Pathologic Calcification - Stone-Cold Facts
-
Dystrophic Calcification: Deposition in damaged or necrotic tissue despite normal serum Ca2+ levels.
- Examples: Atherosclerosis, aging/damaged heart valves, caseous necrosis in TB.
-
Metastatic Calcification: Deposition in normal tissue due to hypercalcemia (↑ serum Ca2+).
- Examples: Hyperparathyroidism, sarcoidosis, vitamin D toxicity. Affects kidneys, lungs, gastric mucosa.
⭐ Psammoma bodies are lamellated calcifications seen in Papillary thyroid carcinoma, Serous cystadenocarcinoma of ovary, Meningioma, and Mesothelioma (PSaMMoma).

Dystrophic Calcification - Damage Deposits
- Pathogenesis: Calcium deposition in damaged, dying, or necrotic tissue, occurring despite normal serum calcium and phosphate levels. It is a common indicator of previous cell injury.
- Mechanism:
- Initiation: Begins in the mitochondria of dying cells that accumulate calcium due to membrane damage and loss of calcium regulation.
- Propagation: Phosphatases in vesicle membranes bind calcium, creating a nidus for further calcium phosphate crystal formation and deposition.
- Morphology:
- Grossly: Fine, white, gritty granules or clumps.
- Microscopically: Basophilic, amorphous, granular clumps. Can form lamellated psammoma bodies.
- Clinical Examples:
- Atherosclerosis plaques
- Aging or damaged heart valves
- Caseous necrosis in tuberculosis

⭐ Key Distinctor: Dystrophic calcification occurs with normal serum calcium levels, differentiating it from metastatic calcification, which is driven by hypercalcemia.
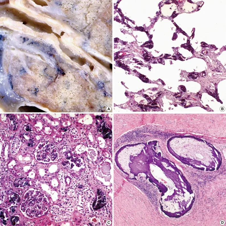
Metastatic Calcification - Systemic Stones
- Pathogenesis: Deposition of calcium salts in previously normal tissue, driven by a systemic mineral imbalance.
- Core Defect: Always secondary to hypercalcemia (↑ serum Ca²⁺). Normal serum calcium is 8.5-10.2 mg/dL.
- Mechanism: ↑ serum Ca²⁺ leads to an elevated calcium-phosphate product, causing precipitation in tissues with alkaline environments.
- Major Causes of Hypercalcemia:
- Hyperparathyroidism: Primary (adenoma) or secondary (renal failure).
- Bone Resorption: Malignancy (myeloma, PTHrP), Paget disease, immobilization.
- Vitamin D Disorders: Intoxication, sarcoidosis (macrophage activation of Vit D).
- Favored Tissues (lose acid → alkaline pH):
- Kidneys (nephrocalcinosis)
- Lungs (alveolar septa)
- Stomach (gastric mucosa)

⭐ In contrast to dystrophic calcification, which is often incidental, metastatic calcification can cause significant organ dysfunction, such as renal failure from extensive nephrocalcinosis.
High‑Yield Points - ⚡ Biggest Takeaways
- Dystrophic calcification deposits in damaged or necrotic tissue with normal serum calcium.
- Metastatic calcification deposits in normal, living tissue due to hypercalcemia.
- Dystrophic sites include atherosclerotic plaques, aging heart valves, and caseous necrosis.
- Metastatic sites include kidneys (nephrocalcinosis), lungs, and gastric mucosa.
- Psammoma bodies are lamellated calcifications seen in papillary thyroid carcinoma, meningioma, and serous ovarian tumors.
Unlock the full lesson and continue reading
Signup to continue reading this lesson and unlimited access questions, flashcards, AI notes, and more