Intestinal Infections - Gut Feelings Gone Wrong
- Watery Diarrhea (Non-inflammatory):
- Vibrio cholerae, ETEC, Rotavirus.
- Mechanism: Non-invasive, toxin-mediated secretion in the small bowel.
- Bloody Diarrhea (Inflammatory/Dysentery):
- Campylobacter, Shigella, Salmonella, EHEC, Entamoeba histolytica.
- Mechanism: Invasion or cytotoxin damaging the large bowel mucosa.
- Key Associations:
- Campylobacter: Guillain-Barré syndrome.
- Yersinia enterocolitica: Pseudoappendicitis.
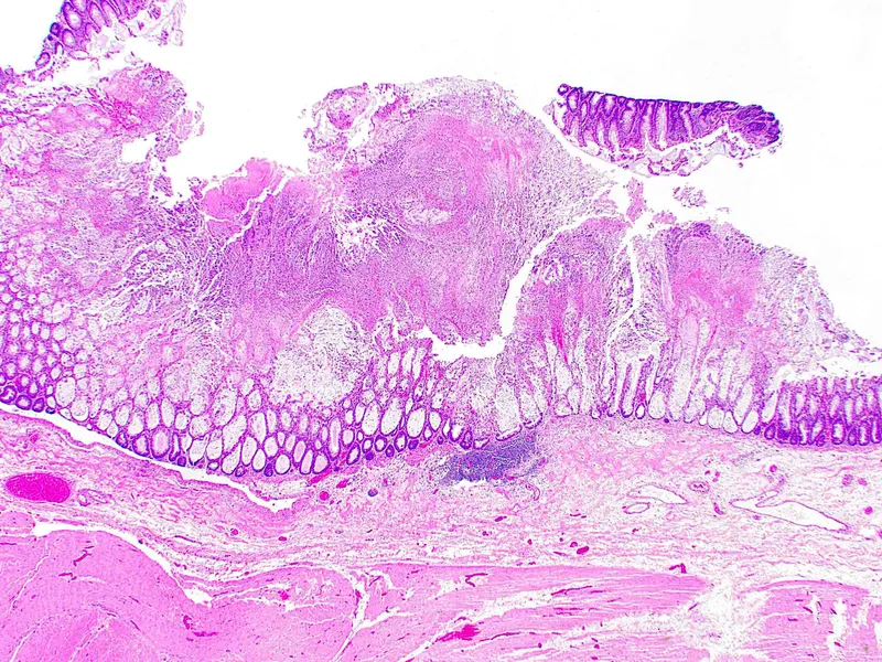
- C. difficile: Pseudomembranous colitis after antibiotics.
⭐ EHEC O157:H7 can cause Hemolytic Uremic Syndrome (HUS); unlike other E. coli, it does not ferment sorbitol.

Watery Diarrhea - The Toxin Tap Dance
- Pathophysiology: Non-invasive, toxin-mediated intestinal fluid secretion. No inflammation or mucosal destruction.
- Key Organisms & Toxins:
- Vibrio cholerae: Cholera toxin activates Gs → ↑ adenylate cyclase → ↑ cAMP → massive Cl⁻ secretion. Classic "rice-water" stools.
- ETEC: Traveler's diarrhea.
- Heat-Labile Toxin (LT): ↑ cAMP (like choLerA).
- Heat-Stable Toxin (ST): ↑ cGMP.
- Bacillus cereus: Diarrheal type produces watery diarrhea via a heat-labile enterotoxin.
- Staphylococcus aureus: Rapid-onset from preformed heat-stable enterotoxin.

⭐ 📌 Mnemonic (ETEC): "Labile in the Air, Stable on the Ground." (LT → cAMP, ST → cGMP)
Inflammatory Diarrhea - Bloody Battle in Bowels
- General: Invasion of intestinal mucosa → fever, tenesmus, fecal leukocytes, blood/pus in stool.
- Key Pathogens & Features:
- Campylobacter jejuni: Most common bacterial cause. Guillain-Barré syndrome (GBS) risk. S-shaped organism, grows at 42°C. From undercooked poultry.
- Shigella: Low infectious dose. Invades M cells. Produces Shiga toxin → HUS risk. Fecal-oral spread (daycares).
- Salmonella (non-typhoidal): From poultry, eggs. Risk of osteomyelitis in sickle cell disease.
- EHEC (O157:H7): Shiga-like toxin (SLT). HUS risk. From undercooked beef. Does not ferment sorbitol.
- Yersinia enterocolitica: Mimics appendicitis (pseudoappendicitis). From pork, unpasteurized milk.
- Entamoeba histolytica: Protozoa. "Flask-shaped" ulcers. Liver abscess (anchovy paste). Trophozoites with ingested RBCs.
📌 Mnemonic (Bloody Stool): "Calmly Eat Some Salty Yogurt" - Campylobacter, Entamoeba, Shigella, Salmonella, Yersinia.

⭐ EHEC/STEC Infection: Avoid antibiotics! They can ↑ release of Shiga-like toxin, increasing the risk of developing Hemolytic Uremic Syndrome (HUS).
Protozoal Pathogens - Uninvited Microscopic Guests

- Giardia lamblia
- Transmission: Cysts from contaminated water (camping/hiking).
- Symptoms: Fatty, foul-smelling diarrhea (steatorrhea), bloating, malabsorption.
- Dx: Trophozoites or cysts in stool (O&P exam).
- Entamoeba histolytica
- Symptoms: Bloody diarrhea (dysentery), RUQ pain.
- Complications: Liver abscess (classic "anchovy paste" consistency).
- Dx: Trophozoites with engulfed RBCs in stool.
- Cryptosporidium spp.
- Symptoms: Severe, chronic watery diarrhea in immunocompromised.
- High-risk: AIDS patients with CD4 count < 100 cells/mm³.
- Dx: Oocysts on modified acid-fast stain.
⭐ High-Yield: E. histolytica invades the colonic submucosa, creating characteristic "flask-shaped" ulcers visible on histology.
High‑Yield Points - ⚡ Biggest Takeaways
- Rotavirus is the leading cause of severe diarrhea in young children, causing villous atrophy.
- Norovirus is the most common cause of diarrhea in adults, often in outbreaks on cruise ships.
- Campylobacter jejuni is the most frequent cause of bacterial enterocolitis and a key trigger for Guillain-Barré syndrome.
- EHEC (O157:H7), from undercooked beef, causes bloody diarrhea and HUS; it does not ferment sorbitol.
- Clostridioides difficile infection, often following antibiotic use, results in pseudomembranous colitis.
Unlock the full lesson and continue reading
Signup to continue reading this lesson and unlimited access questions, flashcards, AI notes, and more