Intracellular Accumulations - The Cellular Hoarders
- Four main pathways: Inadequate removal, excessive production, deposition of an abnormal exogenous substance, or inherited metabolic defects.
- Key Examples:
- Lipids: Steatosis (liver), cholesterol (atherosclerosis).
- Proteins: Mallory bodies (liver), Russell bodies (plasma cells).
- Pigments: Lipofuscin (wear-and-tear), hemosiderin (iron), carbon (anthracosis).
⭐ Hemosiderin is an iron-storage complex; its accumulation (hemosiderosis) is visualized with a Prussian blue stain, which turns the iron bright blue.
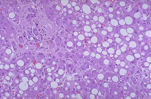
Lipid Accumulation - Greasy & Grimy
- Steatosis: Abnormal accumulation of triglycerides within parenchymal cells, most commonly the liver. Also seen in heart, muscle, and kidney.
- Causes: Alcoholism, obesity, diabetes mellitus, toxins (e.g., CCl₄), and protein malnutrition.
- Pathogenesis: Imbalance between fatty acid delivery/synthesis and their subsequent metabolism/export.
- Morphology:
- Gross: Enlarged, heavy, yellow, and greasy organ.
- Microscopy: Clear, sharply demarcated cytoplasmic vacuoles that displace the nucleus. Requires frozen sections with Oil Red O or Sudan Black B for positive staining.

⭐ In alcoholic fatty liver, the metabolism of ethanol by alcohol dehydrogenase and aldehyde dehydrogenase leads to a massive increase in the intracellular ratio of NADH to NAD+. This ↑ NADH/NAD+ ratio promotes lipid synthesis.
Protein Accumulation - Misfolded Mayhem
- Results from defects in protein folding, transport, or degradation, leading to toxic aggregates.
- Chaperones attempt refolding; the ubiquitin-proteasome system attempts degradation.
- Key Examples:
- Alpha-1-antitrypsin (AAT) deficiency: Misfolded AAT accumulates in liver ER.
- Mallory bodies: Damaged cytokeratin filaments in hepatocytes (alcoholic liver disease).
- Neurofibrillary tangles (NFTs): Hyperphosphorylated tau in Alzheimer's.
- Russell bodies: Immunoglobulin buildup in plasma cells.

⭐ AAT deficiency causes both loss-of-function (emphysema from low circulating AAT) and toxic gain-of-function (liver damage from protein aggregates).
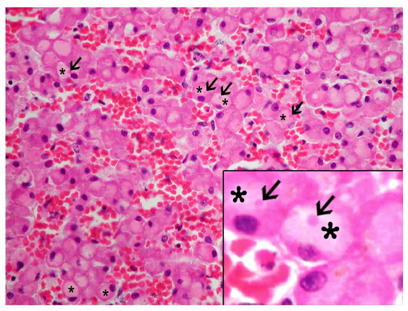
Pigment Accumulation - Colorful Clues
- Lipofuscin: "Wear-and-tear" pigment.
- Yellow-brown granules from lipid peroxidation.
- Indicates past free radical injury; seen in aging heart, liver, and brain.
- Hemosiderin: Iron-storage complex.
- Golden-yellow-brown granules from hemoglobin breakdown.
- Identified by Prussian blue stain.
- Marks prior hemorrhage (bruise) or systemic iron overload (hemosiderosis).

⭐ Anthracosis (coal worker's pneumoconiosis) is the most common exogenous pigmentation, caused by inhaled carbon particles engulfed by alveolar macrophages, blackening lung tissue.
Pathologic Calcification - Rock-Solid Evidence
-
Dystrophic Calcification
- Occurs in damaged, necrotic tissues despite normal serum Ca²⁺ & phosphate levels.
- Seen in atherosclerosis, damaged heart valves, and areas of caseous necrosis.
- Pathogenesis involves initiation via damaged membranes and propagation of crystal formation.
-
Metastatic Calcification
- Results from hypercalcemia; deposits in otherwise normal tissue.
- Causes: ↑PTH, bone destruction, vitamin D-related disorders, renal failure.
- Affects tissues that lose acid, creating an alkaline environment (e.g., stomach, kidneys, lungs).

⭐ Psammoma bodies are distinctive, laminated calcific spherules seen in specific neoplasms. 📌 Papillary thyroid carcinoma, Serous cystadenocarcinoma of ovary, Meningioma, Mesothelioma.
High‑Yield Points - ⚡ Biggest Takeaways
- Steatosis (fatty change), most common in the liver, is often linked to alcohol abuse and is reversible.
- Atherosclerosis is characterized by foam cells, which are macrophages laden with cholesterol.
- Mallory bodies are damaged cytokeratin filaments in hepatocytes, classic for alcoholic hepatitis.
- Russell bodies are immunoglobulin inclusions found in plasma cells.
- Lipofuscin is the yellow-brown "wear-and-tear" pigment, a marker of free radical injury.
- Hemosiderin accumulation indicates iron overload (hemosiderosis).
- Anthracosis is the accumulation of carbon pigment in alveolar macrophages.
Unlock the full lesson and continue reading
Signup to continue reading this lesson and unlimited access questions, flashcards, AI notes, and more