Amyloidosis Basics - The Misfolded Mess
- Core Defect: Normally soluble proteins misfold, adopting an insoluble $β$-pleated sheet secondary structure.
- These abnormal fibrils aggregate extracellularly in various tissues.
- Resistant to native proteolysis, leading to progressive accumulation.
- Mechanism of Injury: Physical deposition causes tissue compression and disruption, ultimately leading to organ dysfunction.
- Common targets include kidneys (nephrotic syndrome), heart (restrictive cardiomyopathy), and nerves (neuropathy).
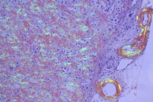
⭐ Histological Hallmark: Diagnosis requires tissue biopsy showing Congo Red staining, which produces a pathognomonic apple-green birefringence under polarized light.

Classification - The Protein Rogues Gallery
- Systemic vs. Localized: Amyloid can deposit throughout the body or in a single organ.
- Primary vs. Secondary: Primary (AL) arises from immunoglobulin light chains. Secondary (AA) results from chronic inflammation or infection.
| Fibril Protein | Precursor Protein | Associated Conditions |
|---|---|---|
| AL (Amyloid Light-chain) | Ig Light Chain (λ > κ) | Multiple Myeloma, Plasma Cell Dyscrasias |
| AA (Amyloid-Associated) | Serum Amyloid A (SAA) | Chronic Inflammation (RA, IBD, FMF) |
| Aβ (Beta-amyloid) | Amyloid Precursor Protein (APP) | Alzheimer Disease, Down Syndrome |
| ATTR (Transthyretin) | Transthyretin (TTR) | Senile Systemic Amyloidosis (wild-type), Familial Amyloid Polyneuropathies (mutant) |
| Aβ₂M (Beta-2 microglobulin) | β₂-microglobulin | Dialysis-Related Amyloidosis (esp. joints) |
⭐ Congo Red Staining: Regardless of the protein type, all amyloid deposits show characteristic apple-green birefringence under polarized light after staining with Congo red. This is a pathognomonic finding.
Clinical Picture & Dx - Spotting the Gunk
- Presentation is vague; depends on organ + protein type.
- Kidney (most common): Nephrotic syndrome (proteinuria, edema).
- Heart: Restrictive cardiomyopathy, arrhythmias. Macroglossia is a classic clue for AL type.
- GI: Malabsorption, hepatosplenomegaly.
- Nerves: Peripheral neuropathy, autonomic dysfunction (e.g., orthostatic hypotension).

- Diagnostic Workflow:
⭐ The pathognomonic finding is apple-green birefringence of Congo Red-stained tissue when viewed under polarized light. Without this, it's not amyloidosis.
- Amyloidosis is the extracellular deposition of misfolded fibrillar proteins, leading to tissue damage.
- The pathognomonic finding is Congo red staining that reveals apple-green birefringence under polarized light.
- AL (Primary) amyloidosis is caused by immunoglobulin light chains and is associated with plasma cell dyscrasias like multiple myeloma.
- AA (Secondary) amyloidosis is derived from serum amyloid A (SAA) and is linked to chronic inflammatory conditions.
- Transthyretin (TTR) is implicated in senile systemic amyloidosis.
- β2-microglobulin is the culprit in dialysis-related amyloidosis.
Unlock the full lesson and continue reading
Signup to continue reading this lesson and unlimited access questions, flashcards, AI notes, and more