Hyperplasia - More Cells, More Problems?
-
Definition: An increase in the number of cells in an organ or tissue, often leading to increased organ size. It is a controlled process that regresses if the stimulus is removed.
-
Mechanism: Growth factor-driven proliferation of mature cells or new cells arising from tissue stem cells. Occurs only in labile and stable cell populations.
-
Types & Examples:
- Physiologic:
- Hormonal: Female breast at puberty; pregnant uterus.
- Compensatory: Liver regeneration after partial hepatectomy; bone marrow response to hemorrhage.
- Pathologic:
- Endometrial Hyperplasia: From excess estrogen stimulation. Precursor to endometrial carcinoma.
- Benign Prostatic Hyperplasia (BPH): From androgenic stimulation.
- Physiologic:

⭐ Pathologic hyperplasia, while distinct from cancer, creates a fertile ground for its development. For example, patients with endometrial hyperplasia are at an increased risk for developing endometrial adenocarcinoma.
Metaplasia - A Cellular Costume Change
- Definition: A reversible adaptive response where one differentiated cell type is replaced by another that is better able to tolerate an environmental stressor.
- Mechanism: Results from the reprogramming of local epithelial stem cells, which then differentiate along a new pathway. It is NOT a change in phenotype of already differentiated cells.
Classic Examples:
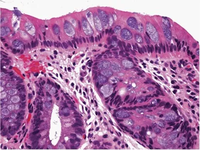
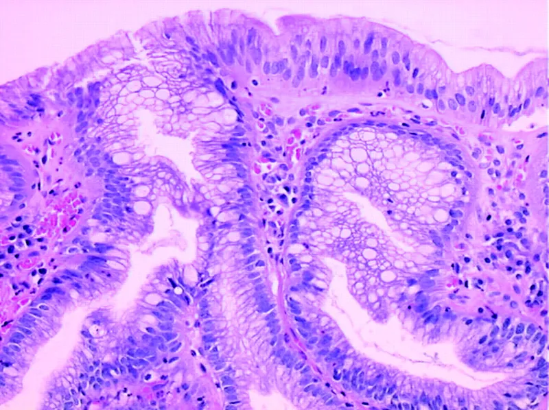
- Barrett's Esophagus: Esophageal non-keratinizing squamous epithelium → intestinal columnar epithelium with goblet cells, due to chronic acid reflux (GERD).
- Respiratory Tract: Ciliated pseudostratified columnar epithelium → stratified squamous epithelium in response to chronic irritation from tobacco smoke.

Clinical Pathway
⭐ Metaplasia is a "double-edged sword"; while often adaptive, it can be a fertile ground for malignant transformation. For instance, Barrett's esophagus significantly increases the risk of esophageal adenocarcinoma.
- 📌 Vitamin A (Retinoic Acid) Deficiency: Potent inducer of squamous metaplasia. Vitamin A is essential for the normal differentiation of epithelial surfaces.
The Slippery Slope - From Adaptation to Cancer
- Cellular adaptations like hyperplasia and metaplasia are reversible responses to stress. However, if the injurious stimulus persists, these changes can progress toward cancer.
- This progression represents a continuum, where each step carries a higher risk of malignant transformation.

⭐ Barrett's esophagus is a classic example of metaplasia (squamous to columnar) in the esophagus due to chronic acid reflux, which increases the risk of esophageal adenocarcinoma.
- Dysplasia: Disordered, precancerous epithelial cell growth; not yet cancer.
- Carcinoma in situ: Severe dysplasia involving the full thickness of the epithelium, but has not breached the basement membrane. A pre-invasive stage.
High‑Yield Points - ⚡ Biggest Takeaways
- Hyperplasia is an increase in the number of cells, driven by hormones or growth factors.
- Pathologic hyperplasia, like endometrial hyperplasia, creates a fertile ground for cancer.
- Metaplasia is a reversible replacement of one mature cell type with another, adapting to chronic stress.
- This change arises from the reprogramming of tissue stem cells.
- Barrett's esophagus (squamous to columnar) is a key example, increasing adenocarcinoma risk.
- Both can progress to dysplasia if the injurious stimulus persists.
Unlock the full lesson and continue reading
Signup to continue reading this lesson and unlimited access questions, flashcards, AI notes, and more