Adnexal Tumors - A Hairy Situation
- Tumors of skin appendages, classified by origin: hair follicle, sebaceous, apocrine, or eccrine glands.
- Cylindroma: "Turban tumor" on head/scalp. Histology shows nests of basaloid cells fitting like a "jigsaw puzzle."
- Syringoma: Benign eccrine duct tumors, often on eyelids. Ducts have a characteristic comma or "tadpole" shape.
- Trichoepithelioma: Benign follicular tumor. Resembles Basal Cell Carcinoma (BCC) but lacks stromal retraction.
⭐ Brooke-Spiegler syndrome is an autosomal dominant condition caused by a germline mutation in the CYLD gene, leading to multiple cylindromas, trichoepitheliomas, and spiradenomas.
Follicular Tumors - Hair Apparent
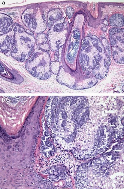
- Trichoepithelioma
- Benign, often multiple papules on the face.
- Histo: Basaloid islands, horn cysts, abortive hair papillae.
- Associated with Brooke-Spiegler syndrome (CYLD gene).
- Pilomatricoma (Pilomatrixoma)
- Solitary, firm, deep nodule; common in children/young adults.
- Histo: Basaloid cells, eosinophilic "ghost cells", and calcification.
- Trichilemmoma
- Smooth papule, often on the face.
- Histo: Lobules of clear cells (glycogen-rich), peripheral palisading.
- Marker for Cowden syndrome (PTEN mutation).

⭐ Pilomatricoma's key feature is "ghost cells" (anucleated shadow cells) on histology. It's often linked to activating mutations in the β-catenin gene (CTNNB1).
Sebaceous Tumors - Oily Origins

-
Sebaceous Adenoma:
- Benign, slow-growing yellow papule; typically on the head/neck of older adults.
- Histology: Lobules of mature sebocytes with bubbly, vacuolated cytoplasm mixed with basaloid cells.
-
Sebaceous Carcinoma:
- Malignant, aggressive tumor, often on the eyelid (Meibomian glands).
- May mimic chalazion or blepharitis, leading to delayed diagnosis.
- Histology: Infiltrative growth, cellular atypia, necrosis, and pagetoid spread.
⭐ Muir-Torre Syndrome: The presence of any sebaceous neoplasm (especially adenoma) should raise suspicion for this autosomal dominant syndrome, a variant of HNPCC/Lynch syndrome, associated with visceral malignancies (most commonly colorectal cancer).
Sweat Gland Tumors - Hot & Bothered
- Syringoma: Benign adenomas of intraepidermal eccrine ducts. Presents as multiple, small, skin-colored papules, typically around the eyes (periorbital). More common in women.
- Histo: Tadpole-like ducts.
- Eccrine Poroma: Benign tumor, often a solitary, pink/red papule or nodule on palms or soles of older adults.
- Cylindroma: Benign, slow-growing tumor. Can present as a solitary lesion or multiple nodules on the scalp ("turban tumor"). Associated with Brooke-Spiegler syndrome (AD, CYLD gene mutation).

⭐ On histology, cylindromas are classic for islands of basaloid cells that fit together tightly, resembling a "jigsaw puzzle."
High‑Yield Points - ⚡ Biggest Takeaways
- Cylindromas show a "jigsaw puzzle" pattern and are linked to Brooke-Spiegler syndrome, often presenting as a "turban tumor".
- Syringomas are benign sweat duct tumors, commonly appearing as small papules around the lower eyelids.
- Pilomatricomas are firm nodules with characteristic "ghost cells" on histology and are associated with myotonic dystrophy.
- Sebaceous carcinoma, an aggressive malignancy of the eyelid, is strongly associated with Muir-Torre syndrome.
- Trichoepitheliomas are benign follicular tumors; multiple lesions also suggest Brooke-Spiegler syndrome.
Unlock the full lesson and continue reading
Signup to continue reading this lesson and unlimited access questions, flashcards, AI notes, and more