Structural & Motor Issues - Gut Feeling Gone Wrong
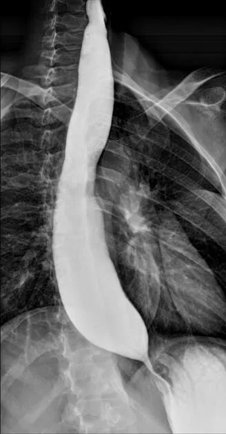
- Achalasia: Dysphagia to solids and liquids. Failure of LES relaxation + loss of peristalsis. Caused by loss of Auerbach (myenteric) plexus.
- Barium swallow shows "bird-beak" sign.
- Associated with Chagas disease & eosinophilic esophagitis.
- Mallory-Weiss Syndrome: Partial-thickness mucosal tear at GE junction from forceful retching. Painful hematemesis.
- Boerhaave Syndrome: Transmural, distal esophageal rupture. Surgical emergency.
- Presents with severe chest pain, crepitus (Hamman's sign).
- Esophageal Webs/Rings: Dysphagia to solids.
- Plummer-Vinson Syndrome: š Triad: Esophageal webs, iron-deficiency anemia, dysphagia.

ā Patients with long-standing achalasia have an increased risk for developing esophageal squamous cell carcinoma.
Esophagitis - The Burning Question
- Reflux (GERD): Most common. Histo: Basal zone hyperplasia, elongated lamina propria papillae, scattered eosinophils & neutrophils.
- Eosinophilic (EoE): Allergic history (asthma, food allergies). Endoscopy: Stacked circular rings ("feline esophagus"), linear furrows. Histo: >15 eosinophils per high-power field (hpf).
- Infectious: Occurs in immunocompromised hosts.
- Candida: White pseudomembranes; pseudohyphae on biopsy.
- HSV-1: Punched-out ulcers; Cowdry type A inclusions.
- CMV: Linear ulcers; "owl's eye" inclusions.
- Pill-Induced: Bisphosphonates, tetracyclines, NSAIDs. Causes sudden-onset odynophagia.
ā Eosinophilic esophagitis is distinguished from GERD by dense eosinophilic infiltration (>15/hpf) and frequent non-response to proton pump inhibitor (PPI) trials.

GERD Complications - Barrett's & Bleeds
-
Barrett's Esophagus: Intestinal metaplasia (squamous ā columnar epithelium) in the distal esophagus.
- Key risk factor for esophageal adenocarcinoma.
- Dx: Endoscopy shows salmon-colored mucosa extending >1 cm above the gastroesophageal junction; biopsy confirms goblet cells.
- Management: High-dose PPIs and regular endoscopic surveillance.
-
Bleeding: Can manifest as hematemesis or melena.
- Erosive Esophagitis: Chronic acid damages mucosa, causing superficial bleeding.
- Esophageal Ulcers: Deeper erosions leading to more significant bleeding.
- Mallory-Weiss Tears: Longitudinal tears at the GE junction from forceful retching.
ā High-Yield: The definitive diagnosis of Barrett's esophagus requires biopsy confirmation of intestinal metaplasia with goblet cells, not just endoscopic findings.

Esophageal Neoplasms - Malignant Highway
- Two main types: Squamous Cell Carcinoma (SCC) & Adenocarcinoma.
- Presents with progressive dysphagia (solids ā liquids), weight loss, odynophagia.
- SCC: More common worldwide. š Squamous ~ Superior.
- Adenocarcinoma: More common in the US. š Adeno ~ Above stomach.
ā Adenocarcinoma has overtaken SCC as the most common type in the US, paralleling the rise in obesity and GERD.
HighāYield Points - ā” Biggest Takeaways
- GERD is the top cause of esophagitis, leading to Barrett esophagus (intestinal metaplasia), a precursor for adenocarcinoma in the distal third.
- Squamous cell carcinoma, linked to alcohol and tobacco, typically arises in the proximal two-thirds.
- Achalasia involves loss of the myenteric plexus, causing failed LES relaxation and a "bird-beak" sign.
- Mallory-Weiss tears are mucosal lacerations from vomiting; Boerhaave syndrome is a transmural rupture.
Unlock the full lesson and continue reading
Signup to continue reading this lesson and unlimited access questions, flashcards, AI notes, and more