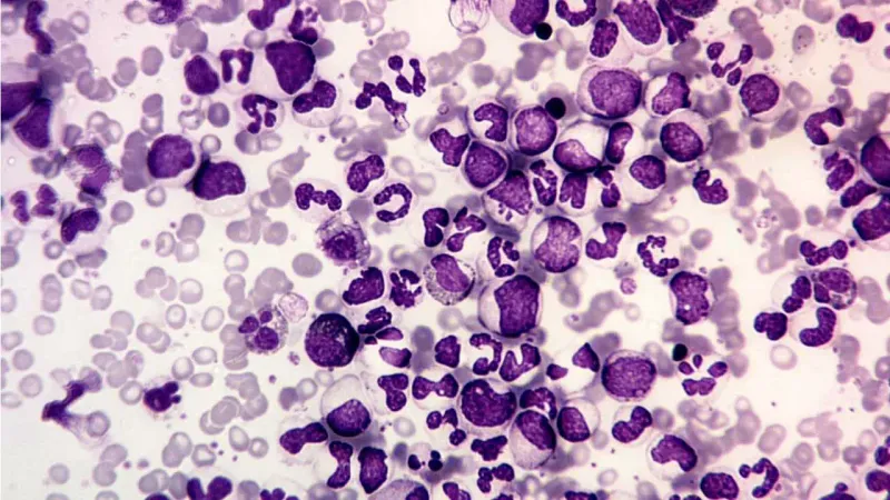
CML - A Philly Story

- Pathogenesis: Driven by t(9;22), creating the BCR-ABL fusion gene with ↑ tyrosine kinase activity.
- Presentation: Often asymptomatic. Can have fatigue, weight loss, and massive splenomegaly.
- Labs: Marked leukocytosis (>100,000/mm³). See all stages of myeloid maturation. Basophilia is a key finding.
- Phases:
- Chronic: <10% blasts.
- Accelerated: 10-19% blasts.
- Blast Crisis: ≥20% blasts; transforms to AML/ALL.
- Treatment: Tyrosine Kinase Inhibitors (TKIs) like Imatinib.
⭐ CML is distinguished from a leukemoid reaction by a low Leukocyte Alkaline Phosphatase (LAP) score. A leukemoid reaction shows a high LAP score.
Hairy Cell Leukemia - TRAPped in Spleen
- Chronic B-cell neoplasm, typically affecting older males (>50 years).
- Clinical Picture: Insidious onset of pancytopenia (leading to infections, fatigue, bleeding) and massive splenomegaly from red pulp infiltration. Bone marrow aspiration often results in a "dry tap" due to extensive reticulin fibrosis.
- Diagnosis:
- Peripheral Smear: Shows lymphocytes with fine, hair-like cytoplasmic projections.
- 📌 Stain: Cells are positive for Tartrate-Resistant Acid Phosphatase ($TRAP^+$).
- Immunophenotype: Expresses pan B-cell markers (CD19, CD20) plus characteristic CD11c, CD25, and CD103.
⭐ The BRAF V600E mutation is present in over 90% of cases, serving as a highly specific diagnostic marker.

High‑Yield Points - ⚡ Biggest Takeaways
- CLL, the most common adult leukemia, shows CD5+ B-cells and smudge cells; beware of Richter transformation.
- CML is driven by the Philadelphia chromosome (t(9;22)), creating the BCR-ABL fusion gene targeted by tyrosine kinase inhibitors.
- CML presents with marked leukocytosis and can progress to a blast crisis.
- Hairy cell leukemia features TRAP-positive cells with cytoplasmic projections and BRAF mutations.
- Chronic leukemias involve mature cells and have an insidious onset.
Unlock the full lesson and continue reading
Signup to continue reading this lesson and unlimited access questions, flashcards, AI notes, and more