Melanin & Melanocytes - The Pigment Factory
- Origin: Neural crest cells.
- Location: Stratum basale (basal layer) of the epidermis; 1 melanocyte per 10 basal keratinocytes.
- Function: Synthesize melanin within melanosomes and transfer them to adjacent keratinocytes.
- Protection: Melanin forms a supranuclear cap over the keratinocyte nucleus, shielding DNA from UV radiation damage.
⭐ The number of melanocytes is roughly the same across all skin phototypes; differences in skin color are due to the activity of melanocytes and the type, size, and distribution of melanosomes.
Hypopigmentation - Fading Away Fast
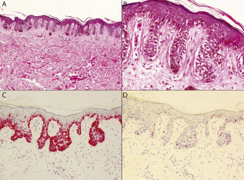
-
Vitiligo
- Autoimmune destruction of melanocytes → complete absence of pigment.
- Presents as well-demarcated, chalk-white macules & patches.
- Wood's lamp exam: accentuates lesions, causing them to fluoresce blue-white.
- Associated with other autoimmune disorders (e.g., thyroid disease, pernicious anemia).

-
Albinism (Oculocutaneous)
- Genetic; typically autosomal recessive.
- Normal melanocyte count, but defective tyrosinase enzyme → ↓ or absent melanin synthesis.
- Presents with white hair, pale skin, and translucent irides.
- ⚠️ High risk for squamous cell carcinoma & basal cell carcinoma due to lack of UV protection.
-
Pityriasis Alba
- Common in children/adolescents, often with atopic dermatitis history.
- Presents as ill-defined, hypopigmented macules with fine scale, typically on the face.
- Represents post-inflammatory hypopigmentation from a mild dermatitis.
⭐ Vitiligo vs. Albinism: The key distinction is the melanocyte count. In vitiligo, melanocytes are destroyed and absent. In albinism, melanocytes are present but cannot produce melanin.
Hyperpigmentation - The Dark Side
-
Ephelis (Freckle)
- Cause: ↑ Melanin production by normal-numbered melanocytes.
- Features: Small, light brown macules in sun-exposed areas. Darken with sun exposure, fade in winter.
- Histo: Normal number of melanocytes, but ↑ melanin in basal keratinocytes.
-
Lentigo Simplex
- Cause: Localized, linear proliferation of melanocytes.
- Features: Sharply demarcated, round/oval brown-to-black macules. Do not darken or fade with sun exposure.
- Histo: Linear, non-nested melanocytic hyperplasia in the basal layer.
-
Melasma (Chloasma)
- Cause: Hormone-related (pregnancy, OCPs) + UV exposure.
- Features: Symmetrical, blotchy hyperpigmentation on the face ("mask of pregnancy").
- Histo: ↑ Melanin deposition in all epidermal layers; may involve dermis (dermal melasma).

- Café-au-Lait Macules
- Features: Well-circumscribed, light-to-dark brown patches with irregular borders.
⭐ Having 6 or more café-au-lait macules larger than 1.5 cm in diameter is a key diagnostic criterion for Neurofibromatosis Type 1 (NF1).
High‑Yield Points - ⚡ Biggest Takeaways
- Vitiligo is an autoimmune disorder causing the complete destruction of melanocytes.
- Albinism results from normal melanocyte numbers but impaired melanin synthesis, typically due to tyrosinase deficiency.
- Melasma appears as facial hyperpigmentation often triggered by pregnancy or OCPs.
- Freckles (ephelides) show increased melanin, not melanocytes, and darken with sun exposure.
- Acanthosis nigricans, a velvety rash in flexures, signals insulin resistance or an underlying malignancy.
Unlock the full lesson and continue reading
Signup to continue reading this lesson and unlimited access questions, flashcards, AI notes, and more