Polyp Primer - Benign Bumps & Bad Seeds
- Non-Neoplastic (Benign)
- Hyperplastic: Most common; no malignant potential. Sawtooth/serrated appearance.
- Hamartomatous: Disorganized tissue. Includes Juvenile polyps & Peutz-Jeghers syndrome polyps.
- Neoplastic (Adenomatous): Premalignant; potential based on histology & size (↑ risk > 1 cm).
- Adenoma-Carcinoma Sequence: Progression from normal mucosa to cancer.

⭐ Villous histology carries the highest malignant potential of all adenomas. The more villous the features, the more vicious the polyp.
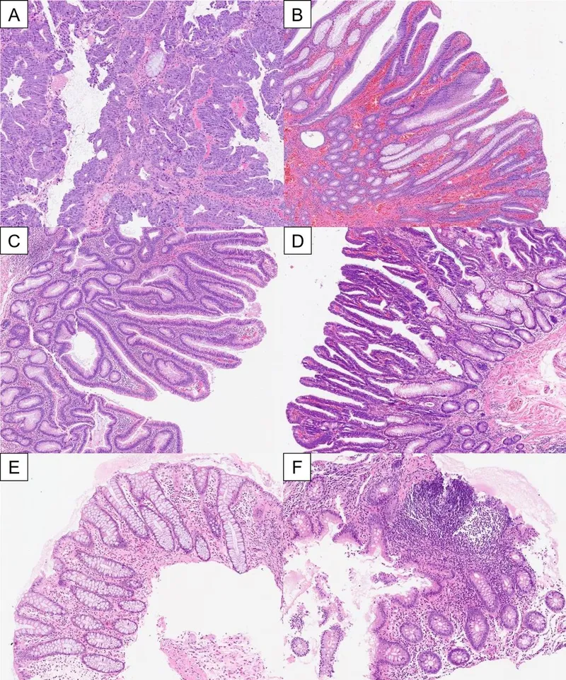
Adenomas - The Villains in Waiting
- Benign but premalignant precursors to colorectal carcinoma, characterized by epithelial dysplasia.
- Histologic Types:
- Tubular: Most common (~75%); pedunculated, smaller, lower cancer risk.
- Villous: Sessile, larger, high malignant potential. 📌 Villous is villainous.
- Tubulovillous: Mixture of features.
- Malignant potential correlates with ↑ size (>2 cm), ↑ villous histology, and high-grade dysplasia.
⭐ The adenoma-carcinoma sequence (mutations in APC, KRAS, p53) is the key pathway for most colorectal cancers.

Colorectal Carcinoma - The Final Boss
Two major molecular pathways lead to CRC:
- Presentation by Location:
- Right-sided (Ascending): Exophytic mass, iron deficiency anemia, weight loss.
- Left-sided (Descending): Infiltrating mass, obstruction, change in stool caliber, hematochezia.
- Diagnosis: Colonoscopy with biopsy is the gold standard.
- Staging: TNM staging is critical for prognosis and treatment.
- Tumor Marker: CEA (Carcinoembryonic Antigen) used for monitoring recurrence, not screening.
⭐ Right-sided (ascending) CRC often presents with insidious iron-deficiency anemia from occult bleeding, while left-sided (descending) CRC is more likely to cause obstruction and changes in bowel habits ("pencil-thin stools").
Family Matters - Inherited Risks
-
Familial Adenomatous Polyposis (FAP)
- Autosomal dominant mutation of APC gene on chromosome 5q.
- Develops 100s to 1000s of adenomatous polyps.
- Prophylactic colectomy required; 100% risk of CRC by age 40 if untreated.
- Variants: Gardner Syndrome (osteomas, skin cysts), Turcot Syndrome (brain tumors).
-
Lynch Syndrome (HNPCC)
- Autosomal dominant mutation in DNA mismatch repair genes (e.g., MSH1, MSH2).
- Associated with endometrial, ovarian, and skin cancers.
⭐ Amsterdam II Criteria for Lynch Syndrome (HNPCC): 3-2-1 Rule
- 3 or more relatives with Lynch-associated cancer (CRC, endometrial, etc.).
- 2 or more successive generations affected.
- 1 or more relatives diagnosed before age 50.

High‑Yield Points - ⚡ Biggest Takeaways
- Adenomatous polyps are the primary precursors to colorectal cancer (CRC), following the adenoma-carcinoma sequence (mutations in APC, KRAS, p53).
- Villous adenomas carry a significantly higher malignant risk than tubular adenomas.
- Familial Adenomatous Polyposis (FAP), an autosomal dominant condition from APC mutation, requires prophylactic colectomy.
- Lynch Syndrome (HNPCC) is the most common inherited CRC, caused by mismatch repair gene defects.
- Iron deficiency anemia in an older male is CRC until proven otherwise.
- Left-sided cancers often present with an "apple-core" lesion on imaging.
Unlock the full lesson and continue reading
Signup to continue reading this lesson and unlimited access questions, flashcards, AI notes, and more